아핫뉴스실시간 인기검색어
아핫뉴스 화산 이미지
화산 아이콘 11
박영재 대법관 법원행정처장 내정
아하

의료상담

신경과·신경외과

항상절제하는알탕
항상절제하는알탕

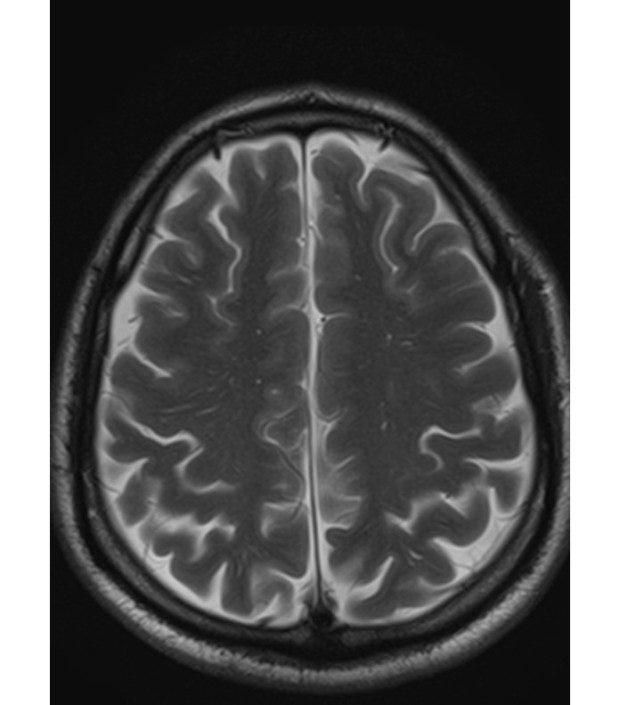
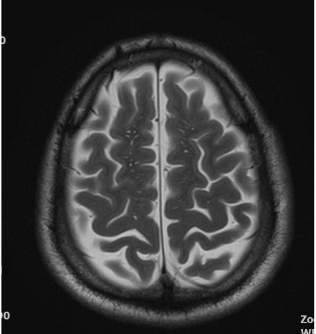
뇌 mri 사진인데 좁쌀같은 부분은 뭔가요 ?

성별
남성
나이대
40대
기저질환
당뇨 혈압

사진 보면 좁쌀같은 하얀 점같은 것이 보이는데... 무슨 병인가요 ? ㅠ 혈압 당뇨 있고 야간에 밤 새는 직업이라 항상 뇌쪽 건강이 걱정되는데...

  • 1번 째 사진
  • 2번 째 사진
  • 3번 째 사진
2개의 답변이 있어요!
  • 안녕하세요. 채홍석 가정의학과 전문의입니다.

    뇌MRI를 촬영했는데 뇌실질에 자그만한 하얀점이 많이 있어서 걱정이 되셨군요

    특히 혈압 및 당뇨를 앓고 계시고 야간에 밤새는 직업이라 걱정이 많으시구요

    말씀하신 뇌실질에 하얀 병변은 소혈관질환이라고 합니다.

    Small Vessel Disease, a Marker of Brain Health: What the Radiologist Needs to Know

    (Am J Neuroradiol 2022, 43 (5) 650-660)

    약간 과격한 표현을 쓴다면 작은 뇌경색이라고 보시면 될 것 같습니다.

    그러니까 동맥경화의 결과로 인하여 작은 혈관에 문제가 생긴 것이지요

    환자분이 보여주신 circle of willis 와 같은 큰 혈관은 특별한 이상이 보이지 않지만 뇌에는 보여주신 영상에 나타나는 것 이외에도 혈관투성이니까요.

    물론 해당 영상에 대해서 담당선생님과 상의를 하셔야 하겠지만

    현재 상태가 심하지 않기 때문에 이 영상만 기준하여 특별한 조치를 취할 필요는 없을 것 같습니다.

    (물론 술 담배를 하신다면 이야기는 완전히 달라지겠지요. )

    일단 현재 약을 잘 드시고 혈압 당뇨를 조절을 잘 하시기 바랍니다. 그리고 고지혈증약을 드시지 않는 것인가요?

    고혈압약이랑 당뇨약을 드시면 대부분 고지혈증약을 드시는데 말입니다. 이럴 경우 콜레스테롤 조절 수치가

    대단히 엄격하기 때문에 이를 약물을 복용하지 않고 조절하는 것이 상당히 어렵거든요.

    환자분이 꼭 확인하셔야 할 것은 혈압 조절이 잘 되는가, 혈당조절이 잘 되는가, 콜레스테롤 약은 왜 없는가

    그 이외 약은 안 필요없는가(예를 들면 아스피린 같은 것이지요, 이는 담당선생님과 상의를 해보셔야 합니다. 무조검 먹는다고 좋은 것은 아니니까요), 체중은 관리되고 있는가, 운동은 하고 있는가 등이 되겠습니다. (술, 담배 하지 않는 것은 기본이라서 적지 않았어요)

    1명 평가
  • 올려주신 영상은 뇌 T2 강조 영상의 정상적인 대뇌겉질(gyri) 주름 구조가 보이는 형태에 가깝습니다. 질문하신 “좁쌀 같은 하얀 점”은 영상상 뇌겉질의 주름 사이로 보이는 정상 신호거나, 정상 혈관 단면·미세 구조로 보일 가능성이 높습니다.

    다만 다음 두 가지는 영상만으로 구분이 필요합니다:

    1. 미세 허혈(약한 혈관성 변화, 작은 백질변성)

    – 고혈압·당뇨가 있는 경우 40대 후반~50대부터 서서히 나타날 수 있음

    – 아주 초기 단계에서는 작은 점 형태로 보이기도 함

    – 대부분 경미한 경우 임상적으로 큰 문제는 없지만, 장기적으로는 관리가 필요함

    2. 영상 촬영 특성에 따른 정상 신호 패턴

    – 단면 위치·해상도·T2 특성 때문에 좁쌀처럼 보일 수 있음

    – 젊은 사람들도 흔히 보입니다

    현재 사진 한 장만으로 ‘병변’이라고 단정하기는 어렵습니다.

    실제 판독에서는 같은 부위를 다른 시퀀스(T1, FLAIR 등)에서 비교해 미세허혈인지 정상 구조인지 판단합니다.

    걱정되는 부분과 관리 의견

    고혈압·당뇨가 있으신 경우

    – 고혈압·당뇨 조절 여부가 뇌의 미세혈관 손상 속도에 직접적 영향을 주는 점은 명확합니다.

    – 야간 근무는 혈압·혈당 변동성을 키워 장기적으로 뇌혈관 위험도를 높일 수 있습니다.

    따라서 기왕에 MRI를 찍으셨다면

    정식 판독문 확인 + 신경과 상담을 권합니다. 특히 판독에서 “소혈관병(small vessel disease)”, “white matter hyperintensity”, “미세허혈” 등이 언급되는지 확인하는 것이 좋습니다.

    1명 평가