아핫뉴스실시간 인기검색어
아핫뉴스 화산 이미지
화산 아이콘 11
李대통령 이해찬 조문
많이 본
아하

의료상담

정형외과

다소당당함이넘치는농어
다소당당함이넘치는농어

한방병원에서는 허리 디스크 2개 발견했다고 하고 허리병원에서는 아무것도 없다고하네요

성별
남성
나이대
18

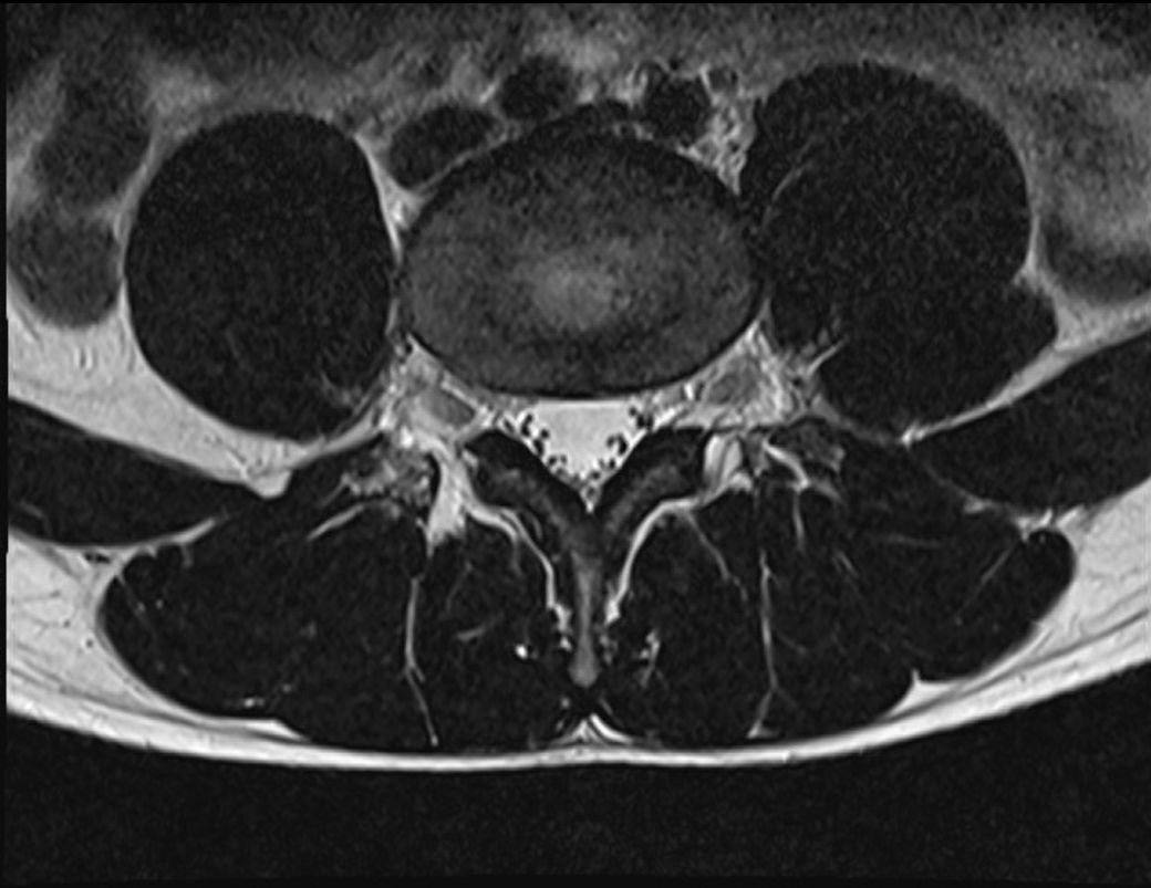
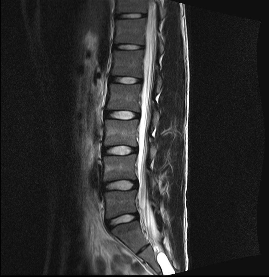
Mrl 보시고 확인좀 부탁드리겠습니다 교통사고가 나서 허리가 안좋아서 Mrl 촬영했습니다 근데 디스크가 있다고 합니다 한방병원에서는 있다고 하고

