아핫뉴스실시간 인기검색어
아핫뉴스 화산 이미지
화산 아이콘 11
美 이란 공격 시사 비트코인 하락
많이 본
아하

의료상담

정형외과

매우고운물개
매우고운물개

허리디스크 mri 경미한 돌출도 흡수될수있을까요ㅠㅠ

성별
여성
나이대
30대

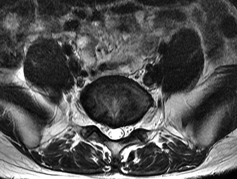
요추 mri 5ㅡ1 디스크입니다.

경미한 돌출도 흡수되어 모양이 변화할수 있을까요ㅠㅠ

사례를 찾아봐도 경미한 경우는 안나와서요

답변 부탁드립니다.

  • 1번 째 사진
  • 2번 째 사진
8개의 답변이 있어요!
  • 안녕하세요. 김의균 물리치료사입니다.

    허리디스크의 경미한 돌출은 비교적 예후가 좋으며 돌출된 디스크 같은 경우 면역세포가 디스크 조각을 분해 흡수하기도 합니다. 흡수의 도움이 되기 위해서는 허리의 안정화 운동을 통해 코어근육을 잘 키워주시고 바른 자세 유지 및 체중 관리그리고 금연 등을 통해 혈액순환의 개선 등을 해보시면 좋을 것으로 생각됩니다.

    빠른 쾌유를 기원합니다.

    감사합니다 수고하세요~

  • 안녕하세요. 채홍석 가정의학과 전문의입니다.

    업로드해주신 증상의 설명과 자료는 잘 보았습니다.

    일단 현재 증상(디스크 증상)이 없다면 신경쓰지 않으셔도 됩니다.

    그리고 허리를 굽히지 않고 바른 자세를 유지하시면 속도가 느리기는 하지만

    디스크가 정상적으로 위치할 것입니다.

    너무 걱정하지 않으셔도 됩니다.

  • 안녕하세요. 박인국 물리치료사입니다.

    디스크 돌출 때문에 걱정하시는 내용에 대해 답변 드리겠습니다

    경미하게 돌출된 디스크는 자연적으로 흡수되어 원래 상태로 돌아갈 수 있습니다.

    디스크는 섬유질과 수분으로 되어 있는데

    허리를 잡아주는 인대나 근육이 약해질 때 디스크가 방석역할을 하여

    척추와 척추사이가 좁아지지 않도록 하는 기능을 합니다.

    경미한 돌출은 꾸준한 관리와 적절한 운동만으로 호전되는 경우가 많습니다.

    혹시 MRI 찍으신 후 판독지에 대한 것 물어보셨나요??

    MRI에 대한 이러한 판독을 해서 결과를 알 수 있습니다.

    현재 허리 상태와 위험성에 대해서 알 수 있기 때문에

    현재 어떤 상태인지 검사한 병원에 문의 하시면

    본인 상태에 맞는 운동방법과 생활 습관 교정 방향에 대해 더 정확하게

    말씀을 해주실 겁니다.

    현재 허리 통증이 심하지 않으시다면 직업에 따라 건강하게 허리를 만들 수 있는 방법들이 조금씩 달라질 수 있으니

    MRI와는 다르게 현재 통증과 상태를 전문가와 상담 후 운동방향이나 치료 방향을 잡으시는 것이 좋겠습니다.

  • 안녕하세요. 이동진 물리치료사입니다.

    허리디스크로 불편이 있으시군요.

    경미한 돌출의 경우 비수술적치료와 올바른 자세 유지, 스트레칭 운동 등으로 회복이 가능하실 것입니다.

    빠른 쾌유하시길 바라며 답변이 도움이 되었으면 좋겠습니다.

  • 안녕하세요. 송진영 물리치료사입니다.

    허리의 경미한 돌출은 시간이 지나면서 체내 면역 작용으로 일부 흡수되거나 크기가 줄어들 수 있습니다.

    특히 섬유륜 밖으로 많이 나오지 않은 경우라면 자연 치유보다는 돌출된 상태에서 안정화되는 경우가 많습니다.

    규칙적인 운동과 허리 근육 강화, 생활습관 교정으로 증상을 줄이고 진행을 막는 것이 중요합니다. 즉 완전히 사라진다기 보다 증상이 호전되고 생활에 지장 없는 상태로 관리되는 경우가 많아요!

  • 안녕하세요. 김덕현 물리치료사입니다.

    사진상으로 많은걸확인할수는없지만 MRI상에 문제가있다고해 무조건적으로 치료를받아야하는건아닌데요 환자의상태에따라 필요한 치료는달라질수있고 디스크의 경미한 돌출의경우 평소 스트레칭과 운동을통해서 잘관리한다면 더 심해지지않고 생활할수있을겁니다

    좀더 자세한건 병원에서 전문의와 상담을받아보시길 바랍니다 감사합니다~!

  • 안녕하세요. 김현태 물리치료사입니다.

    경미한 돌출의 경우 그 정도가 미미하다면 시간이 경과하며 디스크 일부가 몸으로 재흡수 되거나 수분이 감소하며 크기가 줄어들 가능성이 존재합니다.

    다만, 원상태로 회복이 된다고 보기는 어렵고, 미미하게 발생한 손상으로 발생된 부위가 재흡수 또는 수분감소로 인해 변회하는 것일 수 있습니다.

    정확한 소견은 관련 진료과목의 전문의에게 진료를 받아보시는 것을 추천드립니다.

  • 안녕하세요. 김강록 물리치료사입니다.

    보통 경미한 상태의 디스크라면 흡수가 되어 정상적으로 돌아올 수 있습니다.

    다만 통증 및 신경학적 문제(저림, 힘 빠짐 등)가 없다면 적절한 보존적인 치료와 관리를 통해 충분히 건강히 회복 될 수 있습니다.

    가장 정확한것은 mri 촬영한 병원에 내원하셔서 전문의와 상담을 통해 질문자님의 현재 상태에 대한 설명을 들어보시길 추천드립니다.