의료상담

TFCC 관련 상담 부탁드립니다..

성별

남성

나이대

30대

23년7월에 부분파열로 인해 봉합술을 했습니다 중간부분 은 염증을 다듬어두기만 했고 척골 근처 봉합술
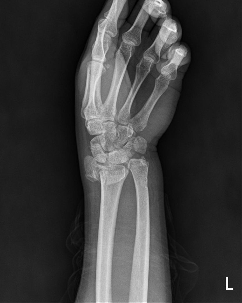
25년 12월에 빙판길에서 넘어져 요골 및 척골 모두 하단의 골절, 폐쇄성 이라는 진단을 받았으며
뼈는 어느정도 붙었으나 4월초부터 TFCC 통증이 매우 심해졌습니다
다른 병원에서 CT 및 엑스레이 확인해보니 플레이트 제거 하면서
봉합술을 다시 하자고 합니다 골절 이후로 플레이트가 있어 MRI는 아직 찍어보지 않았구요
봉합술을 다시 받는게 좋을까요 아니면 주사치료부터 다시 시작해보는게 맞을까요

mri는 23년 부분파열 당시
CT및 엑스레이는 12월 골절 당시 입니다

  • 1번 째 사진
  • 2번 째 사진
  • 3번 째 사진
  • 4번 째 사진
  • 5번 째 사진
  • 6번 째 사진
  • 7번 째 사진
  • 8번 째 사진
  • 9번 째 사진
  • 10번 째 사진
  • 11번 째 사진
  • 12번 째 사진

5개의 답변이 있어요!

  • 안녕하세요. 신미소 물리치료사입니다.

    4월부터 시작된 극심한 통증은 골절 합병증이나 금속판에 의한 자극보다는 사고당시의 충격으로 봉합부위가 재파열되었거나 척골변형으로 인한 척골 충돌 증후군이 동반되었을 가능성이 매우 높습니다. 단순 주사 치료는 일시적인 염증완화에는 도움이 될수 있으나 이미 수술이력이 있는 상태에서 발생한 기계적 파열을 근본적으로 해결하기에는 한계가 있습니다. 특히 금속판 제거술이 예정되어있다면 제거와 동시에 관절경을 통해 TFCC상태를 직접 확인하고 필요한 봉합을 진행하는것이 회복기간을 단축하고 만성 통증을 예방하는 가장 확실한 방법입니다. 전문가의 권유대로 MRI대신 조영제를 이용한 CT관절 조영술 등을 통해 파열 양상을 정밀히 파악한 후 금속판 제거시 재수술을 긍정적으로 고려하시길 권장합니다!

  • 제공해 주신 영상들을 확인했습니다. MRI는 2023년 부분파열 당시 촬영본이고, 단순 방사선 및 CT는 2025년 12월 골절 당시 영상으로 이해하고 검토하겠습니다.

    2023년 MRI 영상을 보면, 삼각섬유연골복합체(Triangular Fibrocartilage Complex, TFCC)에 전반적인 신호 변화와 함께 척골 부착부 근처의 손상 소견이 확인됩니다. 당시 봉합술을 시행한 것은 임상적으로 타당한 판단이었습니다. 이후 경과가 양호하다가, 2025년 12월 요골·척골 원위부 골절이 발생한 점이 현재 상황의 핵심입니다.

    현재 상황을 종합적으로 보면, 폐쇄성 골절 후 금속 플레이트가 삽입된 상태에서 4월 이후 TFCC 부위 통증이 급격히 악화된 것은 단순한 염증 반응만으로 설명하기 어렵습니다. 골절 후 요척골 관계(distal radioulnar joint, DRUJ)의 정렬 변화, 플레이트 자체에 의한 기계적 자극, 또는 기존 봉합 부위의 재파열 가능성 모두를 고려해야 합니다. 플레이트가 있어 MRI를 아직 시행하지 못하셨다고 하셨는데, 이 부분이 현재 진단 판단의 가장 큰 제한점입니다.

