아핫뉴스실시간 인기검색어
아핫뉴스 화산 이미지
화산 아이콘 11
안세영 시즌 11승
많이 본
아하

의료상담

치과

일반적으로포근한육개장
일반적으로포근한육개장

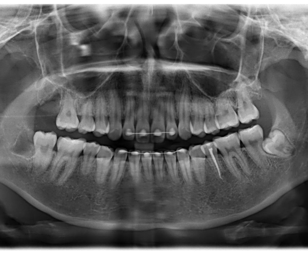
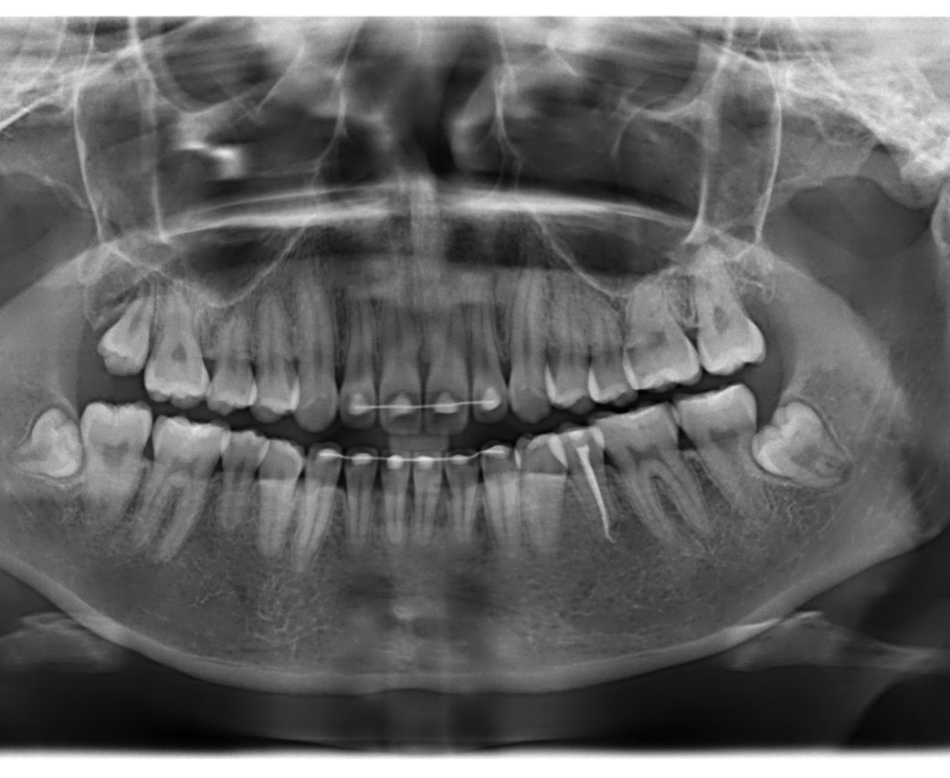
사랑니가 어금니 대체 가능한지 여부.

사진상 왼쪽 위에 어금니가 선천적으로 없습니다. 교정치과에선 사랑니가 잘 나오면 대체해서 쓰라고 하셨습니다. 이번에 사랑니 발치 치과를 가니 염증 유발성이 있어 발치하는게 좋겠다고 뽑으셨고 어금니 임플란트 추천을 해주셨습니다. 제가 엑스레이 보기엔 사랑니가 잘 내려오고 있는 편인거 같은데 의사 전문가 입장에선 어금니 대체가 불가능한 치아 상태였나요? 이미 뽑아버렸지만 제 치아를 사용할 수 있는 기회였는데 아깝기도 하고 궁금해서 여쭤봅니다 (사진 순서는 뽑기 전, 후 입니다) 그리고 꼭 임플란트를 해야 할까요? 씹는 것엔 불편함이 없습니다

  • 1번 째 사진
  • 2번 째 사진
4개의 답변이 있어요!
  • 안녕하세요 치과의사 김철진입니다. 발치한곳 사랑니가 염증이 잇거나 불편하셧다면 발치를 하시는게 맞지만 아무 문제 없엇다면 발치를 안하셧어도 되지 않앗을까 생각되긴합니다.

  • 사랑내가 정상적으로 맹출이 되었다면 자연치아처럼 쓸 수 있습니다. 사진에 보이는 사랑니의 경우엔 치아 풀이가 짧고 교합력을 담당하기에는 약해 보입니다. 통증이나 불편감이 없다면 사용할 수 있지만 사랑니가 약해서 교합력을 지탱해주지 못한다면 발치를 해주는 것이 좋을 수 있습니다. 자세한 확인을 위해서 치과에서 진료를 받아보세요

  • 교정을 동반하여 해당 사랑니 부위를 조금 더 정출시키고 크라운을 했다면 어금니처럼 사용할 수도 있습니다. 다만 현재 사진만으로는 정확히 사랑니의 상태를 판단하기 어렵습니다. 어금니가 앞 뒤 그리고 좌 우로 어떻게 되어 있느냐에 따라서 어금니처럼 사용하지 못할 수도 있습니다.

    아무쪼록 저의 답변이 문제 해결에 작게 나마 도움이 될 수 있기를 기원드립니다. 항상 건강하고, 행복하세요^^

    정진석 치과의사 드림

    1. 사진상 위치와 방향은 괜찮으나 주변 치주인대의 양상이 정상적이진 않습니다

    2. 저 위치는 반드시 임플란트를 심어야 하는 것은 아닙니다 물론 심으면 저작력에 도움이 되긴 합니다