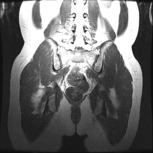
강직성척추염 의심(xray 및 mri 첨부)
원래 앓던 허리디스크 방사통 및 흉추 당김 증상, 기립근 근육통증이 심해 정형외과를 방문하였습니다.
인터넷 검색 후 강직성척추염을 알게 되어 말씀 드렸더니 스트레칭??을 해보시고 아닌 것 같은데 걱정이 된다고 하니 x-ray 및 mri를 찍어보자고 하셨습니다. (유전자검사는 채혈 후 대기 중)
염증수치(crp 등)는 정상이었고..
xray 및 mri상에도 의심소견이 없다고 하셨는데
도수치료 후 원래 한쪽만 있던 방사통(엉덩이, 열감 포함)이 양쪽으로 다 번지고 뒤꿈치도 좀 아픈 거 같아서요...
사진으로 염증이 있는지 확인 부탁드립니다.
증상은 밤에 엉덩이부터 발까지 양쪽 방사통이 있고..
아침에 아픈 것을 느끼진 못하기는 했습니다..
흉추 당김은 병원 방문 전보다 아주 조금 괜찮아지긴 했습니다.
자녀계획 중이라 마음이 착잡하네요..
부탁드립니다.
안녕하세요. 김덕현 물리치료사입니다.
강직성척추염과같은 염증성질환의경우 엑스레이로만은 확인하기가 어려운데요 다른 인자검사라던가 정확한 진단을위한 MRI검사등이 필요할수있습니다
좀더 자세한건 종합병원이나 대학병원으로 방문해 진료를받아보시길 바랍니다
꾸준한 약물치료와 운동, 스트레칭을통해서 관리한다면 완치는어렵지만 증상을 최소한으로 줄이고 생활할수있습니다
감사합니다!
안녕하세요. 송진영 물리치료사입니다.
엑스레이 및 mri에 강직성 처구염 의심 소견이 없고 여증 수치도 정상이라면 현재 염증성 척추 질환 가능성은 낮습니다.
양쪽 방사통과 뒤꿈치 통증은 신경 압박이나 근육 건염 등 다른 원인일 수 있으니 꾸준한 관절과 근육 관리가 필요합니다. 밤에 통증이 심해지면 신경 자극이나 혈액순환 문제를 고려해 스트레칭과 적절한 휴식이 도움이 됩니다. 자녀 계획시 통증과 염증 관리를 위해 생활 습관 개선과 정기적인 상태 점검이 중요합니다!
안녕하세요. 김강록 물리치료사입니다.
우선 현재로썬 영상 소견으론 강직성 척추염의 가능성이 없다고 판단이 되었기에 유전자 검사를 기다려보시길 바랍니다.
또한 도수치료 후 새로운 통증들은 일시적인 증상일 수 있기에 너무 걱정마시고 처방 받은 약을 복용 후 경과를 지켜보고 다음 내원시 도수 담당 선생님께 지금과 같은 증상을 꼭 내용 전달해주시길 바랍니다.
현재로썬 자녀 계획도 있으셔서 걱정되는 마음도 있겠지만 지금 가장 중요한것은 정확한 감별 진단입니다.
만약 현병원에 대한 검사 내용의 불안감이 있다면 해당 영상을 CD로 복사하서서 다른 병원에 내원하셔서 영상 판독 후 검사를 통해 다른 전문의에 진단을 받아보시길 바랍니다.
꾸준한 치료와 관리를 통해 건강히 회복되셨으면 좋겠습니다^^
안녕하세요. 김현태 물리치료사입니다.
올려주신 엑스레이나 MRI를 참고할 때, 또는 진료시 스트레칭을 통한 허리 및 천장관절의 유연선 평가와 개인에 따라 다르지만 대표적인 강직성 척추염의 증상이 크게 없는 것으로 보아 발생 가능성이 낮을 수 있습니다.
치료 이후 물리적 자극으로 인해 신체의 히스타민 반응이 증가하여 일시적으로 증상이 심해질 수 있지만, 이것이 반드시 강직성 척추염에 의한 것은 아닙니다.
강직성 척추염은 주로 허리의 움직임 제한 및 영상검사에서 관절염에 해당하는 소견과, 혈액검사등에서 염증수치가 증가되어있는 경우가 많지만 이에 해당하지 않는다면 가능성은 낮다고 볼 수 있습니다.

