뿌리 잇몸 안에 큰 물혹 염증 종양 질문드립니다
크라운 씌운 치아 잇몸에 농양 같은 게 생기고 통증이 심해서 치과에 갔는데
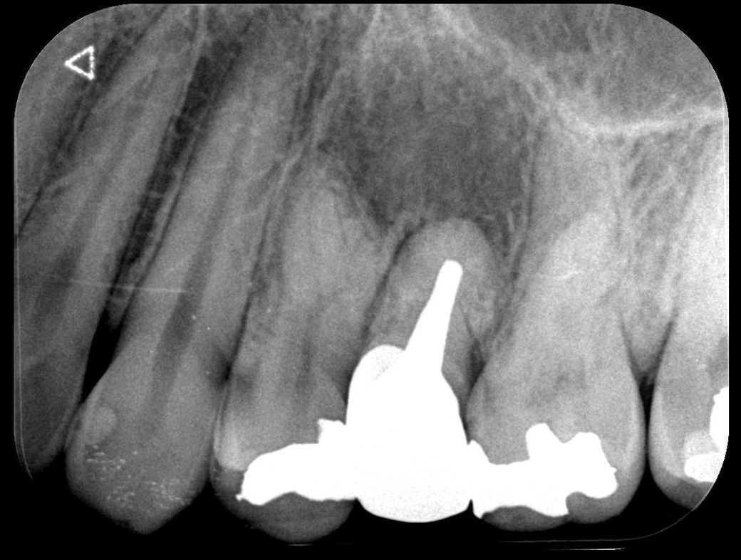
사진 찍고 진료받아보니 뿌리 쪽 잇몸 안에 큰 물혹 염증 같은 게 가득 차 있다고 크기도 많이 크고 상태가 만히 안 좋다 하셔서
일반 치과에서는 치료 못하고 대학병원을 가라고 하셔서요
이게 크라운 교체 전에는 없었는데 교체 후에 생긴 거 같다고 3년 전 사진이랑 비교해 주시면서알려주셨는데
많이 심각한 거라고도 얘기를 하셔서 양성종양 같은 거라고도 하시던데
저는 어떤 치료를 받아야 하나요
뿌리의 병수의 크기로 보면 최근에 생긴 것이 아니라 오랜 기간 동안 진행된 것으로 보입니다. 뿌리 끝에 병소가 너무 크다면 신경치료 등으로 해결이 되지 않을 수도 있기 때문에 큰 병원에서의 치료가 필요할 수 있습니다. 자세한 확인을 위해서 치과에서 진료를 받아보세요.
안녕하세요 치과의사 김철진입니다. 치아때문에 생긴 염증이라면 치근단 절제술을 해볼수 잇지만 낭종이라면 수술적으로 제거를 하셔야될것같습니다.
ct등 추가 사진을 찍어보고 판단하면 더 좋을 것 같습니다.
일단 주어진.. 상태만 보고 판단하자면 씌운 치아의 내부파절이 의심되며
해당 치아를 발치하고 내부 염증 제거 후 골이식.
4~6개월 충분히 기다린 다음 임플란트 진행할 것 같습니다.
다른 치과 얘기 들으셨다면 다른 치과 혹은 상급치과 내원 후 상담 받아보시기 바랍니다.
뿌리끝 염증에서 비롯되는 물혹의 가능성이 있어보입니다. 현재로선 완전히 cyst화된 건 아니고 granular tissue 의 상태로 보여집니다.
발치도 염두는 해두셔야 하고 치근단절제술 등이 시도될 수는 있을 것 같습니다.
