저희 강아지 귀가 어떠한 상태인지 알려주심 정말 감사하겠습니다..

안녕하세요.. 혹시 저희 강아지 귀 상태가 어떤 상태인지 말씀해주실수있으신가요? 긁을정도인가요? 특히 오른쪽요.

중이염 내이염 가능성이 있는지..

한번 확인해주시면 정말 대단히 감사합니다..

저는 저희 강아지가 귀를 안긁는줄 알았는데 오른쪽 귀를 저 몰래 화장실에 들어가 몰래 10여초간 열심히 긁는걸 오늘 처음으로 발견했습니다...

어떤 병원에선 귀세정 하지말아라.. 어떤 병원에선 말레세치아 안발견됬으니 세정도 하지말고 약도 넣지말고 아무것도 하지말아라.. 어떤 병원에선 귀세정만해줘라 어떤 병원에선 포레신을 주고 어떤 병원에선 에탄올이 들어간 귀세정제 프루너스인지 그거로 귀세정하라고 어떤곳은 스테로이드 들어간 말레세치아 귀약을 주는데 뭐가 맞는지 뭘 어떻게 해야할지를 모르겠습니다.. 제발 다른 병원 또 찾아서 더 가라 이러지마시고 한번만 봐주세요.


주 증상은 오른쪽만 귀안에 솜만 넣어도 예민해하고 아파하고, 귀를 긁고 (10초정도) , 머리를 정말 자주 털고 (하루 30번 정도) 하품을 자주 하는정도인데..


귀상태가 어떠한 상태인지 알고싶습니다.. 귀세정을 하는게 맞을지..

아니면 대체 무슨 귀약을 써야할지 알려주심 감사하겠습니다..

부신종양 쿠싱이 있어도 감내하고.. 스테로이드 귀약을 써야맞는건지..

귀세정을 안하고 귀약도 안하는게 맞는건지 정말 모르겠습니다.

1개의 답변이 있어요!

  • 안녕하세요. 박재민 수의사입니다.

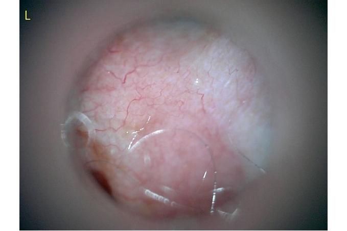
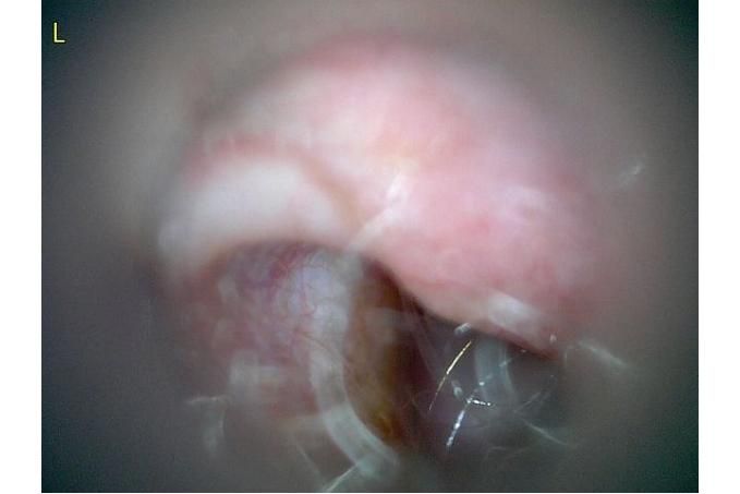
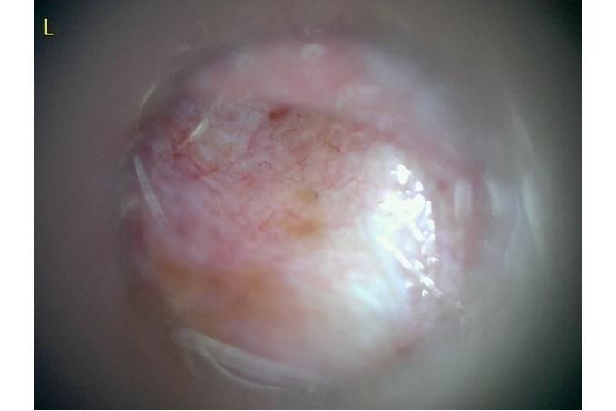
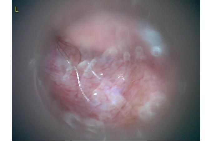
    사진만 보고 확진할 수는 없지만 지금 올려주신 귀는 적어도 오른쪽은 정상으로 보이기 어렵습니다 왼쪽은 비교적 연분홍에 가까워 보이지만 오른쪽은 털과 분비물이 많이 차 있고 피부가 자극받은 듯한 모습이라 외이염 가능성을 먼저 생각하게 됩니다 그리고 질문자님이 적어주신 머리 털기 하루 여러 번 귀 만질 때 통증 솜만 닿아도 예민함 귀 긁기 같은 증상은 외이염에서 흔한 신호입니다

