아하
  • 토픽

  • 스파링

  • 잉크

  • 미션


의료상담

세련된족제비66

세련된족제비66

앞니 뿌리 염증인가요 약간의 증상있으나 심한정도는 아닙니다

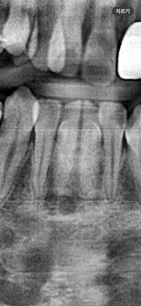
이거 치아뿌리 염증인가요? ㅠㅠ

*사진은 9개월전 교정하기 전 입니다.

현재 치아 교정중인 사람인데요 앞니가 평소에는 괜찮다가 스프링붙이고 공간벌리기 끝나고 스프링 떼고 난 후에 압력? 약간의 시큰거림(특히 양치 후)이 있습니다 그리고 해당앞니는 예전부터 초기충치가 있던 치아이구요 초기충치 발견당시(9개월전)에 신경을 계속 쓰니까 증상이 있다가 신경안쓰니까 사라졌다가 최근에 증상이 조금 있어요 교정때문인지 충치 때문인지.. 또 치과를 몇군데 갔었는데 초기충치를 다들 잘 발견 못 했고 짚어줘야 알았습니다 문제 있는 치아인가요? 신경치료,발치 등 해야하나요?

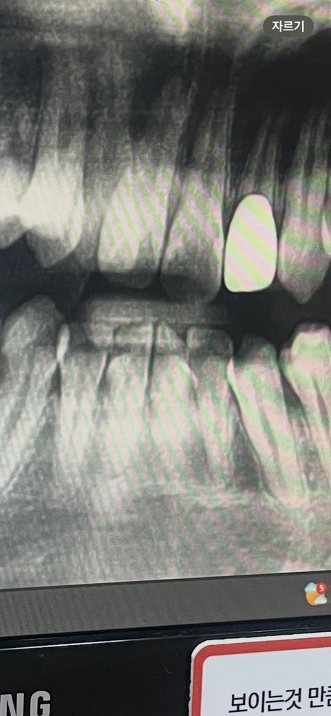
  • 1번 째 사진
  • 2번 째 사진
  • 3번 째 사진
  • 4번 째 사진

2개의 답변이 있어요!

  • 안상우 치과의사

    안상우 치과의사

    목동안치과의원

    안녕하세요. 안상우 치과의사입니다.

    사진으로 보이는 충치만으로는 치근단 질환이 생길 정도는 아닌 것으로 보입니다. 방사선상 어두운 부분이 보이긴 하나 치근단 질환을 확인하기 위해서는 CT 촬영 등에 정밀한 검사가 필요할 수 있습니다.

    자세한 확인을 위해서 치과에서 진료를 받아보는 것을 권유드립니다.

  • 안녕하세요. 최석민 치과의사입니다.

    엑스레이 사진 순서에 있어서 젤 왼쪽이 가장 최근이라면 염증이 잡히고 있는 상태라고 볼 수 있겠으나 파노라마 사진 말고 치근단 사진이 좀 더 정확합니다

    충치치료는 지금 해주면 좋을 것 같습니다. 배열되기 전에 충치에 대한 접근이 더 쉬울 것 같습니다