아하
  • 토픽

  • 스파링

  • 잉크

  • 미션


의료상담

헌신하는딩고46

헌신하는딩고46

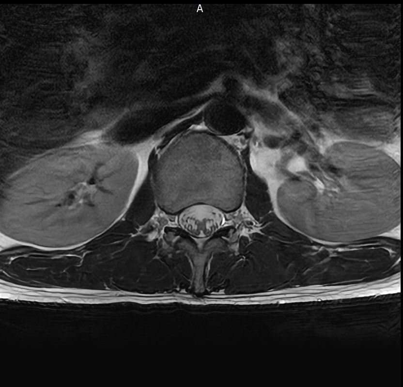
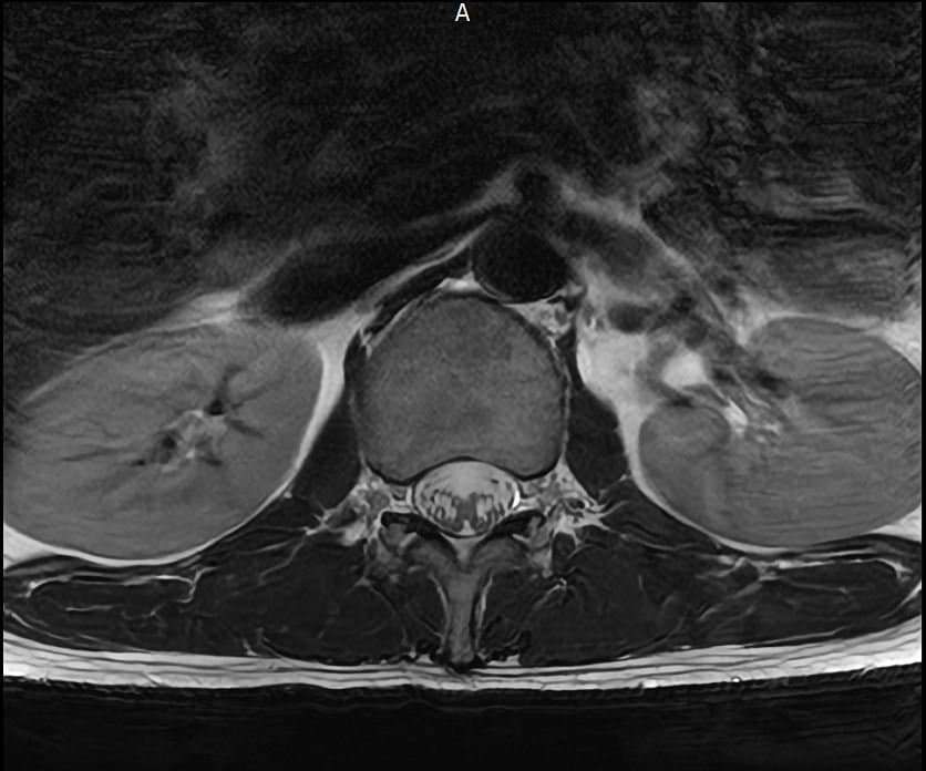
양쪽 엉덩이 염좌 6주째인데 mri 촬영한것좀 봐주세요

성별

남성

나이대

30대

엉덩이 양쪽 염좌가 6주됨

처음보다 많이 좋아짐

방사통 없음 저림 없음 재채기 , 계단타기 전부 정상 , 숙일때 통증 없음

엉덩이 위쪽 바깥쪽 부분이 아픔 압통점 있음

어떤날은 안아프고 어떤날은 약간 아프고 반복

신체 스펙은

177 / 66kg 약간의 퇴행성이 보인다는데 엉덩이 염좌와는 연관 없을꺼라고 하는데

뭐가 맞는건지

  • 1번 째 사진
  • 2번 째 사진
  • 3번 째 사진
  • 4번 째 사진
  • 5번 째 사진

5개의 답변이 있어요!

  • 김의균 물리치료사

    김의균 물리치료사

    논현재활병원

    안녕하세요. 김의균 물리치료사입니다.

    현재 엉덩이 통증이 6주째 회복 중인 염좌 상태이시고 기능적 활동은 정상이며 방사통은 없고 저림도 없으나 압통점이 있는 상태라면 근육이나 인대의 염좌로 인한 회복과정에서 발생하는 통증일 것으로 보이며 나이와 체중을 고려했을때 퇴행성 변화일 가능성은 낮다고 생각합니다.

    빠른 쾌유를 기원합니다.

    감사합니다 수고하세요~

  • 안녕하세요. 신미소 물리치료사입니다.

    영상과 증상을 종합해보면 전체적으로 척추배열은 양호하나, 요추4~5번과 요추5번~천추1번 사이의 디스크 수핵이 약간 검게 변한 퇴행성 변화가 관찰됩니다. 다만 신경을 심하게 압박하는 추간판탈출증 소견은 뚜렷하지 않습니다.현재 방사통이나 저림이 없고 특정부위에만 압통이 있다면 의료진의 소견대로 허리디스크보다는 근육 몇 인대문제일 가능성이 높습니다.말씀하신 부위는 염좌로 인해 예민해진 근막이나 인대가 완전히회복되지 않아 컨디션에 따라 통증이 반복될수 있습니다. 6주째 통증이 반복된다면 단순 휴식보다는 물리치료나 도수치료를 통해 굳어있는 근막을 풀어주는 것이 회복에 도움이 됩니다. 빠른쾌유를 빕니다!

  • 안녕하세요. 송진희 물리치료사입니다.

    말씀한 증상은 "방사통.저림이 없고 압통점만 있는 점"으로 보아 엉덩이 근육이나 힘줄 염좌 가능성이 큽니다.

    엉덩이 바깥 위쪽 통증은 "둔근(엉덩이 근육)이나 점액낭 염증"에서 흔히 나타납니다.

    X-ray에서 보이는 "가벼운 퇴행성 변화는 현재 염좌 통증과 직접 관련 없는 경우"가 많습니다.

    보통 "6~8주 정도 서서히 회복"되며, 스트레칭.온찜질.무리한 운동만 피하는 것이 좋습니다.

    빠른 회복을 바랍니다!!

  • 안녕하세요. 김현태 물리치료사입니다.

    허리에 디스크 퇴행이 있으시다고 하더라도 별다른 신경증싱이나 디크스에 의한 통증을 의심할 수 있는 증상이 발현되는 것이 아니라면, 소견을 들으신 것처럼 큰 연관성이 있을 가능성은 낮을 것으로 생각됩니다.

    필요하시다면 치료는 지속하시고, 수동적인 치료 이외에 엉덩이 근육의 기능을 회복하기 위한 재활도 고려해보시는 것이 좋겠습니다.

  • 안녕하세요.

    회복이 늦어지는 경우 단순한 근육 문제를 넘어 인대나 힘줄의 미세한 손상이 동반되었을 가능성이 있습니다.

    MRI 영상상 관절 주변 조직의 부종이나 구체적인 염증 부위를 세밀하게 확인하는 과정이 꼭 필요해 보입니다.

    불편함이 오래가고 있으니 당분간은 무리한 활동을 피하고 따뜻한 찜질과 함께 전문적인 처방을 병행해 보세요.

    적절한 치료를 꾸준히 받으시면 충분히 좋아지실 수 있으니 너무 걱정하지 마시고 힘내시길 바랍니다.

    감사합니다.