아핫뉴스실시간 인기검색어
아핫뉴스 화산 이미지
화산 아이콘 11
이혜훈 지명 철회
아하

의료상담

정형외과

압도적으로물컹물컹한무궁화
압도적으로물컹물컹한무궁화

소아팔꿈치골절 씨티나 엠알아이 찍어 봐야할까요?

성별
남성
나이대
6

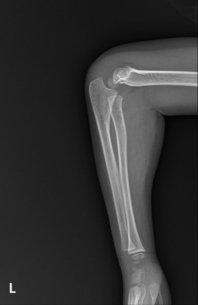
안녕하세요 엑스레이상 골절 확인되었는데 사고시 팔이 꺾여 아빠가 팔을 돌렸다고 해요 성장판 인대 근육도 걱정이 되는데 씨티나 엠알아이 검사를 추가로 해야할까요?

병원에서는 씨티는 권유하시는데 방사능이 걱정되어 고민중입니다 일요일 다쳤고 월요일 병원 진료 후 통깁스중입니다 성장판 쪽은 아니라고 하시던데 성장판 괜찮을까요?

  • 1번 째 사진
  • 2번 째 사진
  • 3번 째 사진
  • 4번 째 사진
4개의 답변이 있어요!
  • 안녕하세요. 김현태 물리치료사입니다.

    골절에 대한 정확한 검사를 위해서 CT를 권유받으셨다면 찍어보셔도 좋을 것 같습니다. 촬영으로 인해서 방사선에 노출이되는 방사선량은 우려하실 정도가 아닌 극소량이기 때문에 자주찍는 것이 아니라면 걱정을 하지 않으셔도 될 것 같습니다. 성장판은 보통 뼈끝단에 존재하기 때문에 뼈의 끝 부분에 발생하지 않았다면 성장판이 손상될 가능성은 낮을것으로 생각됩니다.

    1명 평가
  • 안녕하세요. 김강록 물리치료사입니다.

    우선 크게 통증이 없다면 CT, MRI를 크게 권유드리지않습니다.

    또한 엑스레이 및 좀 더 정밀한 검사를 위해선 초음파 검사를 통해 인대를 확인 할 수도 있습니다.

    다행이 성장판쪽이 아니라고 하셨다면 크게 걱정하지 마시길 바랍니다.

    성장을 위해선 적절한 운동, 수면, 휴식, 균형잡힌 식사등이 필요하기에 관리하시면 괜찮다고 생각이듭니다.

    ct 같은 정밀 검사 같은 경우는 꼭 필요하다면 하시고 아니시라면 의료진과 충분한 상담을 통해 결정하시길 바랍니다.

    자녀분의 아픔이 걱정되는건 부모로써 당연하다고 생각이듭니다.

    너무 걱정마시고 자녀분도 건강히 잘 회복할겁니다^^

    1명 평가
  • 안녕하세요. 김덕현 물리치료사입니다.

    검사에사용되는 방사선은 굉장히 소량이기때문에 인체에 영향을끼치는정도는아닙니다 따라서 방사능때문에 검사를고민하고있다면 너무 걱정하지마시고 제대로된 검사를받고 거기에맞는 치료를받는걸 추천합니다

    빨리 몸이 호전되시기를 바라겠스빈다 감사합니다~!

  • 안녕하세요. 송진영 물리치료사입니다.

    엑스레이에서 골절이 확인되었고 팔이 꺾인 사고가 있었다면 ct나 mri검사를 통해 추가적인 손상 여부를 확인하는 것이 좋습니다 방사능이 걱정된다면 의사와 상담하여 검사 필요성을 다시 논의하고 대안을 고려하는 것이 중요합니다! 성장판이 괜찮다고 하셨다면 긍정적인 신호지만 지속적인 관찰이 필요합니다!