의료상담
21년도에 교통사고로 목 MRI 찍은 거 급성인 지 만성인지 확인 부탁드립니다
성별
남성
나이대
30
기저질환
목 디스크
복용중인 약
X
지금은 심해져서 신경 성형술을 한 상태입니다.
근대 21년 사고 이후부터 목쪽이 계속 아픈 상태 여서 사고로 인한 급성인지 우연이 겹친 민성 디스크 인지 확인하고 싶습니다~
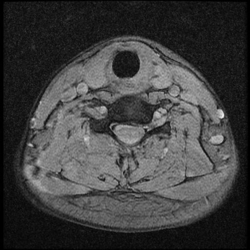
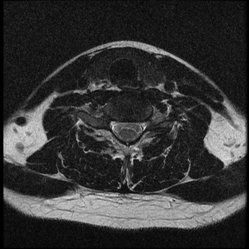
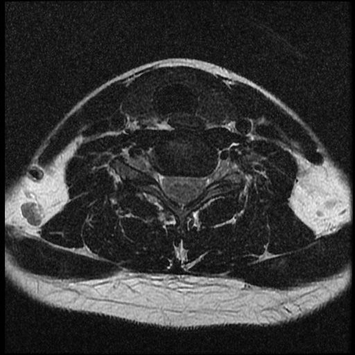
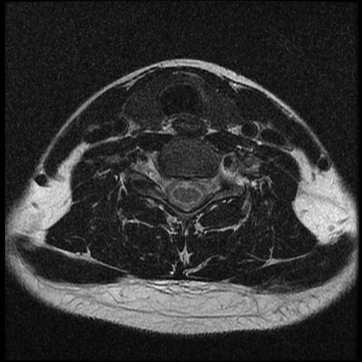
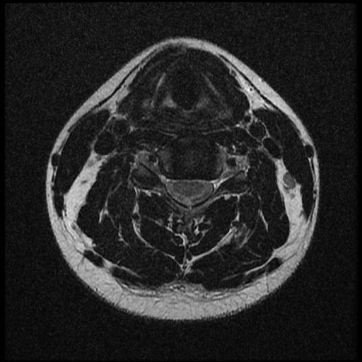
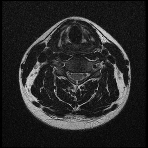
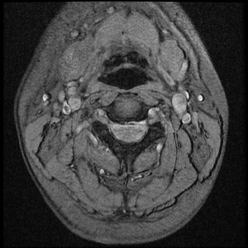
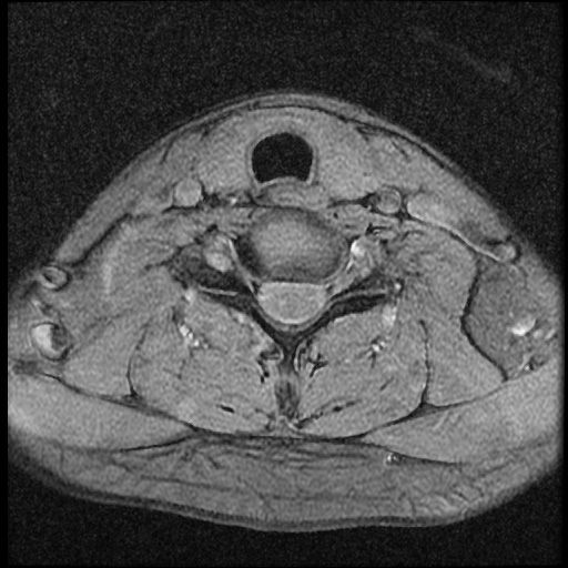
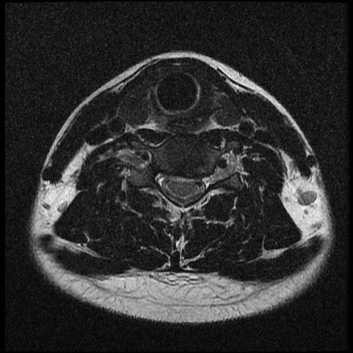
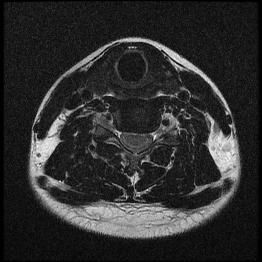
