아핫뉴스실시간 인기검색어
아핫뉴스 화산 이미지
화산 아이콘 11
판사 이한영 흥행
많이 본
아하

의료상담

정형외과

색다른긴꼬리30
색다른긴꼬리30

골절의 대략적인 시기가 궁금합니다.

성별
남성
나이대
30대

무더운 날 노고가 많으십니다.

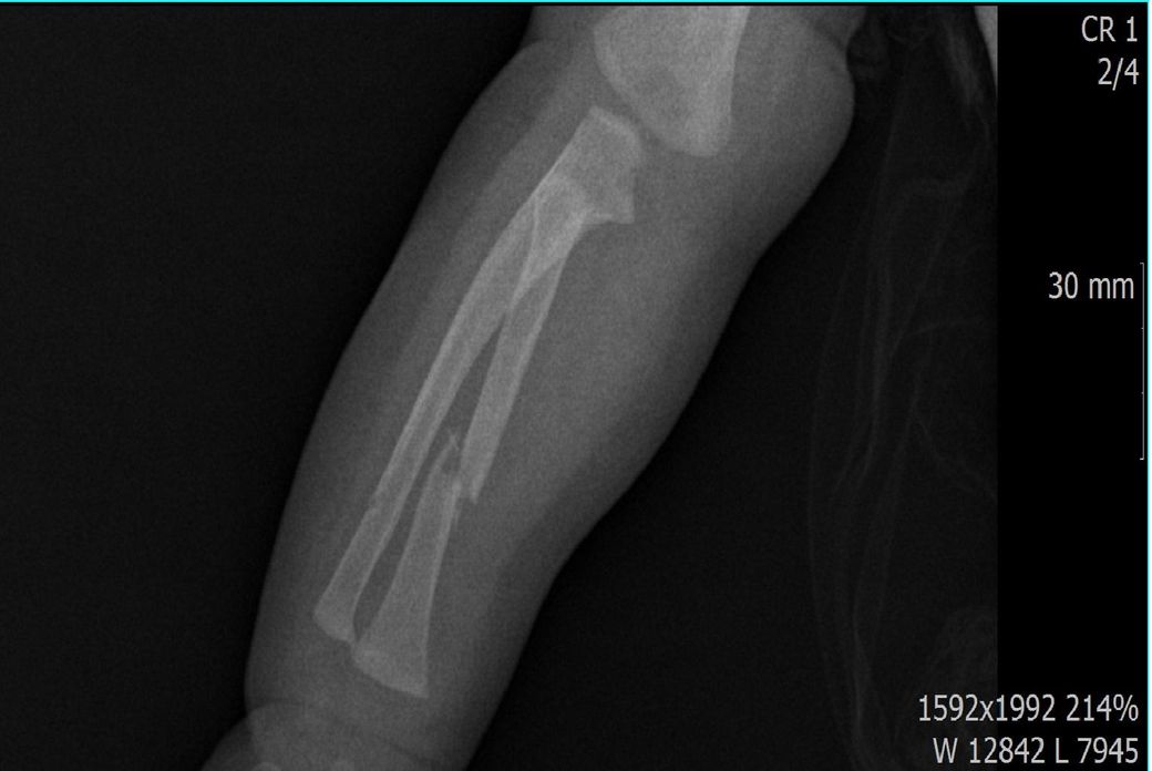
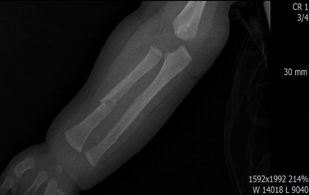
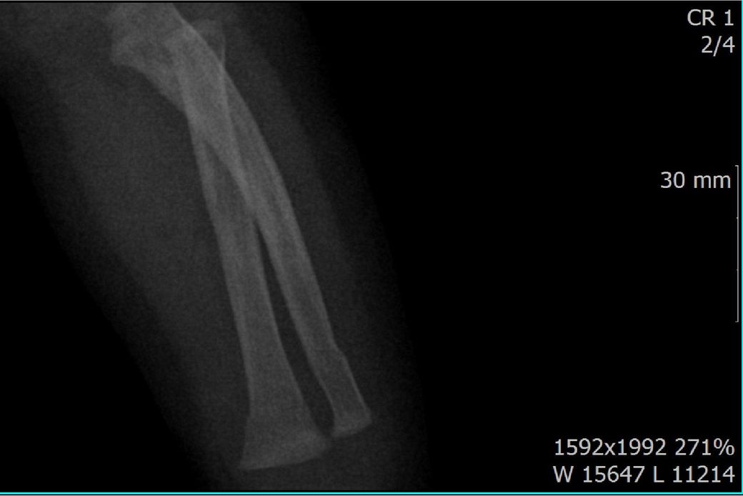
다름이 아니라, 첨부드린 엑스레이(X-ray) 사진처럼 골절 사실을 알게 되고 골절 발생 시점 대략적으로나마 추정시기를 파악하려고 문의 드리게 되었습니다