    치료 방향에 관해 말씀드리자면, 주사치료(스테로이드 또는 프롤로 계열)는 통증 완화에 일시적 도움이 될 수 있으나, 구조적 파열이 동반된 경우라면 근본적 해결책이 되지 못합니다. 반면 플레이트 제거 후 MRI를 우선 시행하여 현재 TFCC의 상태를 정확히 확인한 뒤 재봉합 여부를 결정하는 것이 훨씬 근거 있는 순서입니다. 플레이트 제거 자체는 골유합이 충분히 이루어진 시점이라면 어차피 계획될 수 있는 처치이고, 제거 후 MRI 판독 결과에 따라 동시 또는 순차적으로 봉합술을 진행하는 방식은 임상에서 흔히 취하는 합리적 접근입니다.

    담당 집도의 판단에 대해 말씀드리자면, 현재 플레이트 제거와 재봉합술을 제안하고 있다면, 그 의사가 CT와 단순방사선 영상을 직접 보면서 DRUJ 불안정성 또는 TFCC 손상의 간접 소견을 근거로 판단한 것일 가능성이 높습니다. 전적으로 틀린 방향이라 보기 어렵습니다. 다만 MRI 없이 수술 범위를 최종 결정하는 것에 불안감이 드신다면, 플레이트 제거 후 MRI를 먼저 시행하고 수술 범위를 확정하는 방식으로 상의해 보시는 것도 충분히 합리적인 요청입니다.

    요약하자면, 현 시점에서 주사치료만으로 접근하는 것은 시간을 지연시킬 뿐 구조적 문제를 해결하지 못할 가능성이 높고, 플레이트 제거 후 정확한 영상 평가를 바탕으로 재봉합 여부를 결정하는 방향이 가장 논리적인 순서라고 판단됩니다.

  • 안녕하세요. 김의균 물리치료사입니다.

    과거에 삼각섬유연골복합체 손상으로 인해 봉합술을 하셨고 이후 빙판에서 넘어지시면서 요골 및 척골 원위부의 골절 및 플레이트를 고정하는 수술을 하셨고 뼈는 붙었지만 최근에 TFCC 통증이 재발하면서 플레이트 제거 및 재봉합을 권유 받은 상태라면 일단 구조가 다시 틀어진 상태인지 확인을 하는게 중요할 것으로 생각됩니다.

    TFCC는 단순 염증 조직이 아니라 손목의 안정성을 담당하는 구조물로 안정성이 무너진 재파열이라면 수술을 하시는게 좋으며 단순한 염증이라면 주사 및 재활로도 치료가 가능할 것으로 생각됩니다.

    정확한 상태를 알 수 없기 때문에 병원에 방문하시어 상담 가져보시는게 좋을 것으로 생각됩니다.

    빠른 쾌유를 기원합니다.

    감사합니다 수고하세요~

  • 안녕하세요. 송진희 물리치료사입니다.

    골절 후 지속되는 삼각섬유연골복합체 손상 통증은 단순 염증이 아니라 재파열.불안정성

    가능성을 먼저 의심합니다.

    플레이트가 있어도 금속 아티팩트 감소 MRI나 관절조영(MRA)로 상태를 확인 후 결정 하는 것이

    원칙입니다.

    명확한 파열/불안정이면 플레이트 제거 + 재봉합이 효과적이고, 경미하면 주사.보조기.재활을

    6~8주 시도해볼 수 있습니다.

    회전 시 통증 "딸깍" 소리.악력 저하가 심하면 수술 쪽으로 무게가 실립니다 - 수부 전문의 2차 의견 권장드립니다.

    답변이 도움 되셨길 바라며, 빠른 쾌유을 바랍니다!!

  • 안녕하세요. 김현태 물리치료사입니다.

    정확한 소견은 주치의분의 소견을 참고하심이 좋겠습니다만, 보다 안정적인 예후를 위한 방법을 고려해보시기 바랍니다.

    우려가 되시는 경우에는 다른 병원에도 방문하셔서 상담을 받아보시는 것을 추천드립니다.