아하
  • 토픽

  • 스파링

  • 잉크

  • 미션


의료상담

냥냥펀치

냥냥펀치

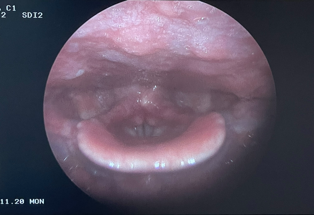
(사진있음) 인후염이 있다고 하는데 운동해도 되나요?

성별

남성

나이대

20




콧속도 빨갛고 부어있고 목쪽은 그냥 다 부어있다는 것 같았어요

기침 콧물 열 이런 건 전혀 없고 목만 코로나 급으로 아픈데 코로나는 음성이라고 하네요

몸살 기운 같은 것도 전혀 없어서 그냥 진짜 목만 아픈 상태입니다. 유산소 운동해도 괜찮나요? 아니면 지금 운동하면 악화되나요?

그리고 기침을 안하는데 전염되는건지도 궁금해요.


  • 1번 째 사진

2개의 답변이 있어요!

  • 옥영빈 의사

    옥영빈 의사

    홍성의료원

    인후염이 있다고 하여서 유산소 운동을 하지 못할 이유는 없습니다. 다만 컨디션 저하에 의하여 부상의 위험이 증가하므로 주의하시고, 증상의 악화를 유발할 수 있어서 무리는 하면 안 됩니다.

  • 안녕하세요. 아하(Aha) 의료분야 답변자 외과 전문의 배병제입니다.


    유산소운동을 하시면 인후두부위가 더 건조해지고 통증이 악화될 우려가 있습니다. 증상이 나아진 뒤 운동을 시작하시는 것이 좋겠습니다.


    저의 답변이 도움이 되셨길 바랍니다.