진료받았던 병원이나 타 병원이 '내가 신도 아닌데 어떻게 아냐'며 협조가 안되고 추정시기도 주장도 달라 너무 답답한 심정에 이 경로로 문의드립니다

1) 3월 30일 촬영한 X-ray만으로 정확한 골절 시기를 100% 특정하는 데에는 한계가 있다는 점 충분히 인지하고 있기에 촬영날짜 기준으로 대략적으로 어느정도 시점에서 발생되었을 것으로 추측(ex 당일, 7~10일전, 7~14일 전, 10일 ~ 20일전, 14일 ~ 30일전 등등등)되는지 이해하고 싶습니다.

100% 정확한 날짜를 지정하기를 요청드리는 것이 아니오라, 대략적인 정보를 원합니다 감사합니다~~

혹시나 지역 막론하고 소견서, 진단서 써주실 의사선생님 계시면 저희가 사천에서 직접 찾아가겠습니다

감사합니다

  • 1번 째 사진
  • 2번 째 사진
  • 3번 째 사진
  • 4번 째 사진
  • 5번 째 사진
4개의 답변이 있어요!
  • 안녕하세요. 김의균 물리치료사입니다.

    골절의 시기 같은 경우 엑스레이 소견과 뼈 치유 상태등을 통해서 대략적인 시기가 측정이 가능하기는 하지만 정확한 날짜를 잡기는 어려우며 보통 골절 같은 경우 6~8주 정도면 골절이 어느정도 회복되는 시기로 해당 부위 골 유합이 어느정도 진행된 시점에서 2달 정도의 시간을 빼보시면 좋을 것으로 생각됩니다.

    감사합니다 수고하세요~

  • 안녕하세요. 송진영 물리치료사입니다.


    골절 시기는 엑스레이 소견과 뼈 치유 상태를 통해 대략 추정할 수 있으나 100% 정확한 날짜 특정은 어렵습니다. 보통 초기 1~2주 이내 2~4주, 1개월 이상 등으로 구분하고 촬영 시기와 골절 부위 상태에 따라 다릅니다! 소견서 발급은 해당 촬영 및 진료 병원에서 의사가 작성하는 것이 원칙입니다!

  • 안녕하세요. 김강록 물리치료사입니다.

    아무래도 엑스레이를 보고 판단하기엔 어려운점이 많습니다.

    골절의 상태를 보고 골절선이 선명하고 부위에 가골이 형성되지않았다면 보통 일주일 이내로 봅니다.

    골절선이 보이지만 주변 부위에 가골이 조금씩 있다면 2주 이내.

    골절선이 잘안보이고 가골이 보인다면 한달 이내로 판단 할 수 있습니다.

    지금은 골절 이슈가 있을만한 상황을 다시 한번 생각해보시길 추천드립니다.

    또한 영상의학과 전문의에 소견을 들어보시는것도 추천드리며 현재로썬 명확한 답변을 받기엔 제한이 많겠지만 잘해결되셨으면 좋겠습니다^^

  • 안녕하세요. 김현태 물리치료사입니다.

    골절의 대력적인 시기를 유추할수는 있는 방식은 골절이 발생한 조직의 회복 단계를 통해서 가능한데요,

    이는 정형외과 전문의처럼 관련된 진료과의 전문의를 통한 소견이 필요할 수 있으므로 해당 진료과목의 의료기관에 빙문하시는 것을 추천드립니다.