아하
  • 토픽

  • 스파링

  • 잉크

  • 미션


의료상담

아주단단한무화과

아주단단한무화과

손목 요골 원위부 골절 문의드립니다.

성별

남성

나이대

20대

약 3주전 넘어지는 사고로 손목 골절 진단 받고 1주 반깁스 후 통깁스 치료 중입니다.

사고 초기 당시 병원 여러 곳을 방문했는데, 수술을 권하는 선생님도 계셨고 이정도는 보존치료로 진행하자고 하는 선생님도 계셔서 우선 깁스치료로 진행하고 안정 중입니다.

이대로 깁스치료해도 뼈가 이상없이 잘 붙을 수 있을까요?

후에도 문제없이 손목을 쓸수있을지 걱정됩니다ㅜㅜ

관련해서 전문가 선생님들의 고견 부탁드립니다.(광고 사절)

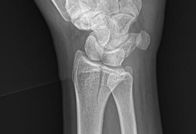
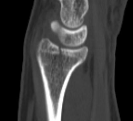
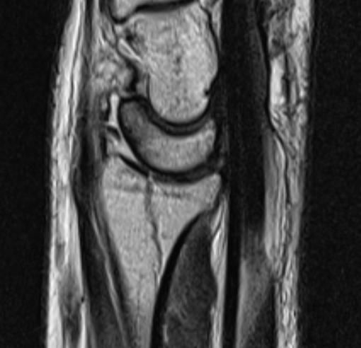
아래는 사고 당시 X-ray 와 CT, MRI 사진입니다.

  • 1번 째 사진
  • 2번 째 사진
  • 3번 째 사진

6개의 답변이 있어요!

  • 송재민 의사

    송재민 의사

    재활병원

    안녕하세요. 송재민 재활의학과 전문의입니다.

    올려주신 내용 잘 확인 하였습니다. 걱정이 많이 되시겠습니다

    안타깝지만 해당 컷 사진 소견만 놓고 정확한 상태 파악을 이곳에서 할 수는 없습니다. CT와 MRI는 단순히 골절 한 컷만을 보고 판단하는 것이 아니고, 여러 방향에서 찍은것을 직접 진료실에서 전체적으로 확인해야합니다. 직접 영상과 환자분의 상태를 확인한 선생님들의 의견대로 따르시는것이 맞겠습니다.

  • 안녕하세요. 김덕현 물리치료사입니다.

    골절의경우 일정시간의 고정기간이필요할수있는데요 제대로된고정만가능하다면 무리없이 치료가가능한걸로보입니다~

    일단 병원에서 전문의와 상담을받아보시고 수술적치료가필요한지 확인해보는것이 좋은데요

    깁스를 처방받았다면 무리없이 회복될수있을걸로 보입니다 감사합니다~!

  • 안녕하세요. 김강록 물리치료사입니다.

    우선 현재로썬 골절면이 보여지지만 크게 전위(이동) 된 것으로 보여지지는 않기에 보존적인 치료를 하면서 경과를 지켜보셔도 좋을 것 같습니다.

    다만 여러 전문의에 의견이 다르다는것은 현재 수술/비수술 둘 다 가능하지만 좀 더 안전한 방법으론 수술을 고려해보시는것도 좋습니다.

    만약 골절로 인한 저림, 극심한통증, 이차적인 손상 등 나타난다면 수술을 하시고 통증과 움직임 제한이 있다면 비수술을 고려해보시길 바랍니다.

    지금으로썬 정답은 없지만 후유증 및 이상 반응에 따라 결정하시는게 좋고 정기적으로 병원에 내원하셔서 현재 상태에 대한 확인 및 상태에 따른 적절한 치료를 해보시길 바랍니다.

    너무 걱정마시고 당분간은 최대한 휴식을 취하면서 골절된 부위가 잘 붙을 수 있게 관리해주시고 건강히 회복되셨으면 좋겠습니다^^

  • 안녕하세요. 송진영 물리치료사입니다.

    요골 원위부 골절은 골절의 모양, 전위 정도, 관절면 침범 여부에 따라 치료방침이 달라집니다.

    엑스레이 및 CT에서 저누이가 심하지않고 관절면에 영향이 없다면 보존적 깁스 치료로도 충분히 잘 붙는 경우가 많습니다. 다만 고령, 골다공증, 분쇄골절, 관절면 불일치 시엔 추후 통증 기능장애 가능성이 있어 수술이 고려됩니다.

    지금은 주기적 엑스레이로 유합 여부 확인하고 깁스 후 재활 운동 잘 따라가면 좋은 결과 기대할 수 있습니다!

  • 올리신 사진 세 장을 놓고 진료를 받으신 병원들만큼 자세하게 파악하고 정확한 판단을 내려드릴 수는 없습니다. 사진들을 보았을 때에는 변형이 심하게 생기거나 해 보이지 않기 때문에 손목 가동범위에 문제가 있거나 신경 손상 등을 의심할만한 소견이 없다면 수술적 치료 없이도 회복이 가능할 수도 있겠다 추측해볼 수도 있겠습니다. 그렇지만 앞서 언급하였듯 정확히 어떻다 이야기 하기는 어렵습니다.

  • 안녕하세요. 김현태 물리치료사입니다.

    수술에 관해서는 적어도 세돗 이상의 병원에서 전문의 소견을 들어보시는 것을 추천드리고, 골절 시 뼈의 위치가 크게 어긋나지 않았다면 보존적인 치료를 고려해볼 수 있습니다.

    현재 치료를 지속하시며 경과를 살펴보시고, 보존적 치료가 큰 호전이 없는 경우에 수술을 고려하시는 것도 좋겠습니다.