아핫뉴스실시간 인기검색어
아핫뉴스 화산 이미지
화산 아이콘 11
서울버스 파업
아하

의료상담

정형외과

확실히담대한참새
확실히담대한참새

어깨 골수부종인가요 질문합니다 부탁드려요

성별
남성
나이대
20대

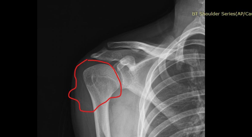
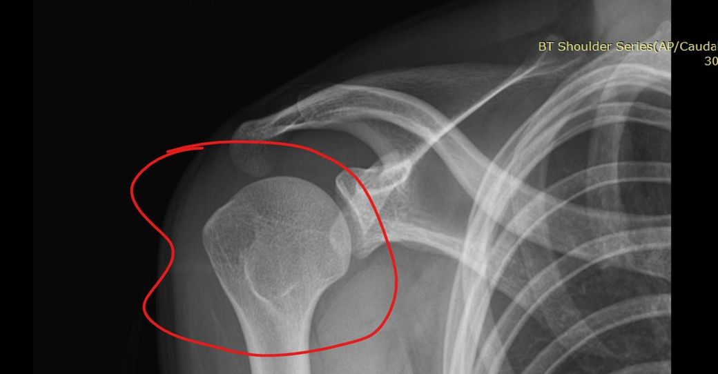
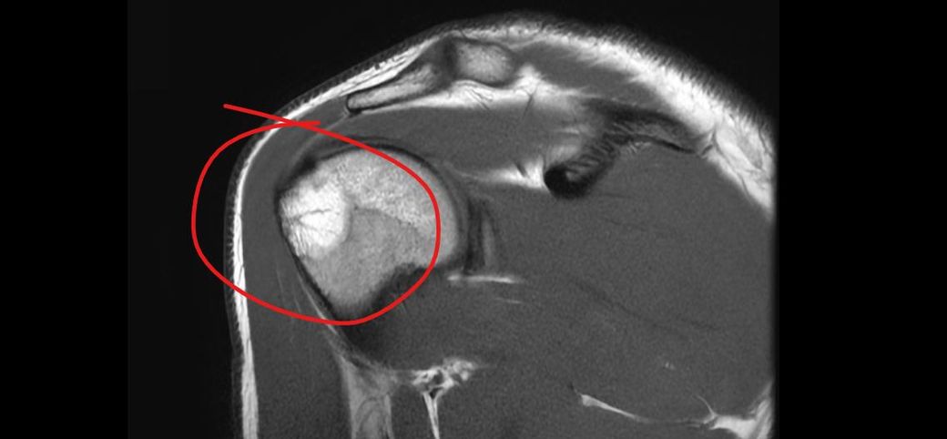
어깨 골수부종인가요 ? 뼈멍인가요 미세골절인가요 사고나고 뼈에 심하게 멍들었다고 했긴했습니다 전 잘모르겠어서 질문 해봅니다

  • 1번 째 사진
  • 2번 째 사진
  • 3번 째 사진
  • 4번 째 사진
  • 5번 째 사진
3개의 답변이 있어요!
  • 안녕하세요. 송진희 물리치료사입니다.

    사진만으로 단정은 어렵지만, 표시된 소견은 보통 “골수부종(=뼈멍)”에 가장 가깝습니다.

    골수부종은 “강한 충격 후 뼈 안에 물이 찬 상태“로, 미세골절과 영상상 겹쳐 보일 수 있습니다.

    “미세골절”은 골수부종보다 통증이 오래.강하고 체중부하/사용 시 악화되는 경우가 많습니다.

    치료는 대부분 “안정.사용.제한.소염치료”이며, 정확한 판정은 판독지와 진찰이 필요합니다.

    답변이 도움 되시기를 바랍니다. 감사합니다~^^

    1명 평가
  • 안녕하세요. 김강록 물리치료사입니다.

    우선 현재로썬 해당 사진만으론 판단을 하기 어렵습니다.

    가장 정확한건 mri 촬영한 병원에 문의하셔서 판독지 수령 및 전문의에 판독 소견을 들어보시길 추천드립니다.

    또한 미세골절시엔 mri로는 제한 될 수 있기에 초음파 또는 ct 검사를 추가적으로 확인해보시길 바랍니다^^

    1명 평가
  • 안녕하세요. 김현태 물리치료사입니다.

    뼈 내부에 멍처럼 부종이 발생한 골수부종으로 생각되는데요, 자세한 소견은 MRI를 촬영하신 이후 받으신 판독지나 진단서와 같은 서류 혹은 주치의에게 확인을 해보시는 것이 정확하겠습니다.

    1명 평가