아하
  • 토픽

  • 스파링

  • 잉크

  • 미션


의료상담

검소한영양245

검소한영양245

신경치료 해야하나요? 최대한 빨리 알려주세오

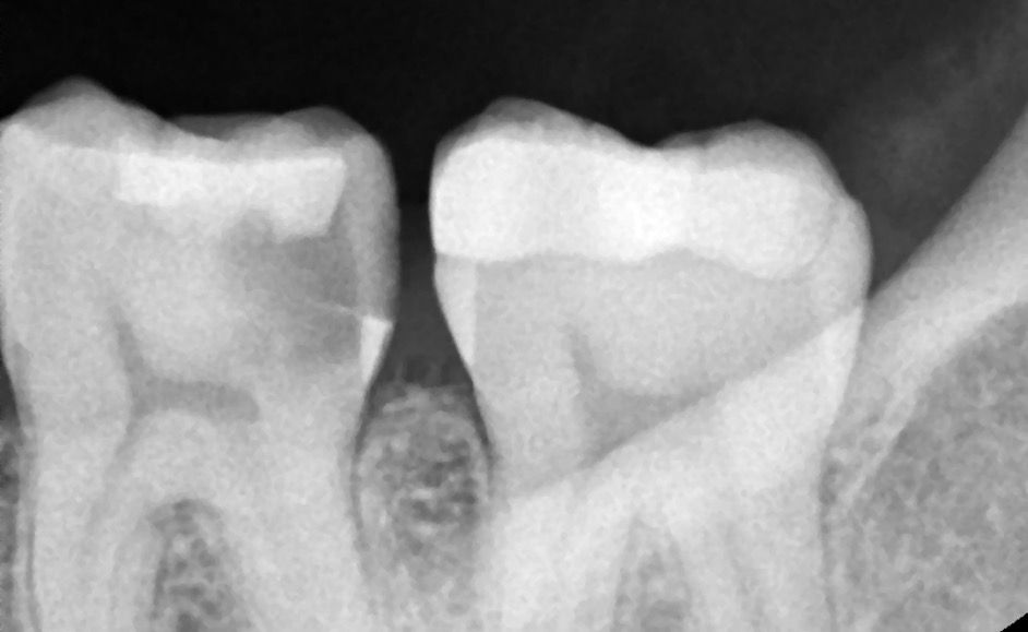
치과에서 신경치료 해야한다는데 이정도면 어떤 상태인건가요??

치과를 두번 방문했는데 한쪽에서는 크게 이야기를 안해줘서요 한쪽은 꼭 신경치료 하라고하는데 뭐가 맞는거조?

  • 1번 째 사진

4개의 답변이 있어요!

  • 김철진 치과의사

    김철진 치과의사

    가까운우리치과

    안녕하세요. 김철진 치과의사입니다.

    사진상에 보이는 치아는 신경치료를 하셔야될것같습니다. 치아 뒷면이 많이 썩어 잇는거 같습니다.

  • 안녕하세요. 김지훈 치과의사입니다.

    신경치료는 해야하는 치아이며 상태가 많이 안좋으니 치료를 바로 시작하시는 게 좋겠습니다.

  • 안녕하세요. 안상우 치과의사입니다.

    사진에는 인접면에 충치가 크게 생긴것으로 보입니다. 이정도의 충치라면 대부분 신경치료를 하게 됩니다

    신경치료를 하게 되면 치아를 씌우는 크라운 치료를 받게 됩니다.

    자세한 확인을 위해서 치과에서 진료를 받아보는 것을 권유드립니다.

  • 안녕하세요. 최석민 치과의사입니다.

    첫번째 큰 어금니 충치 내지는 파절이 치아 속 신경과 근접해보입니다 신경치료가 필요할 것 같습니다.