    다만 이 사진만으로 중이염이나 내이염이라고 단정할 수는 없습니다 중이염이나 내이염은 귀 통증과 머리 털기만으로도 올 수 있지만 보통은 고개 기울어짐 비틀거림 안구가 흔들리는 증상 얼굴 한쪽 처짐 같은 더 깊은 신경 증상이 같이 보일 때 더 의심합니다 지금 적어주신 내용만 보면 제일 먼저는 오른쪽 외이도 염증과 통증 조절이 우선으로 보입니다

    지금 제일 조심해야 할 것은 귀세정을 무조건 하는 것도 무조건 안 하는 것도 아니라는 점입니다 고막 상태를 확실히 모르는 귀에 자극적인 세정제를 넣거나 세게 세정하면 더 아프고 더 깊은 쪽을 자극할 수 있습니다 특히 알코올 성분 세정제는 염증 있는 귀에서 따갑고 자극적일 수 있고 고막이 손상돼 있으면 더 문제가 될 수 있습니다 그래서 지금처럼 오른쪽이 아픈 귀는 집에서 강하게 세정하는 쪽은 저는 말리고 싶습니다

    귀약도 사진만으로 어떤 약이 맞다고 정해드리기는 어렵습니다 외이염 치료는 보이는 모양만이 아니라 현미경 검사에서 세균인지 효모인지 귀진드기인지에 따라 달라지고 실제 수의학 자료도 이경 검사와 세포검사를 바탕으로 약을 고르라고 설명합니다 다만 통증과 부종이 심한 외이염에서는 스테로이드가 들어간 점이약이 부기와 통증을 줄이는 데 도움이 되기도 합니다 쿠싱이 있어도 바르는 약이 전신 먹는 약보다 몸 전체 영향은 적은 편이지만 아예 영향이 없다고는 못 하므로 정말 필요한지와 기간을 짧게 쓸지까지 같이 따져야 합니다

    제 판단을 정리하면 지금 상태는 오른쪽 외이염 가능성이 높고 집에서는 알코올 세정제와 강한 귀세정은 잠시 멈추는 쪽이 더 안전합니다 그리고 약을 쓴다면 아무 귀약이 아니라 고막 확인과 세포검사 결과에 맞는 약이 필요합니다 질문자님처럼 이미 여러 말을 들어 혼란스러운 경우에는 기준을 하나로 잡으셔야 합니다 귀가 아픈 날에는 세정부터 하지 말고 먼저 통증과 염증을 가라앉힌 뒤 필요하면 부드럽게 청소하는 순서가 더 맞는 경우가 많습니다 하품은 귀 통증과 턱 주변 불편 때문에 같이 늘 수 있습니다

    제가 드리고 싶은 한마디는 이겁니다 지금 귀는 아무것도 안 해도 되는 귀처럼 보이지는 않지만 집에서 이것저것 바꿔 넣어볼 귀도 아닙니다 오른쪽은 외이도 염증과 통증 쪽으로 보고 자극적인 세정은 피하면서 원인 확인 후 한 가지 치료로 정리하는 쪽이 맞아 보입니다