아하
  • 토픽

  • 스파링

  • 잉크

  • 미션


의료상담

대찬사마귀68

대찬사마귀68

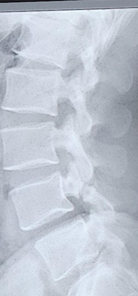
제 척추인데 저 주짓수나 운동 계속 해도 안전할지 봐주세요...

성별

남성

나이대

20대

기저질환

고지혈증

주짓수 두달만 더 하고 싶은데 너무 위험할까요..?

병 이름이 뭔가요?

저 주짓수나 헬스 계속 했다가 나중에 진짜 회복이

안될정도로 큰 후유증 남을 수 있나요?

저희 할머니도 허리가 안좋으신데..

후유증이나 큰 부상 걱정없이 주짓수 헬스 계속할 방법이 없을까요?척추분리증 호전되면 다시 후유증 생길 걱정없이 주짓수 할 수 있나요?

  • 1번 째 사진

5개의 답변이 있어요!

  • 송진영 물리치료사

    송진영 물리치료사

    보건복지부

    안녕하세요. 송진영 물리치료사입니다.

    척추분리증이 있다면 무리한 충격이나 허리비트는 동작은 악화 위험이 있습니다. 주짓수는 허리에 부담이 커서 통증이 있거나 분리 부위에 불안정이 있으면 중단하는 것이 좋습니다.

    증상이 없고 근육 강화로 안정성이 확보된다면 추후 재개 가능성은 있습니다 당장은 전문의 상담 후 상태에 맞는 운동으로 대체하고 회복 후에도 허리 중심의 웨이트나 고강도 운동은 피하는 방향이 안전합니다!

  • 안녕하세요. 김덕현 물리치료사입니다.

    해당사진으로는 어떤 큰문제있는지 파악하기어려운데요 주짓수와같은 고강도의운동을할경우 평소 스트레칭과 코어운동을통해서 유연성과 몸의 안정성을키우는것이 중요합니다~

    운동전후에 꾸준한 스트레칭과 웜업운동을하는걸 추천하고 만약 허리통증이있다면 운동을 중단하고 휴식을취하며 병원에서 치료받는걸 추천합니다 감사합니다~!

  • 요추부 측면 엑스레이 사진 한 장을 놓고 구체적으로 어떻다 이야기를 할 수 없으며, 주짓수 등 운동을 더 하여도 될지 적합성에 대해선 판단을 내릴 근거가 되지 못합니다. 일단 사진만 놓고 본다면 크게 문제가 될만한 소견이 있어 보이는 엑스레이 사진으로 보이지는 않습니다.

  • 안녕하세요. 김강록 물리치료사입니다.

    우선 현재로썬 허리의 통증, 다리 저림, 다리 힘 빠짐 등 이상증상만 없다면 주짓수 운동을 하셔도 괜찮겠지만 혹시나 통증이 있다면 중단하시길 권유드립니다.

    혹시 척추분리증을 진단 받으신걸까요?

    정확한 판독은 담당의에 소견이 중요하고 필요에 따라 적절한 치료를 받아보시길 추천드립니다.

    허리의 만곡은 약간 후만이있지만 심하지는않고, 디스크의 공간도 찝히는 부분은 그리 보이지는 않지만 전체적인 사진이 아닌 일부분으로만 보여지기에 다소 차이가 있을 순 있습니다.

    또한 주짓수는 척추에 무리가 갈 수 있으니 무리가 간다면 참지말고 즉시 중단 후 상태에 따라 병원 치료도 고려해보시길 바랍니다.

    지금으로썬 정확한 증상을 파악하기 어렵기에 전문적인 답변을 드리긴 어렵지만 무리되지않게 가볍게 운동하시면서 경과를 지켜보시길 바랍니다^^

  • 안녕하세요. 김현태 물리치료사입니다.

    단적인 사진으로는 현재 발생하신 문제에 대한 원인을 말씀드리기 어려울 수 있는데요,

    척추 주변에 변화가 있지만 운동시에 별다른 문제나 일상생활에서 큰 문제가 없다면 운동을 지속하셔도 문제는 크게 없을 수 있습니다.

    주치의와도 이점에대해 상담을 꼭 해보시고, 운동의 지속여부에 대해 소견을 들어보시는 것이 가장 정확합니다.