아하
  • 토픽

  • 스파링

  • 잉크

  • 미션


의료상담

확실히담대한참새

확실히담대한참새

골반 골절 인거같아요 움직일떄 뚝뚝소리납니다

성별

남성

나이대

20대

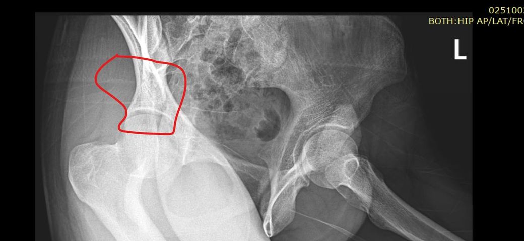
제가 사고나고 쫌 늧게 찍긴했습니다 근데 저기부분이 만져보면 진짜로 갈라져있어서 질문해봅니다 도와주 세요 아닌가요 ? ....

  • 1번 째 사진

8개의 답변이 있어요!

  • 송진희 물리치료사

    송진희 물리치료사

    보건복지부

    안녕하세요. 송진희 물리치료사입니다.

    걱정 되시고 아프시죠~~

    만져서 “갈라진 느낌“이 난다고 해서 실제 “골반 골절“이 느껴지지는 않습니다.

    골반 골절이면 보통 “체중 지지 불가, 극심한 통증, 걷기 어려움“이 먼저 나타나요.

    움직일 때 나는 “뚝뚝 소리”는 관절·힘줄 마찰이나 근육 문제인 경우가 훨씬 흔합니다.

    다만 사고 후 통증이 계속되면 “X-ray/CT”로 재확인은 꼭 필요하니 병원 방문을 권합니다.

    답변이 도움 되시를 바라고 빠른 회복을 바랍니다. 감사합니다~^^

  • 안녕하세요. 김강록 물리치료사입니다.

    우선 엑스레이 사진 한장만으론 골절을 판단하긴 어렵습니다.

    현재 다니시는 병원에 내원하셔서 엑스레이 판독 결과를 들어보시길 바라며 엑스레이만으론 정확한 확인이 어려울 수 있기에 CT 검사를 고려 해볼 수도 있습니다.

    당분간은 최대한 해당 부위에 자극을 주거나 무리하게 움직이는건 삼가하시길 바라며 필요에 따라 적절한 치료를 받아보시길 바랍니다^^

  • 안녕하세요. 조현배 물리치료사입니다.

    사진장 갈라져 있어 보이지만 골반과 대퇴골에 헤드 부분이 관절면을 이루고 있는 것으로 다른 연부 조직으로 인해 보강되어 있으니 걱정하지 않으셔도 됩니다. 두두둑 나는 소리는 관절 주변 조직액속에 기체가 터지면서 나타난 소리로 통증을 동반하지 않으면 크게 걱정하지 않으셔도 되는 자연스러운 현상입니다.

  • 엑스레이 사진 한 장을 놓고 정확하게 상태 감별 및 진단을 내릴 수는 없습니다만, 올리신 사진을 통해서 보았을 때에는 딱히 따로 골절선이 보인다거나 명확한 골절 소견이 보이거나 하지 않아 보입니다. 여담으로 골반 쪽에 골절이 발생하면 보통 뚝뚝거리는 소리가 나는 정도가 아니고 보행 자체가 어렵습니다. 정황 상 보았을 때 골절이 아닐 가능성이 높아 보이는 내용입니다.

  • 안녕하세요. 김현태 물리치료사입니다.

    손으로 만졌을 때 갈라졌다고 생각이 더ㅣ는 것은 근육 부위일 수 있습니다.

    검사 시 특병히 돌절에 대한 소견이 없으셨고, 사진상에서도 명확한 골절선이 없는 것으로 생각되는데요, 골절의 가능성은 낮아 보이지만 필요한 경우에는 조금 더 정밀한 검진이 가능한 CT를 고려하시거나 주치의와 상담해보시기 바랍니다.

  • 안녕하세요. 김경태 의사입니다.

    xray로 표시한 부분은 외부에서 만질수없는 부위입니다. 사진상으로도 골절선이 뚜렷이 보이진않습니다

  • 안녕하세요. 채홍석 가정의학과 전문의입니다.

    업로드해주신 증상의 설명과 자료는 잘 보았습니다.

    만져서 갈라져 있는 것보다 더 중요한 것은 증상입니다.

    일단 골절의 경우 심한 통증과 붓기가 증상으로 나타납니다.

    엑스레이가 애매한 경우 CT를 촬영을 하면 영상을 통해서도 확인이 가능할 것입니다.

  • 안녕하세요. 최성훈 내과 전문의입니다.

    올려주신 엑스레이에서 골절을 의심 해볼 수 있으나 저명하진 않아 불편감이 지속된다면 정형외과적 진찰과 CT 검사를 받는 것이 정확하겠습니다.