아핫뉴스실시간 인기검색어
아핫뉴스 화산 이미지
화산 아이콘 11
이재명 대통령 오찬
많이 본
아하

의료상담

정형외과

December10
December10

척추가 기울어졌을 땐 어떤 치료요법이 필요한가요?

성별
여성
나이대
30

척추가 s자로 휘어진 게 아니고 한쪽으로 기울어져있습니다. 등을 굽혀보면 사람들이 다 척추가 기울어져있다고 말할 정도로 눈에 띄게 기울어져있는데요 아무리 서치를 해도 s자형으로 휘어진 척추측만증에 대한 얘기만 나오고 기울어진 형태는 어떤 치료를 받아야하는지에 대한 정보가 아무것도 없어요ㅠㅠ 저 진짜 이거 치료하고 싶은데 어떻게 해야하나요?

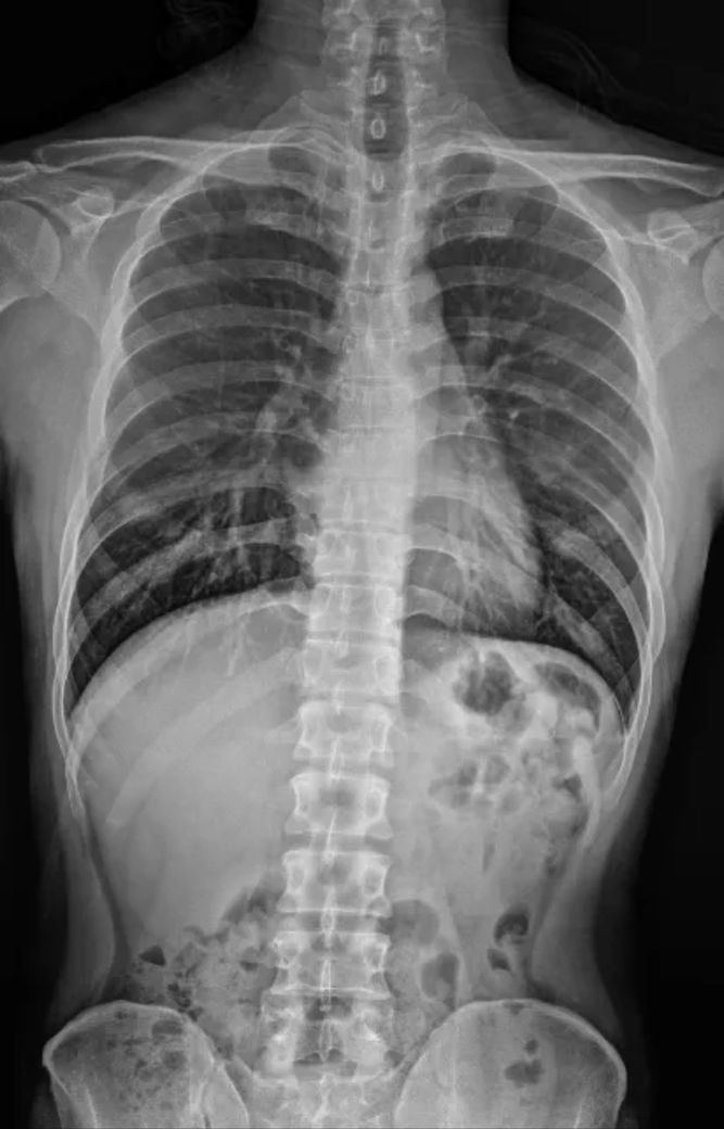
(사진은 서치하다가 저랑 비슷한 고민 하시는 분이 있길래 캡쳐해서 첨부했습니다. 답변어느정도 달리면 수정할 거예요 어쨌든 제 허리는 아닌데 저도 저렇게 기울어져있어요.)

  • 1번 째 사진
7개의 답변이 있어요!
  • 안녕하세요. 이동진 물리치료사입니다.

    x선 사진을 보시면 머리의 중심부터 한쪽으로 치우쳐져 있으며 몸통의 길이도 한쪽은 길고 한쪽은 짧습니다.

    척추 뿐만아니라 전체적으로 신체 중심선을 바로 세우는 운동을 하셔야 할 것 같습니다.

