아하
  • 토픽

  • 스파링

  • 잉크

  • 미션


의료상담

배부른고래253

배부른고래253

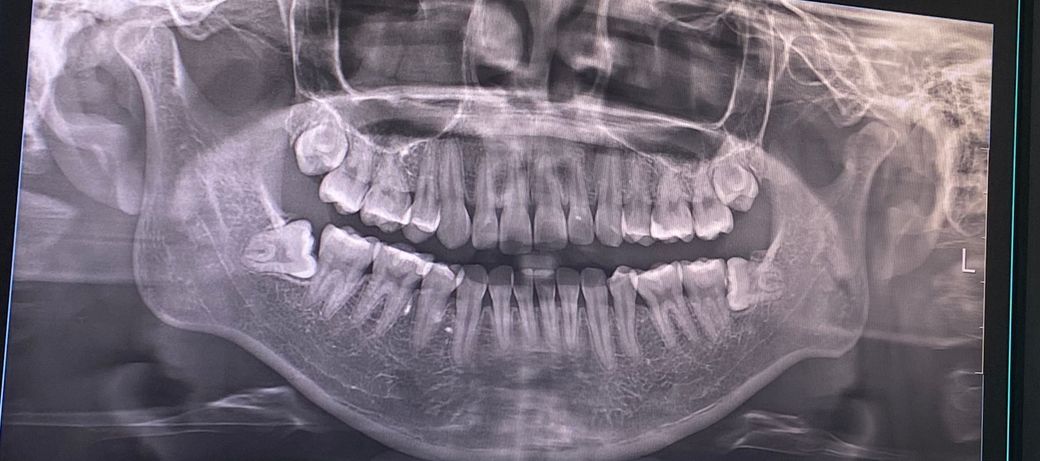
매복 사랑니 발치 시간이랑 난이도 어떨까요?ㅠㅠ

곧 사랑니 발치를 앞두고 있는데요, 너무 무섭고 긴장되서 여쭤봅니다😢 동네 대학병원에 매복치아 발치 전문으로 하시는 교수님 예약해두었구요. 교수님께서는 마취주사부터 봉합까지 30~45분 걸린다는데… 이정도면 많이 어려운 난이도인가요??ㅠㅠ

이번주에 위아래 두개 그리고 다음주에 나머지 두개뽑을 예정이에요..

  • 1번 째 사진

4개의 답변이 있어요!

  • 송우식 치과의사

    송우식 치과의사

    솔플란트치과 경기도 성남시 모란역

    안녕하세요. 송우식 치과의사입니다.

    아래 사랑니는 옆으로 누워있는 수평매복 사랑니 입니다. 이런 사랑니는 치아를 부수는 치아절단술로 발치해야 하니 수술에 해당하며 외과적 발치술이라고 합니다.

  • 안녕하세요. 김철진 치과의사입니다.

    사진상으로 보면 크게 어려운 난이도는 아닌거 같습니다. 더군다가 대학병원 교수님이라면 30분정도 걸리실꺼 같네요.

  • 안녕하세요. 김지훈 치과의사입니다.

    크게 복잡한 수술은 아닌 것으로 보입니다. 시간은 말씀하신 대로 30분~1시간까지 걸릴 수 있어 보입니다.

  • 탈퇴한 사용자

    탈퇴한 사용자

    안녕하세요. 김주혁 치과의사입니다.


    사랑니가 완전 매복 상태가 아니며 앞에 치아나 하악 신경과도 거리가 있어서 크게 문제가 있을 것 같지는 않습니다


    대학병원에서 교수님 진료 받으신다면 크게 걱정 안하셔도 괜찮습니다