아핫뉴스실시간 인기검색어
아핫뉴스 화산 이미지
화산 아이콘 11
신우현 면허 없는 일상
아하

의료상담

정형외과

꽤사랑이넘치는칼국수
꽤사랑이넘치는칼국수

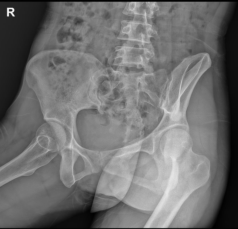
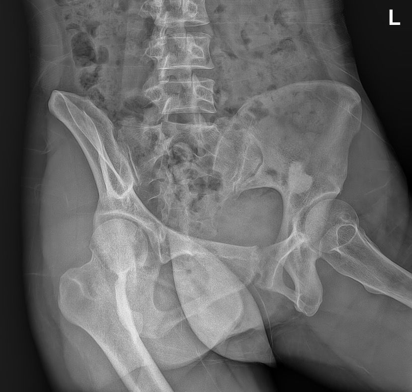
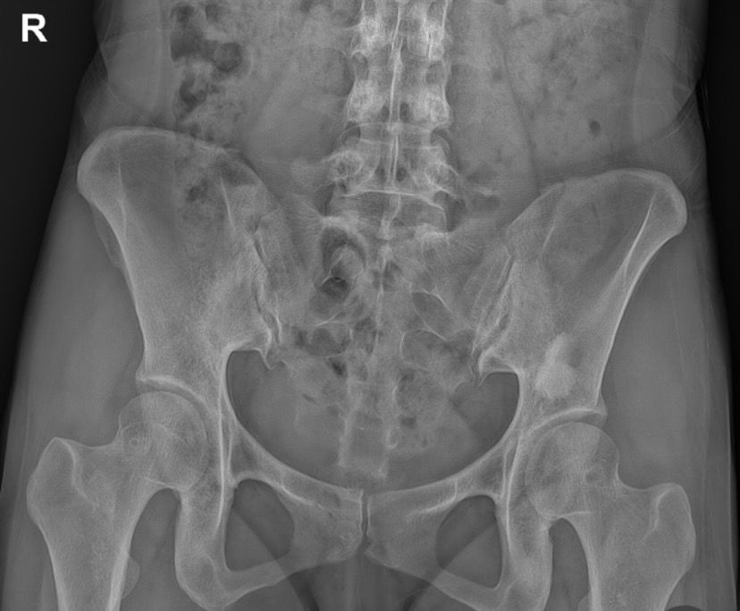
골반 x-Ray 사진 판독 좀 부탁드려요ㅜㅜ

성별
여성
나이대
40대

오늘 골반 통증이 심해서 병원에 다녀왔어요

엑스레이 찍자고 하셔서 찍었는데 왼쪽 골반뼈에 뭐가 보인다고 하시더라구요 혹인가… 하시면서 크게 신경 안쓰시는거처럼 말씀하셔서 그런가보다 하고 일단 물리치료 받고 오긴 했는데 시간이 갈수록 조금 걱정이 돼서요…

CT 나 MRI 찍어야 할까요?

  • 1번 째 사진
  • 2번 째 사진
  • 3번 째 사진
  • 4번 째 사진
5개의 답변이 있어요!
  • 안녕하세요. 김덕현 물리치료사입니다.

    해당사진으로 많은걸확인할수는 없지만 좀더 정확한 진단을위해서는 MRI검사를받아보는것이 좋습니다

    가까운 종합병원이나 대학병원으로 내원해보시길 바랍니다 감사합니다~!

  • 안녕하세요. 송재민 재활의학과 전문의입니다.

    올려주신 내용 잘 확인 하였습니다. 걱정이 많이 되시겠습니다.

    이곳은 공식적으로 진료행위를 하는 곳은 아니며, 안타깝지만 해당 사진 소견만 놓고 정확한 상태 파악 및 감별 진단을 내릴 수는 없으므로 병원에서 권해주신 물리치료와 약물치료 진행해보시고 그래도 증상 지속 시 상급병원 내원하여 진료 받아보시길 권유드립니다.

  • 안녕하세요. 송진영 물리치료사입니다.


    혹으로 의심되는 골반뼈 이상이 있다면 정확한 성격 파악을 위해 CT, MRI 검사가 권장될 수 있습니다. 엑스레이는 뼈의 구조만 제한적으로 보여주기 때문에 혹이 양성인지, 염증성인지, 다른 문제인지 구별이 어렵습니다. 통증이 계속되거나 불편감이 심해진다면 정밀검사를 받아보는 것이 안전합니다.

  • 안녕하세요. 김현태 물리치료사입니다.

    엑스레이로 정확한 소견이 나오지 않는 경우에는 주치의와 상담을 통해서 CT나 MRI와 같은 정밀검사를 통해 현재 골반 부위에 있는 증상에 대한 정확한 소견을 들어보시는 방법을 고려해보시는 것을 추천드립니다.

  • 안녕하세요. 김강록 물리치료사입니다.

    우선 현재로썬 위치상 자궁의 위치로 보여지지만 사진으론 정확히 위치를 파악 할 수 없습니다.

    지금은 골반의 통증을 먼저 우선적으로 치료를 받으면서 경과를 지켜보시고 혹으로 의심되는 부분은 CT 또는 MRI 촬영을 권유드립니다.

    다만 먼저 산부인과에 내원하셔서 엑스레이 사진을 보여주시고 자궁 초음파 또는 다른 검사를 해보시는것도 고려해보시길 바랍니다.

    너무 걱정마시고 검사를 통해 적절한 조치를 받으시길 바랍니다^^