강아지 안락사 냉정한 답변을 듣고 싶습니다...

반려동물 종류

강아지

품종

믹스

성별

암컷

나이 (개월)

15세

몸무게 (kg)

3

중성화 수술

1회

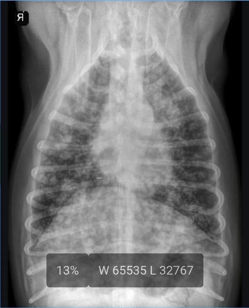
첨부한 사진은 제 강아지 사진은 아닙니다.

다만 제 강아지의 폐 흰색 영역이 저것보다 좀 더 많아 보였습니다.

부신 수질종양의 전이로 인한 폐 결절이 있던 강아지였습니다.

작년 11월 2차 병원 주치의 선생님은 폐 공간을 보며 3개월 정도 남은 것 같다고 하셨고, 더이상의 검진은 의미가 없을 거 같다고 하셨습니다.

지난 토요일 호흡 수가 40 이상이 되어 1차 병원을 찾아 네뷸라이저를 받았습니다.

지난 일요일 호흡 수가 계속 빠른 느낌이 들었습니다. 응급으로 병원을 방문했습니다.

휴식 호흡 분당 60이상의 호흡수가 지속되었고 100이 넘을때도 있었습니다., 혈압은 190이었습니다. 병원에서는 산소포화도가 80대라서,

산소 방에 산소 줄 1개로는 부족하여, 2개를 연결하여 산소 포화도 95%를 맞출 수 있었다고 합니다. 안잡혔다면 콧줄을 연결하셨을 거라고 하셨습니다.

보호자의 선택이 가장 중요한 것은 저도 알고 있습니다. 의사 선생님께서는 입원하며 하루 이틀 조금 더 지켜보며 호흡이 하루 이틀 전 수준으로 안정될 것을 기대해볼지, 아니면 안락사를 할지 결정해야 할 거 같다고 하셨습니다. 물론 진행되는 종양이기에 호전될 수는 없다고 했습니다. 가정에 산소방을 대여하여 해주는 것도 물어봤지만, 힘들다고 하셨습니다. 다른 곳이 아픈 강아지였다면 호스피스를 하며 자연사를 기대했겠지만, 호흡이 힘든 것은 마지막까지 힘들 수 있다고 하셨습니다.

제 강아지는 떠나기 직전까지 잘 먹고, 잘 걷고, 잘 싸고, 꼬리도 잘 흔들어 줬습니다.

제가 더 살려는 의지가 있는 아이에게 안락사 결정을 내린 거 같습니다.

머리로는 알지만, 마음으로는 따라가지 못하고 있습니다.

이곳의 선생님들은 얼굴도 모르고 처음 보는 선생님이기에 위로가 아닌 냉정한 답변을 주실 수 있을 거 같아서 물어보고 싶습니다.

100점이 고통의 최대치라고 할 때, 제 아이의 고통은 어느정도 수준이었을까요. 제가 아이의 의지와 달리 너무 빠른 선택을 한 것은 아닐까요? 하루 이틀정도 더 두고 보는 것이 좋은 선택이었을까요.

1개의 답변이 있어요!

  • 폐 결절 전이로 산소 포화도가 80퍼센트까지 떨어진 상태라면 강아지가 느꼈을 고통은 100점 만점에 90점 이상의 한계치에 해당하며 이는 물속에서 숨을 쉬지 못해 질식하는 공포와 동일합니다. 주치의가 호스피스나 가정 산소방 처치조차 불가능하다고 판단한 것은 단순히 생명을 연장하는 행위가 끔찍한 고통의 시간을 연장하는 것과 다름없기 때문입니다. 잘 먹고 꼬리를 흔드는 행위는 생존 본능에 의한 일시적인 반응일 뿐 폐의 물리적 파괴로 인한 호흡 곤란을 해결할 수 없으므로 하루 이틀 시간을 더 끄는 것은 의미 없는 고통의 가중이었을 확률이 매우 높습니다. 따라서 안락사 결정은 아이의 생존 의지를 꺾은 것이 아니라 신체적 기능이 정지하여 발생하는 불가피한 질식사를 방지하고 극심한 고통을 끊어준 이성적인 판단입니다.