아하
  • 토픽

  • 스파링

  • 잉크

  • 미션


의료상담

대범한할미새174

대범한할미새174

21.10.07

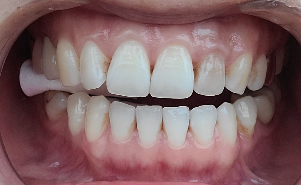
잇몸이아파요 잇몸상태좀 봐주세요

어제는 아랫니 앞네개가 빠질거같은느낌이들고 오늘은 오른쪽 잇몸들이아파서 치과에다녀왔는데 괜찮다고 하시는데 치석제거라도하려고했는데 (2월에했어요)당장할필요는없다고

파란부분은 잇몸색도다르고 괜찮은건가요

잇몸이많이내려앉았나요?

  • 1번 째 사진
  • 2번 째 사진

9개의 답변이 있어요!

  • 푸른하늘이

    푸른하늘이

    21.10.09

    안녕하세요? 아하(Aha) 의료 분야 지식답변자 안상우 치과의사입니다.
    질문하신 내용에 대하여 아래와 같이 답변 드립니다.

    사진으로 보이는 잇몸의 색상과 모양을 보았을때 잇몸에 큰 문제는 없는것으로 보입니다.

    평소에 치아에 과도한 힘이 걸리는 습관을 가지고 있지 않은지 확인해 보시는것이 좋습니다.

    밤에 잘때 치아에 과도함 힘이 걸리거나 평소에 이를 꽉 다무는 습관이 있는경우에 치아와 치주조직에 자극이 많이 되어 통증이 있는경우가 잇어요.

    이런경우에는 치아에 가해지는 힘을 줄이는것만으로도 증상을 줄일수 있습니다.

  • 안녕하세요? 아하(Aha) 의료 분야 지식답변자 이성영 의사입니다.
    질문하신 내용에 대하여 아래와 같이 답변 드립니다.

    치과 진단은 단순히 육안상으로만 진단을 내리기 어려우며, 여러 검사를 통해 종합적으로 진단을 내리기 때문에 사진만으로는 정확한 진단이 불가능합니다.

    육안상으로는 잇몸이 크게 내려가지는 않은 것으로 보이나 충치 가능성이 있는 부분들이 있어 보이며 치아 전반적으로 착색이 많아 보입니다.

    잇몸염증으로 인한 통증일 수도 있지만, 충치나 치수변성 등을 원인으로 통증이 발생할 수도 있습니다.

    통증이 심해지는 경우에는 재차 치과에 내원하여 정확한 검사를 받으시는 것이 좋을 것으로 보입니다.

  • 안녕하세요? 아하(Aha) 의료 분야 지식답변자 이호진 의사입니다.
    질문하신 내용에 대하여 아래와 같이 답변 드립니다.

    잇몸에 염증이 생기면 잇몸쪽이 욱신거리고 붓고 하게 됩니다.

    이러한 잇몸 염증을 일으키는 것은 보통 치석입니다.

    치석에는 균이 잘 달라붙게 되는데, 이렇게 균이 치석에 붙게 되면 균들에 의해 잇몸에 염증이 일어나 붓고 아프게 되는것입니다.

    따라서 이러한 치석을 제거하기 위해

    일단 스케일링을 해보시는것이 좋고, 그렇게 해도 안되면 큐렛술식을 하셔야할 수 있습니다.

  • 안녕하세요? 아하(Aha) 의료 분야 지식답변자 임태형 치과의사입니다.
    질문하신 내용에 대하여 아래와 같이 답변 드립니다.


    잇몸염증의 확률이 있어보이십니다.



    일단 잇몸은 평소 치아 관리가 중요합니다.

    양치후 치실사용 등을 하셔서 치태가 완전히 제거해주는 습관을 기르셔야합니다.

    또한 몸의 컨디션조절도 중요합니다.

    피곤하거나 잠이 부족하거나 하면 염증반응이 더 촉진 되기 때문에 잇몸병이 더 악화될 수 있습니다.

    이렇게 생활습관으로도 잇몸이 계속 불편하시면

    치과에 내원하셔야합니다.

    내원하시면 보통 스케일링을 하고 지켜보게 되는데

    심한 경우에는 마취를 하고 치아 뿌리쪽의 염증을 긁어내는 술식 (큐렛술식)을 하기도 합니다.

  • 안녕하세요? 아하(Aha) 의료 분야 지식답변자 이효상 의사입니다.
    질문하신 내용에 대하여 아래와 같이 답변 드립니다.


    치과에 가보셔서 정확한 진료를 받으시길 추천드립니다.



    일단, 잇몸 치료에 대해 말씀드리면


    1. 헥사메딘 가글 (잇몸치료제로서의 역할을 합니다.)

    약국에 가셔서 헥사메딘을 사신후(처방전 없이 사는것 가능합니다.)

