아하
  • 토픽

  • 스파링

  • 잉크

  • 미션


배부른고래253

배부른고래253

매복사랑니 발치 난이도랑 발치 시간 궁금해요

성별

여성

나이대

23

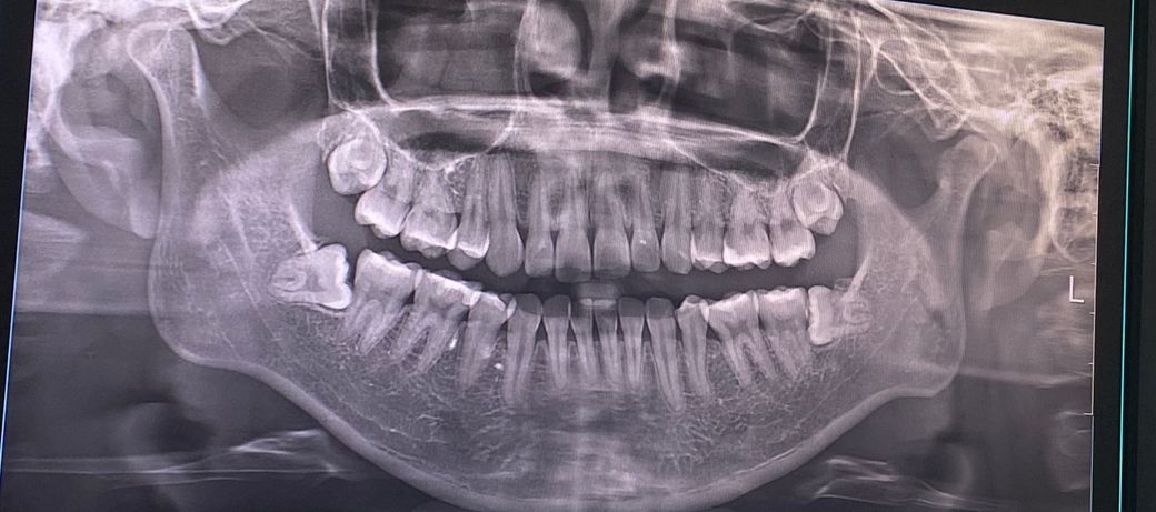
곧 사랑니 발치를 앞두고 있는데요, 너무 무섭고 긴장되서 여쭤봅니다😢 동네 대학병원에 매복치아 발치 전문으로 하시는 교수님 예약해두었구요. 교수님께서는 마취주사부터 봉합까지 30~45분 걸린다는데… 이정도면 많이 어려운 난이도인가요??ㅠㅠ

이번주에 위아래 두개 그리고 다음주에 나머지 두개뽑을 예정이에요..

  • 1번 째 사진

2개의 답변이 있어요!

  • 남희성 의사

    남희성 의사

    대학병원 재활의학과

    안녕하세요. 남희성 의사입니다.

    해당 질문은 의료카테고리가 아니라 치과 카테고리에 올려보시는게 맞겠습니다.

    전문분야 - 치과 카테고리가 따로 있습니다.

  • 안녕하세요. 아하(Aha) 의료분야 답변자 외과 전문의 배병제입니다.


    사랑니 발치를 앞두고 계시군요.

    죄송하지만 의료 카테고리에 글을 쓰시면 치과의사들이 읽고 답변을 달 수 없습니다.

    치과 카테고리에 글을 다시 작성하시는 것이 좋겠습니다.


    저의 답변이 도움이 되셨길 바랍니다.