    정형외과나 재활의학과에서 신체교정을 위한 재활 운동을 받으시는 것을 권해드립니다.

    답변이 도움이 되었으면 좋겠습니다.

    2명 평가
  • 안녕하세요. 권만순 물리치료사입니다.

    한쪽으로만 기울어진 척추측만증의 경우 S자 커브의 치료와 조금 상이 합니다.

    일반적으로 한쪽 둔근이 약한 경우가 많으며, 생활습관이 어딘가 기댄다든지

    한쪽 다리를 많이 꼰다든지 등 비대칭적인 생활습관으로 인해 측만증이 심해지는 경우가 있습니다.

    기본적으로 몸을 세워줘야 하는 척추 근육들의 약화로 어딘가 기대기 때문에 가능하다면 척추를 세워주는(코어근육) 발달이 필요해 보입니다.

    척추를 펴 줄수있는 좋은 동작을 첨부해 드리겠습니다.

    spine elongation exercises

    1명 평가
  • 안녕하세요. 임종현 물리치료사입니다.

    기울어져있는 부분은 오히려 성장하면서 근육불균형으로 인해 틀어졌을 가능성이 높습니다 골반쪽이 나오다말았는데 골반이 돌아가있거나 이런부분에서도 다리길이 차이를 유발할수있으며 이런부분또한 척추가 한쪽으로 회는것에 영향을 줍니다. 고로 어릴적부터 한쪽으로 기울어져서 정말 뼈자체가 기울어져있는것인지 아니면 습관이 한쪽으로 쓰는습관이들면서 시간이 지남에 따라 기울어진것인지가 중요한데 후자라면 근육운동으로 근육만 잘맞춰줘도 중간으로 뼈를 가져올수있습니다. 일단 본인이랑 비슷하게 기울어졌다고하셨는데 골반이나 다른부분까지도 봐야하는부분이기때문에 한쪽으로 기울어진것또한 병원에서 도수치료 및 운동치료로 교정이 가능하시고 필라테스 처럼 재활운동을 위주로 하시는곳에서도 바로잡을수있습니다.

    1명 평가
  • 안녕하세요. 김민선 물리치료사입니다.

    자세한건 실제 근육 촉진이랑 엑스레이를 보아야 하겠지만, 이런식으로 측만증이 있으신 경우에는 아마 골반쪽도 틀어짐이 심할것으로 보입니다. 이런걸 교정해주는 치료는 정형외과에서 시행하는 도수치료나 사설 교정센터에서 치료가 가능합니다. 단, 치료가 주관적인 부분이라 잘하는 치료사나 운동강사를 만나셔야 합니다. 체형 교정 버젼으로 병원이나 교정센터 찾으셔서 잘 치료하시길 바라겠습니다.

    1명 평가
  • 안녕하세요. 김덕현 물리치료사입니다.

    척추가 기울어져있는건 자세적인문제이거나 측만증, 근육의불균형등에의해서 생기는증상일수있습니다 이럴때에는 평소 스트레칭과 운동을통해서 교정할수있는데요

    병원에서 도수치료를받으면서 집에서할수있는 운동이나 스트레칭동작들을 배우는걸 추천합니다 감사합니다~

  • 안녕하세요. 송진영 물리치료사입니다.

    척추가 한쪽으로 기울어진 경우 먼저 전문의의 진단을 받는 것이 중요합니다 물리치료, 교정 운도으 또는 맞춤형 보조기구가 도움이 될 수 있습니다 심한 경우에는 수술 적 치료가 필요할 수도 있으니 정형외과나 재활의학과에서 상담받는 것이 좋습니다! 치료 방법은 개인의 상태에 따라 다르므로 전문가와 상의하세요!

  • 안녕하세요. 김현태 물리치료사입니다.

    자세변화로 인해서 나타날 수 있는 증상으로 생각됩니다. 생활습관이나 업무환경에서 취하는 자세습관으로 인해서 후천적으로 나타나는 측만증 또는 일시적인 자세변화라고 볼 수 있겠습니다. 정확한 원인을 확인하기 위해서는 병원에 방문해보시는 것이 좋을 것으로 생각됩니다. 도수치료를 받아보시거나 운동전문가에게 조언을 구해보시는 것은 어떨까 싶습니다.