아핫뉴스실시간 인기검색어
아핫뉴스 화산 이미지
아하

의료상담

정형외과

놀라운푸들263
놀라운푸들263

발목 관절염 판독 및 확진 문의입니다.

성별
남성
나이대
26

안녕하세요.

최근 발목이 아파 병원에 방문했더니 발목 관절염 초기라고 이야기해서

엑스레이 확인 후 자료 받아와 확인 해봤는데 저는 잘모르겠어서....ㅠㅠㅠ

병원 3군데 갔는데 2군데는 맞다 한군데는 애매하다는 소견을 내려주셨습니다.

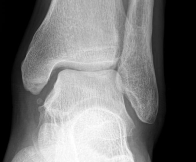
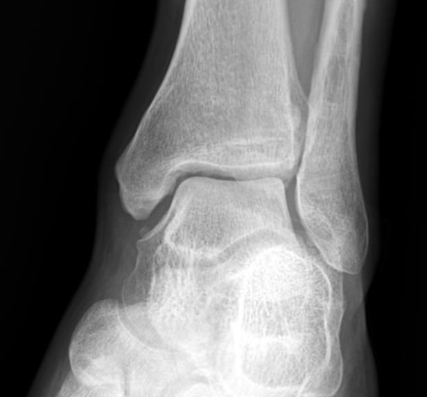
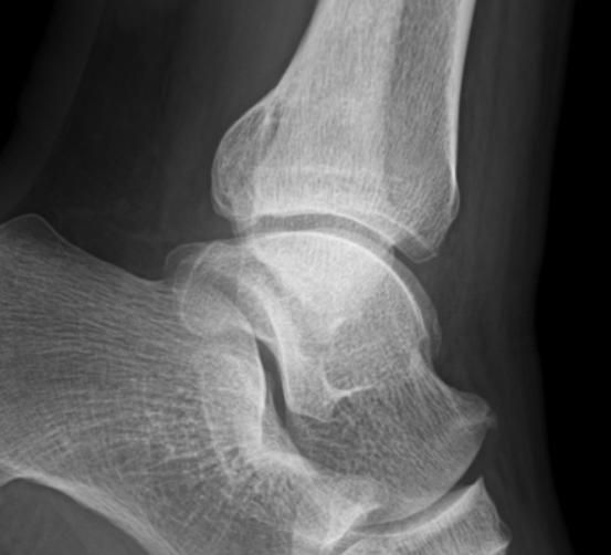
혹시 엑스레이 사진상 발목 관절염이 확인 되는지 질의 드립니다.

만약 확인 되면 발목 관절염 현재 몇단계 정도 진행중인가요?

감사합니다.

  • 1번 째 사진
  • 2번 째 사진
  • 3번 째 사진
5개의 답변이 있어요!
  • 안녕하세요. 송진영 물리치료사입니다.

    관절염 초기라면 뼈 끝이 약간 거칠거나 공간이 좁아진 정도일 가능성이 큽니다 병원마다 의견 차이가 있을 수 있으니 전문의와 함께 영상 소견을 상세히 상담을 받는 것이 좋습니다 보통 단계는 1~2단계가 초기이지만 정확한 평가는 영상 전문의 진단이 필요해요!

  • 안녕하세요. 김의균 물리치료사입니다.

    엑스레이 같은 경우 뼈나 관절의 이상 유무를 확인하는 검사다 보니 정확한 상태 파악을 위해서는 MRI검사를 받아보시는게 좋을 것으로 생각됩니다.

    빠른 쾌유를 기원합니다.

    감사합니다 수고하세요~

  • 안녕하세요. 김덕현 물리치료사입니다.

    좀더정확한 진단을위해서는 엑스레이보다 MRI검사를받아보는것이 좋은데요 3곳의 병원중에 2곳에서 진단을받았다면 꾸준하게 치료를받으면서 관리하는것이 필요할수있습니다

    보통은 물리치료나 주사치료등을 통해서 치료할수있고 도수치료나 체외충격파치료또한 도움이될수있습니다

    감사합니다~!

  • 안녕하세요. 김현태 물리치료사입니다.

    엑스레이상에서는 양쪽의 비교를 해보시는 것이 가장 정확하지만, 여러 의견을 들으신 것처럼 발목관절염의 초기로 보이지만, 관절에는 큰 변화가 없는 것으로 보이는데요

    이런 경우에는 진행속도를 늦추고 불편감을 완화하기 위한 치료와 꾸준한 재활을 지속하시는 것이 일상생활을 하시기에도 큰 불편감이 없겠습니다.

  • 안녕하세요. 남희성 의사입니다.

    애매하다고 표현하신 경우에도 다른 의사들이 관절염이 있다고 이야기하셔서 애매하다고 표현하셨지 골관절염이 아니라고 판단하셨을겁니다.

    제가 보기에는 관절염 소견이 보이지 않습니다.

    만약에 관절염이 맞다고 하더라도 가장 초기단계로 생각하시면 되겠습니다.