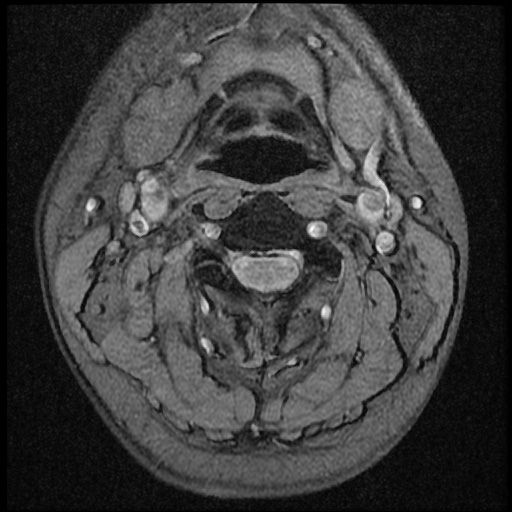
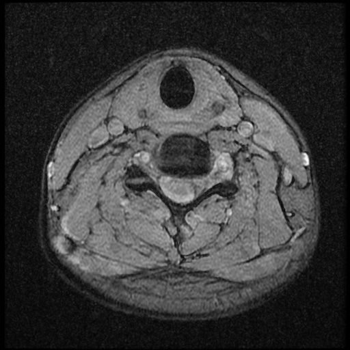
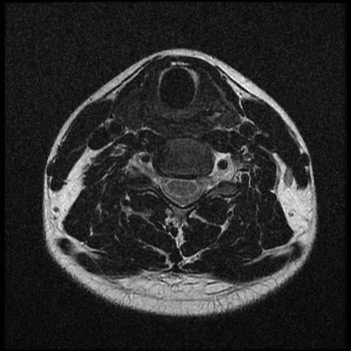
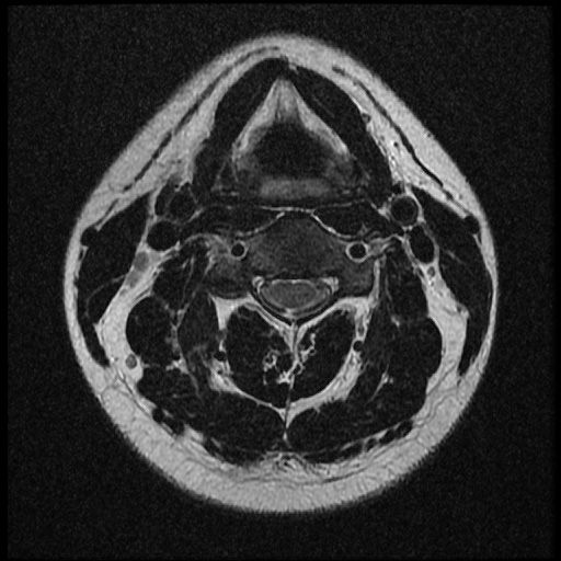
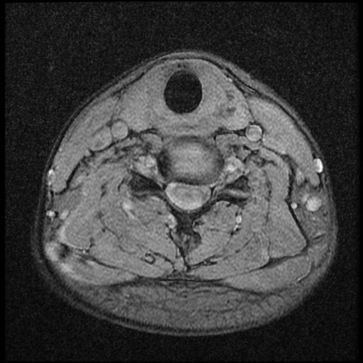
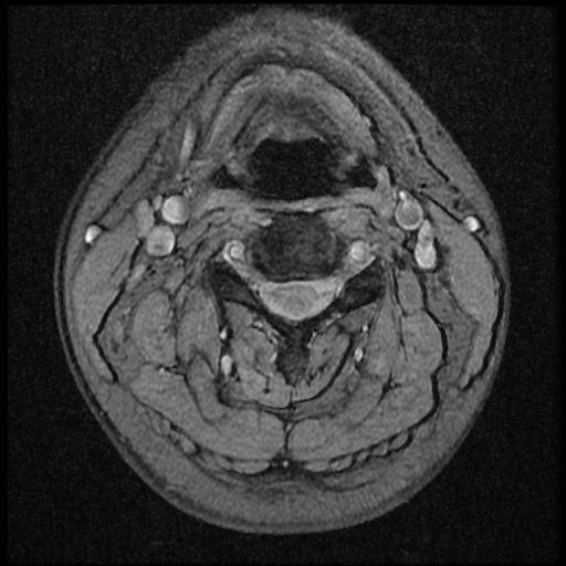
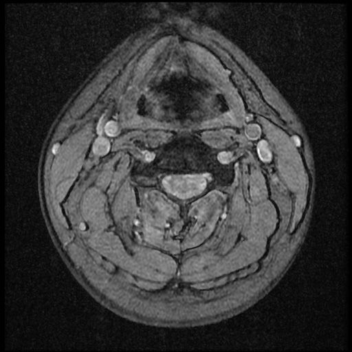
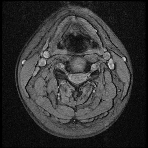
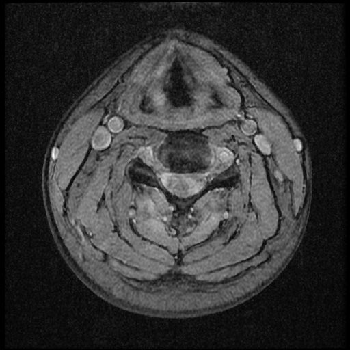
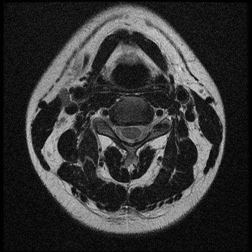
이 MRI 사진은 21년도 사고 당시 찍은 MRI 사진 입니다. 확인 부탁드립니다~
55글자 더 채워주세요.
1개의 답변이 있어요!
안녕하세요. 남희성 의사입니다.
전체 mri를 다 봐여겠지만 보여주신 mri 컷에서는 의미있는 경추 디스크탈출이 보이지 않습니다.
최근에 다시 찍음 mri는 없으신가요?

