아핫뉴스실시간 인기검색어
아핫뉴스 화산 이미지
화산 아이콘 11
유열 폐이식 회복
아하

의료상담

정형외과

많이칼퇴하는바나나
많이칼퇴하는바나나

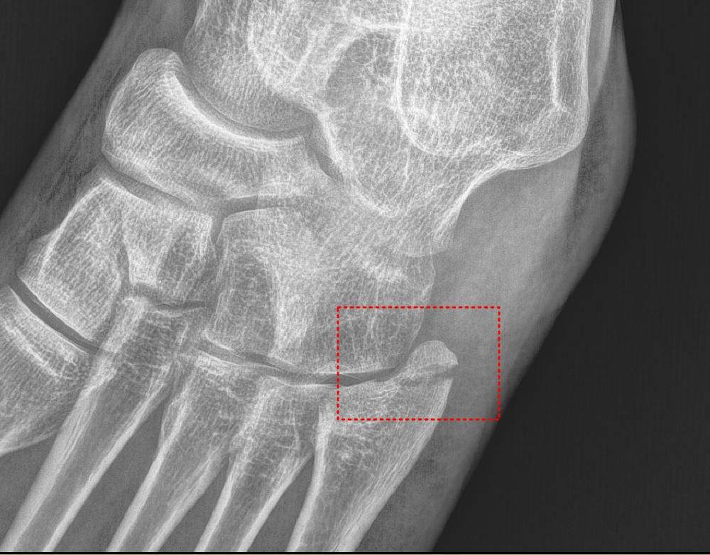
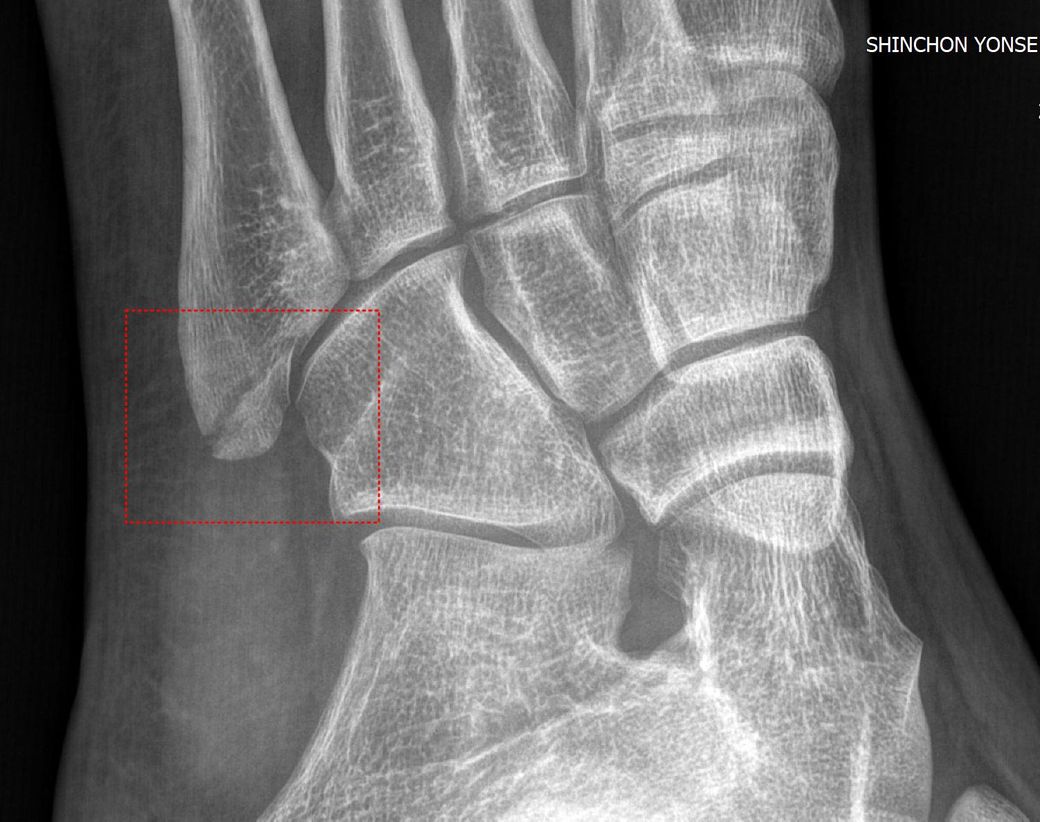
5번 중족골 기저부 골절 수술여부 판단

성별
남성
나이대
29

95년생 남자입니다.

토요일 새벽에 계단에서 삐끗했는데, 첫 병원에서는 수술하자고 하셨지만, 몸에 핀 박는 수술을 하고싶지가 않습니다..

수술 VS 비수술 어떻게 생각하시는지, 다른 의사 선생님 의견 여쭤보고 싶어서 질문드립니다..

  • 1번 째 사진
  • 2번 째 사진
  • 3번 째 사진
4개의 답변이 있어요!
  • 안녕하세요. 김의균 물리치료사입니다.

    5번 중족골 기저부 골절에 따른 수술 여부는 단순 주상골 골절인 같은 인대가 뼈를 잡아당기면서 생기는 골절이나 미세한 골절이면 비수술적 치료도 충분히 가능하나 비체중부 골절이나 분쇄골절 시에는 자연 회복이 어렵기 때문에 수술이 필요할 수 있는 상황입니다.

    사진상으로는 골절 부위가 뼈의 중심에서 다소 떨어져 있으며, 일부 변위도 있는 것으로 보입니다.

    비수술적인 치료도 고려될 수 있지만 아무래도 수술을 하시는게 회복기간 및 예후가 좋을 것으로 생각됩니다.

    빠른 쾌유를 기원합니다.

    감사합니다 수고하세요~

    1명 평가
  • 안녕하세요. 김현태 물리치료사입니다.

    골절부위가 신체말단이고 크기가 작은 뼈의 경우, 유합이 제대로 이뤄지지 않을 수 있어 수술을 권유받으신 것으로 생각합니다.

    수술을 원하지 않으시거나 다른 의견이 필요한 경우 병원을 옮겨 진료를 받아보시거나 주치의와 진료시 보존적 치료를 우선적으로 희망한다고 말씀하시면 가능한 경우 고정을 통해 우선 골유합을 지켜볼 수 있겠습니다.

    1명 평가
  • 안녕하세요. 김덕현 물리치료사입니다.

    사진상으로 많은걸확인할수는없지만 수술을고려하고있다면 최소 3명의 전문의와상담을받아보신다음에 결정하시길 바랍니다 되도록이면 비수술적치료를통해서 치료하는걸 목표로하시고 증상이심하다거나 골절의 정도가 심하다면 어쩔수없이 수술적치료가 필요할수있습니다

    빨리 몸이 호전되시기를 바라겠습니다 감사합니다~!

    1명 평가
  • 안녕하세요. 송진영 물리치료사입니다.

    5번 중족골 기저부 골절의 경우 수술 여부는 골저의 정도와 위치에 따라 다릅니다. 수술이 필요할 수 있지만 비수술적 치료로도 회복이 가능한 경우도 많습니다. 두 번째 의견을 듣는 것은 좋은 선택이고 상태를 정확히 평가받는 것이 중요합니다! 의사와 상담해 최선의 치료 방법을 결정하세요!

    1명 평가