아핫뉴스실시간 인기검색어
아핫뉴스 화산 이미지
아하

의료상담

정형외과

일단고운금붕어
일단고운금붕어

아킬레스건염 치료 프롤로주사로 가능한가요?

성별
남성
나이대
42
기저질환
고혈압 고지혈증
복용중인 약
혈압약 고지혈증약

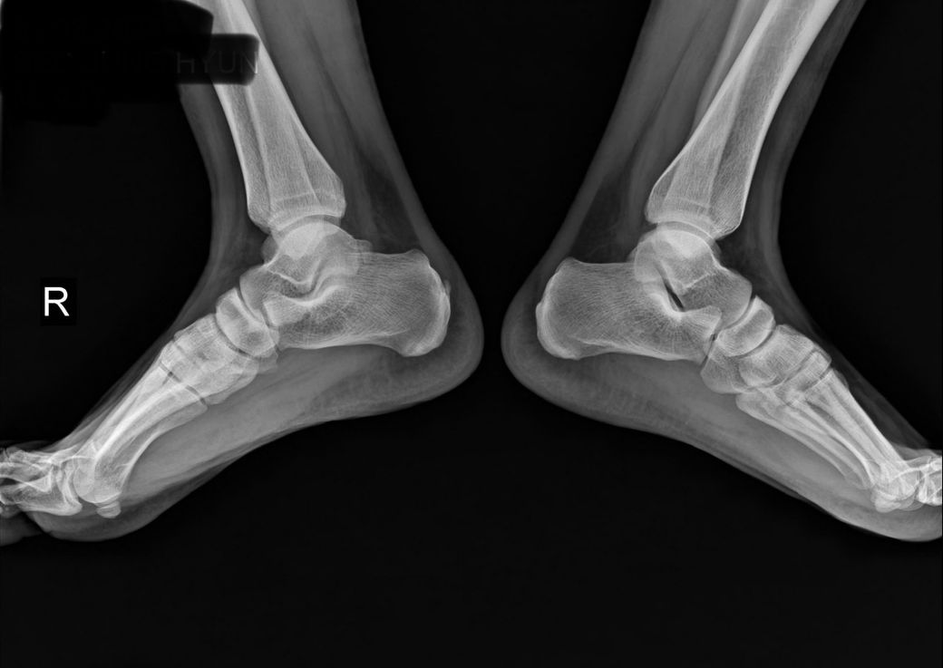
오른쪽 발 아킬레스건염이 계속 재발되서 병원 엑스레이 찍어보니 평발이라 발 뒷꿈치에 석회가 쌓여서 석회땜에 염증이 계속 생긴다고 프롤로주사로 석회를 제거하고 나머지 부분도 치료한다고 하는데 이렇게 치료하는게 효과가 있는지 궁금합니다.

  • 1번 째 사진
4개의 답변이 있어요!
  • 안녕하세요. 김현태 물리치료사입니다.

    프롤로 주사치료를 통해서 직접적으로 석회를 제거하는 것은 아니지만,

    프롤로 주사치료의 원리는 약재를 부상 부위에 주사하여 신체의 회복과 재생 과정을 촉진하는 것에 기반하는데요,

    질문자분의 사례를 보았을 때, 프롤로 주사 치료가 아킬레스건의 회복 및 재생을 촉진하여 석회화 된 부위의 회복과 염증반응을 감소시키는데에 도움이 되겠습니다.

    1명 평가
  • 안녕하세요. 김의균 물리치료사입니다.

    프롤로 주사 같은 경우 직접적인 석회를 제거하는 효과는 없지만 신체의 회복 및 재생 과정의 촉진을 통해 석회를 조금 더 빠르게 흡수 되게 하여 제거 되게 할 수 있습니다.

    빠른 쾌유를 기원합니다.

    감사합니다 수고하세요~

  • 안녕하세요. 김덕현 물리치료사입니다.

    아킬레스건염이라면 약물치료와 주사치료를통해서 호전될수있는데요 주사치료가 부담이된다면 물리치료나 체외충격파치료들도있으니 병원에서 검사를받아보시고 전문의와 상담을받아보시길 바랍니다 감사합니다~!

  • 안녕하세요. 송진영 물리치료사입니다.

    프롤로 주사는 손상된 인대 힘줄 주변 조직을 자극해 회복을 돕는 치료로 ㅇ킬레스건 염에는 통증완화에 도움이 될 수 있습니다 하지만 석회 제거에는 제한적이고 주로 염증 조절이나 조직 강화 목적에 사용됩니다 석회가 주요 원인이라면 체외충격파 치료나 필요시 수술적 제거도 함께 고려하는 것이 좋아요!