허리전문병원에서는 없다고 합니다

누구 말을 믿어야할지 모르겠어요 바쁘시겠지만 부탁드리겠습니다

  • 1번 째 사진
  • 2번 째 사진
  • 3번 째 사진
  • 4번 째 사진
5개의 답변이 있어요!
  • 안녕하세요. 김덕현 물리치료사입니다.

    mri상으로볼때에는 디스크가 약간 나와있는걸로보이지만 신경을 자극한다거나 다른문제는없어보이는데요 일단 불편감이지속되고있다면 근육의긴장이나 염증으로인해서 그러는증상일수도있습니다

    이럴때에는 병원에서 지속적이 관찰과 치료가필요할수있는데요 좀더자세한건 병원에서 전문의와 상담을받아보시길 바랍니다 감사합니다~!

  • 안녕하세요. 김의균 물리치료사입니다.

    병원마다 MRI 결과를 다르게 보는 이유로는 디스크가 살짝 튀어나와 있지만 신경을 누르지는 않거나 그 경계에 있다면 그럴 수 있으며 올려주신 MRI사진 같은 경우 단면 사진으로 단면사진만으로는 평가하기 힘들 것으로 생각되며 일단 올려놓으신 영상만 보았을때는 큰 문제는 없는걸로 보이며 자세한 상태는 영상을 가지고 전문 병원에 방문하시어 제차 검사 받아보시는게 좋을 것으로 생각됩니다.

    빠른 쾌유를 기원합니다.

    감사합니다 수고하세요~

  • 안녕하세요. 송진영 물리치료사입니다.

    신경 압박이나 심한 병변이 없으면 허리 전문 병원에서 문제 없다고 판단할 수 있습니다. 한방병원은 미세한 변화도 디스크 문제로 볼 수 있어 의견 차이가 생길 수 있습니다.

    증상과 신경 증상이 없다면 큰 문제일 가능성은 낮습니다. 정확한 진단과 치료는 저형외과나 신경외과에서 다시 상담 받는 것이 가장 안전합니다!

  • 안녕하세요. 김강록 물리치료사입니다.

    .

    디스크에 단계로써 현재는 1단계 과정으로도 볼 수 있습니다.

    영상 판독은 의사마다 다를 수 있습니다.

    현재 디스크 증상(다리 저림, 허리 통증, 다리 통증, 다리 힘 빠짐 등)이 심하다면 꾸준한 치료와 관리가 필요합니다.

    현재 사진상으론 여러 의사들의 소견이 다를 수 있다고 판단이 됩니다.

    가장 중요한것은 디스크가 있다해도 무조건 허리 통증이 유발되는것은 아니기에 현재 증상에 따른 적절한 치료를 받으시는게 중요합니다.

    한방병원과 허리전문병원은 다른 병원이므로 병원을 선택하실때 질문자님께서 좀 더 이해하기쉽고 치료적인 부분을 고려해보시고 선택하시길 바랍니다.

    당분간은 허리에 자극을 주거나 무리하게 움직이는것은 삼가하시길 바라며 치료를 통해 건강히 회복되셨으면 좋겠습니다^^

  • 안녕하세요. 김현태 물리치료사입니다.

    올려주신 사진상에서 허리 아래부위에 존재하는 디스크가 약간의 돌출이 보이는데요, 신경을 압박하는 것처럼 보이지는 않습니다.

    디스크 돌출이나 경미한 추간판 탈출증으로 보이는데요, 각 병원에서 견해에 따라 허리디스크로 진단하거나 하지 않는 것으로 보입니다.

    어느 누가 맞고 틀리다가 아닌 각각의 진단기준에서 발생하는 차이로 보이기 때문에, 검사결과 뿐만 아니라 현재 증상도 참고하였을 때를 기준으로 진단을 한 것이 아닌가 생각됩니다.

    아직 의문이 해소되지 않으셨다면, 검사받으신 자료를 지참하여 다른 병원에조 방문하셔서 진료를 받아보시는 것도 추천드립니다.