아핫뉴스실시간 인기검색어
아핫뉴스 화산 이미지
화산 아이콘 11
비트코인 탈출해야 하나?
많이 본
아하

의료상담

신경과·신경외과

스마트한카구94
스마트한카구94

뇌 mri 판독 가능한지요..

성별
남성
나이대
37
기저질환
없음.
복용중인 약
없음.

요즘 멍한 증상이 지속돼서

일단 mri를 찍어봤네요.

특이사항은 없다는데

한 번 더 볼수있을까해서요.

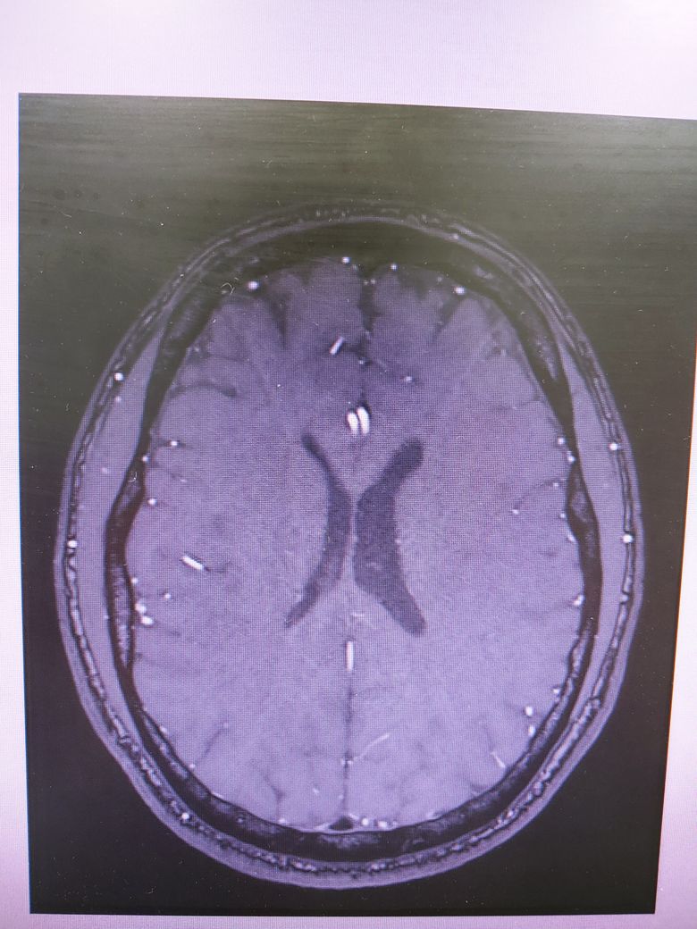
사진이 정말 많네요..어떤 걸 올려야할 지 모르겠네요.

  • 1번 째 사진
  • 2번 째 사진
  • 3번 째 사진
  • 4번 째 사진
7개의 답변이 있어요!
  • 안녕하세요. 최병관 의사입니다.

    현재 사진만으로는 정보가 부족하여 원인을 알기는 어렵습니다. 특히 MRI는 영상의학과 의사와 같은 전문의만이 정확히 판독이 가능하므로 해당 병원 판독지 등을 올려주신다면 도움이 되겠습니다.

  • 안녕하세요 아하(Aha) 의료, 코로나 카테고리에서 활동중인 전문의입니다.

    4컷만으로는 MRI에 대한 충분한 판독이 어렵지만 큰 이상은 없는것으로 보입니다.

    참조하시어 도움이 되기를 바랍니다.

     

  • 안녕하세요. 오현수 의사입니다.

    특이 이상소견은 보이지 않으나 mri의 경우 4장으로 판단하는 것이 아닌 각 단면마다의 연속적인 영상을 보아야 알수 있습니다. 그리고 각 setting마다 볼수 있는 것도 다르며 보다 명확한 평가를 위해서 담당 선생님께 보다 구체적인 설명을 들으시길 바라며 최근 멍한 증상이 심해졌다면 뇌파 검사 등이 요구될수 있습니다. 우선적으로 기존에 다니셨던 병원을 내원해 진료를 보시고 추가적으로 신경과 내원 또한 고려해볼 수 있습니다. 감사합니다.

  • 안녕하세요. 김창윤 소아과의사입니다.

    해당 병원 판독에서 이상이 없었다고 하면 없다고 보시면 됩니다.

    올려주신 것은 말씀 주신 것처럼 일부분이라 크게 도움을 드리기는 어렵습니다.

    걱정이 된다면 해당 병원 mri 를 떼서 다른 병원에 가서 문의 하여 보는 것도 방법이겠습니다만, 지금 다니는 병원에서 이상 없었다고 하면 너무 걱정 마시기 바랍니다.

    도움이 되셨으면 좋겠습니다. 감사합니다. 😄

  • 안녕하세요. 남희성 의사입니다.

    올려주신 사진 상에서는 이상소견이 확인되지 않습니다.

    MRI의 경우 이렇게 몇컷만 보는것이 아니고 전체를 확인해야하기 때문에 다른 신경과 전문의 진료를 받아보시고 MRI 판독을 요청해보시는게 좋겠습니다.

    혹시 먹고계시는 약이 있지는 않으신가요?

  • 탈퇴한 사용자
    탈퇴한 사용자

    안녕하세요.

    뇌MRI는 단순히 4장 가지고 판독할 수 없습니다.

    걱정이 되신다면, 영상의학과 전문의 중에서 뇌MRI를 전문으로 보는 의사에게 판독받는 것이 가장 정확할 것입니다.

    감사합니다.

  • 안녕하세요. 서민석 의사입니다.

    이미 한번 괜찮다고 들으셨다고 하면 너무 걱정하실 필요는 없습니다. 그리고 MRI사진의 경우 1장만 가지고서 뇌 전체의 이상 여부를 확인할 수는 없답니다. 올리신 사진은 특별한 문제가 없지만 다른 사진에서 이상이 있을 수도 있거든요. 다시 한번 확인을 원하신다면 CD를 가지고 다른 병원에서 추가적인 의견을 들어보셔도 됩니다.