아하
  • 토픽

  • 스파링

  • 잉크

  • 미션


의료상담

아직도독특한고인물

아직도독특한고인물

24.05.08

어금니뿌리염증치료관해서질문드려요

신경치료하고 금씌운이빨뿌리에 염증이생겼는데

치료가능여부는 금을빼봐야알수있다는데

치료가안되면 발치를해야한다는데 이게맞는건가궁금해서요

1.금을안빼고는 치료가능여부를알수없는건가?

2.재신경치료.임플란트말고는 치료방법이없는지?

이두가지가 너무궁금합니다.

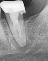
  • 1번 째 사진

4개의 답변이 있어요!

  • 안상우 치과의사

    안상우 치과의사

    목동안치과의원

    24.05.09

    사진으로 봐서는 뿌리끝에 큰 병소가 있는 것으로 보입니다. 이런 경우 치아 신경관 내부가 감염되었다면 재신경 치료를 해서 감염 물질을 제거해 줄 수 있습니다.

    보철물을 한 상태에서도 신경 치료를 할 수 있지만 보철치를 한 치과가 아니라면 위험도를 감수하지 않고 싶어 할 수 있습니다. 일반적으로는 보철물을 제거하고 신경 치료를 하게 됩니다.

  • 안녕하세요 치과의사 김철진입니다. 엑스레이 상으로 보면 치아 뿌리끝에 염증이 많은거 같습니다. 저 상태라면 사용할때까지 사용하시고 불편하시면 발치를 하시는게 좋을것같습니다.

  • ct를 찍어거나 직접 재신경치료를 해보아야 알겠지만

    신경치료가 어려운 형태의 치아 일 가능성이 높습니다.

    개인적소견으로는 재신경치료를 해도 성공률이 낮아보이며, 발치, 골이식 후 임플란트 하시는게 좋아 보이십니다.

    1. 재평가와 상관없이 어차피 재신경치료를 하려면 금 크라운은 뜯어내야 합니다. 지금으로서는 방사선 사진 상 염증이 명확히 보여 평가 자체를 하기 위해서는 크라운을 뜯을 필요는 없습니다.

    2. 언급한 것 외 치료방법으로는 치근단절제술을 고려해볼 수 있으나 현미경 등의 장비가 필요하고, 대학병원 보존과에서 주로 하는 술식입니다.