아핫뉴스실시간 인기검색어
아핫뉴스 화산 이미지
화산 아이콘 11
비트코인 순손실과 믿음
아하

의료상담

정형외과

한결같은저어새299
한결같은저어새299

전거비인대 파열인데 수술 필요할까요?

성별
여성
나이대
28
기저질환
없음
복용중인 약
없음

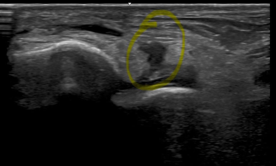
사진은 다친지 일주일차에 내원했을때 전거비인대 초음파사진입니다.

병원은 두곳 가봤고 두곳 모두 전거비인대 완전파열 진단받았습니다. 한곳은 수술소견, 한곳은 수술이나 보존적치료 선택하라는 소견 받았습니다.

다음주 월요일 마지막으로 다른 병원에 가보는데, 가기전 너무 걱정되어서 여러 전문가분들 의견을 들어보고 싶어서 질문합니다.

저는 최대한 비수술 재활치료로 하고싶은데, 운동을 좋아해서 운동 복귀시 다치기전만큼 기능성이 나오는 방향으로 병원말을 들으려고 합니다.

이번주가 2주차인데, 어제 초음파에서는 저 사진보다 간격은 많이 좁아졌는데 전혀 안붙었다고 했습니다.

어떻게 보이는지 의견 부탁드립니다!

  • 1번 째 사진
5개의 답변이 있어요!
  • 안녕하세요. 김의균 물리치료사입니다.

    전거비인대는 발목 바깥쪽 인대로 발목 인대중에서 가장 흔하게 손상되는 부위로 전거비인대의 파열이 있는 경우 모두 수술이 필요한 것은 아니며 손상의 정도 및 나이 등에 따라 치료 방법이 비수술적 치료 혹은 수술적인 치료가 고려될 수 있습니다. 완전 파열이더라도 체중을 지탱할 수 있고 관절이 불안정하지 않다면 재활 치료로 회복이 가능하며 비수술적인 치료로 치료를 해보고도 해결이 안될 경우에는 수술적인 치료를 고려해볼 수 있을 것 같습니다.

    빠른 쾌유를 기원합니다.

    감사합니다 수고하세요~

  • 안녕하세요. 김덕현 물리치료사입니다.

    인대손상정도에따라서 수술여부는달라질수있는데요 초음파검사로 보는것은 한계가있기때문에 정확한 진단을위해서는 MRI검사를받아보고나서 전문의와 상담후에 결정하는것이 좋습니다

    수술을고려하고있다면 최소 3명의전문의와 상담후에 결정하는걸 추천합니다 감사합니다~

  • 안녕하세요. 김강록 물리치료사입니다.

    일단 현재 초음파상으로도 인대의 완전 파열로 보여집니다.

    선택은 두가지입니다.

    질문 내용과 마찬가지로 수술과 비수술이 있습니다.

    비수술은 한다면 통증과 기능에있어서 치료는 가능하더라도 언제 다시 부상을 당할지 모른다는 가정이 생깁니다.

    수술을 하게되면 통증, 기능, 부상에 대해선 걱정은 없지만 재활 기간을 생각하셔야 하기때문에 각각의 장단점이 있습니다.

    우선 현재 두곳에서 수술 소견도 있기에 세번째 병원을 가셔서 검사해보시고 신중한 선택을하시길 바랍니다.

    꾸준한 치료와 관리를 통해 건강히 회복되셨으면 좋겠습니다^^

  • 안녕하세요. 김현태 물리치료사입니다.

    사진상의 간격이 좁아졌지만 붙지 않았다는 소견으로 보아, 인대파열 이후 회복과정에서 연결조직의 형성이 관찰되지 않은 것으로 볼 수 있습니다.

    경과는 조금 더 지켜보시는 것도 좋겠지만, 이번에 올려주신 사진과 같이 큰 차도가 앖다면 수술적인 치료가 필요할 수 있는데요, 전거비인대는 발목의 안정성을 제공하는 역할을 하기 때문에,

    치유가 일어나지 않는 경우 보존적인 치료를 지속하셔도 별다른 회복이 이루어지지 않을 수 있고 만성적인 통증이나 관절의 안정성이 저하될 수 있습니다.

    치료방식에 대한 선택은 질문자분의 뜻을 존중하여 결정하지만, 필요한 상황에서는 수술도 염두를 해두시는 것이 앞으로 운동과 같은 활동을 즐기시는데 도움이 될 수 있습니다.

    수술은 가급적 3곳이상의 병원에서 여러 전문의들의 의견을 참고하여 결정하시는 것이 좋습니다. 현재 올려주신 사진 뿐 아니라 이전과 현재의 비교 및 임상증상등 여러가지를 고려해봐야 하기 때문입니다.

  • 안녕하세요. 송진영 물리치료사입니다.


    사진상 전거비인대가 불연속적으로 보이고 그 사이에 저에코 영역이 확인돼 완전파열 소견과 일치합니다. 2주차에 간격이 좁아졌으나 유합 없이 유지중이라면 비수술 재활 시 충분한 고정 및 장기 재활이 필요합니다. 고강도 스포츠 복귀를 원한다면 수술 후 재활이 재파열 불안정성 감소 측면에서 유리할 수 있어 마지막 병원의견 꼭 참고하세요!