아하
  • 토픽

  • 스파링

  • 잉크

  • 미션


의료상담

대체로영리한올리브

대체로영리한올리브

채택률 높음

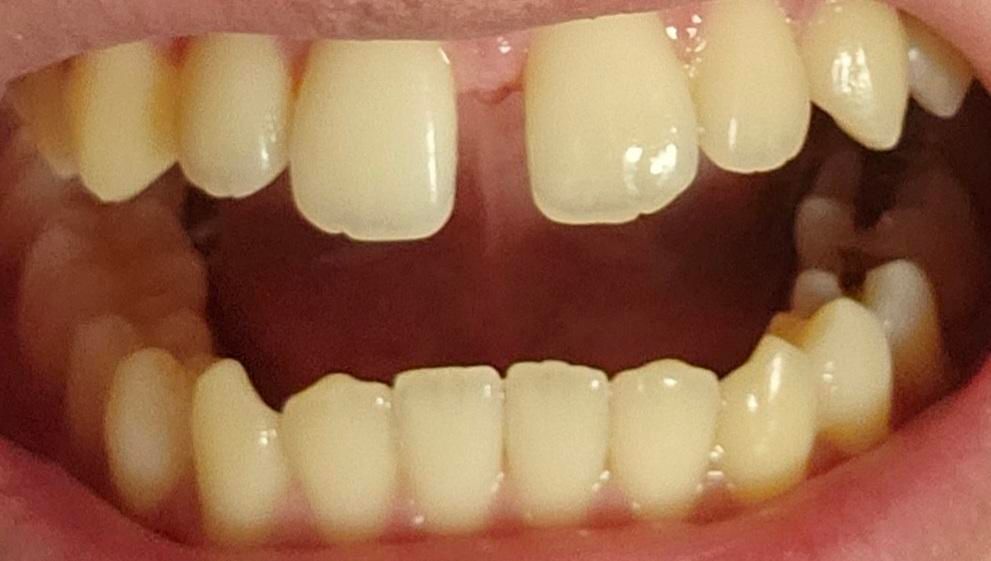
성인 벌어진 앞니 교정 가능한 치열일까요

어릴때부터 앞니가 벌어져 있었고 앞니 사이가 점점 넓어져서 이제는 빼빼로가 들어갈 정도입니다

네이버 지식인에서는 치아교정이 절대 불가능하다고 하더라구요

치아교정 포기해야 할까요?

연령대는 성인입니다

  • 1번 째 사진
  • 2번 째 사진

2개의 답변이 있어요!

  • 최석민 치과의사

    최석민 치과의사

    강원도 원주의료원

    안녕하세요. 최석민 치과의사입니다.

    저건 유전적으로 소대 문제도 복합적으로 있을 것 같네요 그 부위 근육 먼저 조정해줘야 교정을 해도 효과가 있습니다

    교정은 전체교정해야합니다

    교정 외에는 라미네이트나 레진으로 사이를 메꿀 수 있는데 치아 비율이 안맞아서 뚱뚱해보이고요

    채택된 답변
  • 안녕하세요. 안상우 치과의사입니다.

    치아 교정을 통해서 해당 치아를 가운데로 위치시킬 수 있지만 그렇게 했을 경우 다른 부분에 추가적인 공간이 생길 수 있습니다. 깔끔하게 치료를 하기 위해서는 크롬과 같은 보철 치료를 하는 것이 좋을 것으로 생각됩니다.

    자세한 확인을 위해서 치과에서 진료를 받아보는 것을 권유드립니다.