아핫뉴스실시간 인기검색어
아핫뉴스 화산 이미지
화산 아이콘 11
바빌론 랩스, 애니모카와 비트코인 협력
많이 본
아하

의료상담

치과

syl
syl

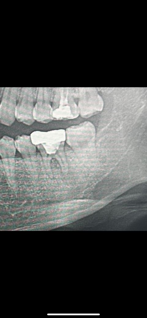
어금니 염증으로 통증이 있습니다 꼭 발치해야 할까요?

통증이 있고 염증이 심한상태라고 발치 후 임플란트 권장하였습니다 최대한 자연치아를 꼭 살리고 싶은데 도저히 가망히 없는지 궁금합니다

  • 1번 째 사진
  • 2번 째 사진
5개의 답변이 있어요!
  • 안녕하세요. 김지훈 치과의사입니다.

    염증이 너무 많이 진행된 경우에는 치아를 살리기 힘든 경우가 많으며 위의 치아도 살리기 어려워 보입니다.

  • 사진으로 봤을 경우에는 씨앗 뿌리에 뒤쪽으로 해서 깊은 병소가 보입니다 시야가 파절되었을 때 해당 사진과 같은 증상이 나타나는 경우가 많이 있습니다.

    치아가 파절되어서 생긴 증상이라면 치아를 발치해 줘야 할 수도 있습니다 자세한 확인을 위해서 치과에서 진료를 받아 보세요.

  • 안녕하세요 치과의사 김철진입니다. 염증이 많이 진행된 상태라 치아를 살리기는 어려울꺼 같고 발치를 하시고 나서 임플란트를 하셔야될것같습니다.

  • 현재 염증이 심한 상태로 보이며, 이 경우에는 자연치아 보존이 어렵기에 발치후에 임플란트 치료를 권합니다.

    궁금증 해소에 도움이 되시길 바라며, 도움이 되신 경우 '👍 ' 눌러주길 부탁드립니다.

  • 염증이 아주 심한 상태는 맞습니다 염증이 잇몸뼈까지 많이 퍼져서 잇몸뼈를 녹인 상태이고요 이 상태에서 신경치료 및 잇몸치료를 진행한다 쳐도 치아자체를 오래 유지하지 못할수도 있습니다

    신경치료하고 잇몸치료하는 것도 험난한 과정이고 여러번 내원하고 하느라 불편할 수 있는데 그렇게 해도 치아를 살리지 못하게 될 가능성이 높으므로 그럴꺼면 그냥 빼고 임플란트를 하자고 하신 겁니다.