    하루에 한번 1분동안 부은 부위를 위주로 가글을 해주시면 잇몸부은것에 효과가 있습니다.

    다만, 꼭 주의해주셔야할 것이 있는데

    (1) 10일을 넘게 헥사메딘으로 가글 하시면 치아나 혀가 변색되는 부작용이 나타날 수 있습니다. 따라서 1주일에서 10일 정도만 헥사메딘으로 가글하시고 한동안 멈추셨다가 다시 잇몸이 안좋아지시면 가글하는 식으로 하시길 바랍니다.

    (2) 1분동안 가글 한 후 1시간동안은 물이나 음식을 드시면 안됩니다. (헥사메딘이 희석되어 효과가 줄어들기 때문입니다.)


    2. 정기적으로 스케일링을 하셔야합니다.

    잇몸이 붓는 이유에는 여러가지가 있겠으나, 기본적으로 치아와 잇몸사이에 치태 (쉽게 말하면 음식물찍꺼기)와 치석이 쌓이고 이것으로 염증이 생겨 잇몸이 붓는경우가 많습니다.

    따라서 이러한 치태와 치석을 없애기 위해 스켈링을 권해드립니다.


    3. 칫솔질을 꼼꼼히 하시고, 치실과 구강세정기(아쿠아픽, 워터픽등) 를 써서 음식물 찌꺼기를 최대한 잘 제거하셔야합니다.


    4. 스트레스를 줄이십시오

    스트레스가 많거나 하면 갑자기 잇몸이 붓는경우가 많습니다.


    5. 수면을 충분히 취하십시오

  • 안녕하세요? 아하(Aha) 의료 분야 지식답변자 이구화 의사입니다.
    질문하신 내용에 대하여 아래와 같이 답변 드립니다.


    잇몸치료는 크게 두단계로 나뉩니다.

    일단, 스케일링으로 잇몸의 얕은 부분의 치석과 치태 그리고 염증을 제거하는것입니다.

    대부분의 잇몸치료는 스케일링을 하시면 많이 완화가 되십니다.

    하지만, 이렇게 스케일링을 하더라도 완화가 되지 않는 경우도 있습니다.

    이러한 경우에는 잇몸의 깊은 부분의 치석과 치태 그리고 염증을 제거하셔야합니다.

    이러한 술식을 치근활택술이라고 하는데요

    보통 마취를 하고 기구를 이용하여 잇몸 깊숙한 부분에 있는 치석, 치태 염증을 제거하게 됩니다.


    참고로 잇몸건강에 완화되는 생활습관을 설명드리면

    잇몸은 몸의 컨디션에 따라 많이 좌우되는 곳이므로

    스트레스관리를 잘하셔야하고

    무엇보다 잠을 잘 주무셔야합니다.

    또한 칫솔질을 잘하셔서 잇몸쪽의 치태제거를 잘하셔야합니다.

  • 안녕하세요? 아하(Aha) 의료 분야 지식답변자 이정현 의사입니다.
    질문하신 내용에 대하여 아래와 같이 답변 드립니다.

    사진만 봐서는 정확히 알순없지만, 사진으로만 봐서는 잇몸에 이상은 없어보입니다. 파란색부위도 정상으로 보입니다.

    치아에 착색은 많이 되어있어서, 스케일링은 하시는것도 괜찬아보입니다.

    정확한것은 방사선사진을 보아야 잇몸뼈상태를 알 수 있기때문에, 치과에서 상담을 받아보시기 바랍니다. 감사합니다.

  • 안녕하세요? 아하(Aha) 의료 분야 지식답변자 옥영빈의사입니다.
    질문하신 내용에 대하여 아래와 같이 답변 드립니다.

    사진을 통해 보았을 때 치아 상태 및 잇몸에 특이한 이상 소견 등은 관찰되지 않습니다. 사진만으로 보았을 때에는 정상 소견이라고 볼 수 있습니다. 치과에서도 동일한 소견을 들으셨다고 하니 너무 걱정하실 필요는 없어 보입니다.

  • 안녕하세요? 아하(Aha) 의료 분야 지식답변자 정진석 의사입니다.
    질문하신 내용에 대하여 아래와 같이 답변 드립니다.

    잇몸 색이 좋지는 않아 보입니다. 너무 창백한 것도 맞습니다. 물론 현재 사진을 찍기 위해 잇몸을 잡아당긴 것도 맞으나 정확한 판단을 위해서는 방사선 사진 등을 촬영해보는 것이 좋습니다. 잇몸 질환 보다는 치조골 안에 상태를 체크해보는 것이 필요해보입니다.

    아무쪼록 저의 답변이 문제 해결에 작게 나마 도움이 될 수 있기를 기원드립니다. 항상 건강하고, 행복하세요^^