아핫뉴스실시간 인기검색어
아핫뉴스 화산 이미지
아하

생활

생활꿀팁

비상하는 올빼미862
비상하는 올빼미862

양악 vs 비발치 교정 vs 아무것도 안하기

여기에 글 몇번올렸는데 이제 고민그만할려고 마지막으로 올리는거예요ㅠㅠ

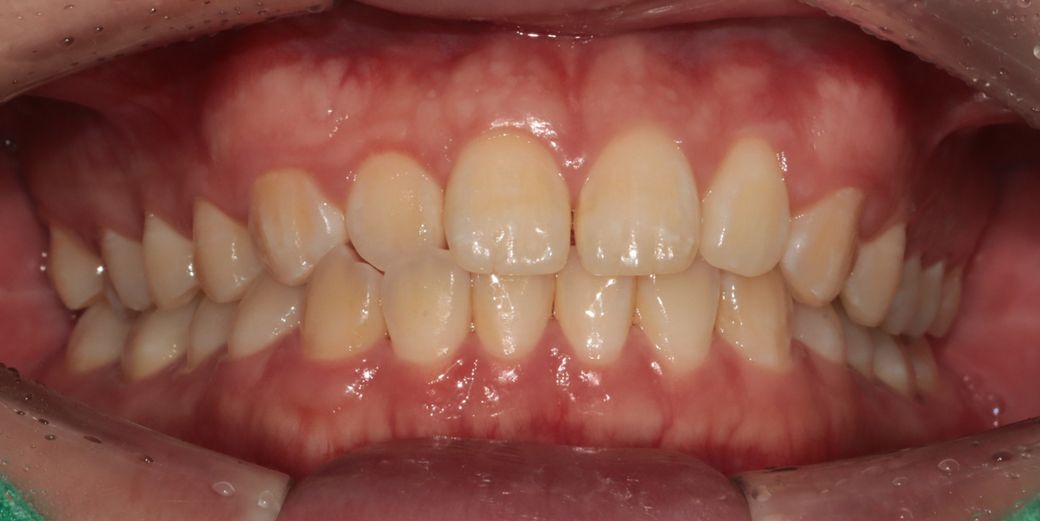
옆모습이 하악턱과 입이 튀어나와보여 컴플렉스 인 남성입니다 다른사람이 보기에는 어떨지는 모르겠습니다

그런데 미용적으로 개선하고싶으나 양악하기에는 부작용도 무섭고 수술도 무서워요 죽을수도 있다고 들어서요...그래서 고민하는게

1번 양악-가장드라마틱하게 턱도줄이고 입툭튀도 줄일수있을것같긴해요

2번 -발치교정하기에 치열이 아까운것같아 사랑니쪽으로 전체이동 비발치교정 하기-이러면 입툭튀 조금은들어간다고 들었어요 대신 입이들어가서 턱이 조금나와볼일수있다는데 치아 들어가도 2~3mm라 별차이 없을수도 있다고들어서...맞는지는 모르겠습니다

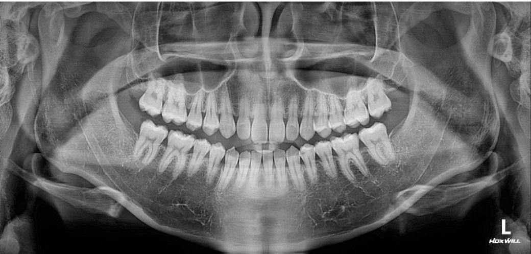
(현재 사랑니4개 없는상태입니다)

3번 - 그냥 건강하게 살기인데 미용은 주관적인거라

누가보느냐에따라 안모가 남성다워 보인다고 하기도하고 턱이랑 입이 좀 나온것같다 오리입술같다 그러기도 해서 결정장애왔습니다

전문의가 평가하기에 1,2,3번중 어느게 맞을까요?

그외 의견도 상관없습니다

선택한이유도 알고싶습니다

개인적인거니깐 정답이 아나라는것은 알고있습니다

사진은 왼쪽이 현재 오른쪽이 양악 포토샾입니다

그냥제가한거예요 참고사항ㅎ

3개의 답변이 있어요!
  • 럭셔리한테리어300
    럭셔리한테리어300

    안녕하세요. 김바른 치과의사입니다.

    여러번 답변을 드린 것 같습니다만, 아시는대로 미적인 관점은 사람마다 다릅니다.

    여러 환자분들의 경우를 보았으나, 결국 본인의 관점대로 결정하지 않고 미적인 부분은 타인에 의존한 경우 치료 결과에 대한 만족도가 심각하게 낮은 경우가 많기때문에 본인이 결정할 사항이라고 판단됩니다.

  • 안녕하세요. 김철진 치과의사/경제·금융전문가입니다.

    지난번에도 설명드렷지만 개인적으로는 아무것도 안하셔도될것같습니다. 크게 문제가 있어보이진 않아요. 하지만 작성자님께서 계속 글을 적으시는건 컴플렉스가 있어서 그런거 같으니 만약 치료를 원하신다면 양악케이스는 아닌것 같고 교정을 통해서 심미적인 부분을 해결하시는게 좋을것같습니다

  • 탈퇴한 사용자
    탈퇴한 사용자

    안녕하세요. 장인아 치위생사입니다.

    교정으로 많은 고민중인것 같습니다.

    개인적으로는 2번이 적당한것 같습니다.

    1번은 위험부담이 크고, 3번은 미련이 남을것 같기 때문 입니다.

    교정을 고려해도 좋을것 같습니다.

    교정후 얼굴형 변화, 이미지가 달라보일수 있습니다.

    개인차가 많고 발치교정비발치교정보다는 큰편입니다.

    도움이 되었으면 합니다. 건강하세요.