아핫뉴스실시간 인기검색어
아핫뉴스 화산 이미지
화산 아이콘 11
국회법 개정안 통과
아하

의료상담

정형외과

심각한게4
심각한게4

두개골 수술 또는 골절 의심되는 상황인데 엑스레이와 ct사진을 한번 봐주실 수 있나요?

성별
남성
나이대
23
기저질환
기립성 저혈압
복용중인 약
항불안, 항우울

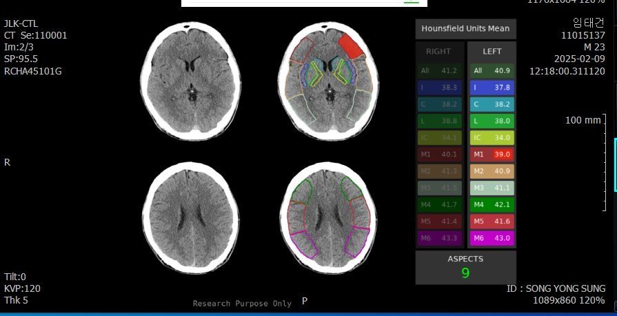
2~3일 정도 기억이 없었는데 그때 머리를 다쳤는지 바로 x-ray와 ct를 찍어봤는데 한번 봐주실 수 있을까요? 진단 목적이 아닌 확인 목적입니다

빨갛게 동그라미 친 곳은 금속물질이 의심도는 부근입니다

  • 1번 째 사진
  • 2번 째 사진
  • 3번 째 사진
  • 4번 째 사진
  • 5번 째 사진
  • 6번 째 사진
  • 7번 째 사진
  • 8번 째 사진
  • 9번 째 사진
  • 10번 째 사진
  • 11번 째 사진
  • 12번 째 사진
  • 13번 째 사진
4개의 답변이 있어요!
  • 안녕하세요. 김의균 물리치료사입니다.

    사진상으로는 정확한 상태를 알 수 없지만 머리쪽으로 강한 충격을 받으셨다면 일주일 정도는 몸상태를 잘 체크 해보시는게 좋을 것으로 생각되며 혹시 어지러움이나 구토 구역질 기억상실 및 기타 이상 증상이 나타나신다면 가까운 병원에 방문하시어 상태 체크 받아보시고 상태에 맞는 치료 및 처치등을 받아보시는게 좋을 것으로 생각됩니다.

    빠른 쾌유를 기원합니다.

    감사합니다 수고하세요~

  • 안녕하세요. 송진영 물리치료사입니다.

    xray와 ct결과에 대한 해석은 반드시 전문의에게 문의하여 확인하시기 바랍니다 전문가가 정확한 진단과 적절한 조치를 안내해 줄 것입니다 건강이 걱정되는 부분이 있다면 조속히 상담을 받는 것이 중요합니다!

    긴 글 읽어주셔서 감사합니다:)

  • 안녕하세요. 김덕현 물리치료사입니다.

    사진상으로 많은걸확인할수는없지만 머리쪽으로 강한충격을받았다면 일주일정도는 몸상태를 제대로 체크해보는것이 좋습니다 불편감이생긴다거나 어지러움증, 코피, 두통등의 증상이나타난다면 즉시 병원에내원해 치료를받는것이 필요합니다

    우리의 머리안에는 몸에서 가장중요한 장기인 뇌가들어있기때문에 강한 충격을받았다면 따로 검사를받아보는것이 좋습니다

    자세한건 병원에서 전문의와상담을받아보시길 바랍니다 감사합니다~

  • 안녕하세요. 김현태 물리치료사입니다.

    질문자분께서 올려주신 사진을 참고하였을 때에는 크게 이상은 없는 것으로 생각되는데요, 타박상이 발생하신 것이라면 주변 연부조직에 염증반응이 있을 수 있습니다. 주치의에게 정확한 소견을 들어보시고, 알맞는 치료나 휴식을 취하시는 것을 추천드립니다.