의료상담

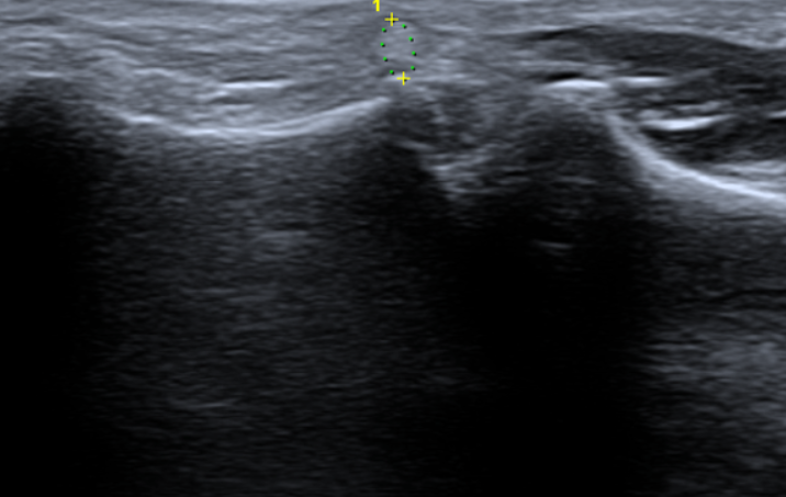
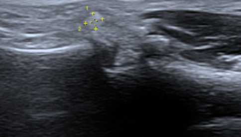
손가락에 혹 같은게 생겼는데 초음파 사진 좀 봐주세요

성별

여성

나이대

26

엄지손가락이랑 손바닥 이어지는 사이에 혹같은게 생겼습니다 크기는 크지않은데 움직일때 아프도라고요 1차병원에서는 상급병원으로 가라고 해서 3차 병원 성형외과 수부쪽으로 다녀왔는데 크기로는 결절종인것같다고 근데 초음파를 정확하게 찍어봐야안다 자긴 잘 모른다면서(판독지 없었음) 초음파를 한번 더 찍으라네요 결절종이면 3차 아니어도 1차나 2차병원에서 일단은 주사로도 해결 가능한 부분이니 다시 2차병원으로 갈 예정인데 보기엔 어때보이시나요?

  • 1번 째 사진
  • 2번 째 사진

4개의 답변이 있어요!

  • 안녕하세요. 김현태 물리치료사입니다.

    정확한 소견에 대해서는 영상의학과 전문의 혹은 정형외과 전문의와 같은 관련 진료과목의 전문의 소견을 대면 진료를 통해 듣는 것을 추천드립니다.

  • 안녕하세요. 김덕현 물리치료사입니다.

    손쪽으로 생긴혹은 지방종이나 결절종일가능성이있는데요 보통은 자연스럽게 호전되거나 괜찮을수있지만 통증이나 불편감이생긴다거나 혹이 점점더커진다면 병원에서 추가적인 검사와 치료를받는것이 도움이될수있습니다

    가까운 정형외과로 방문해 전문의와 상담을받아보시고 적절한치료를받아보시길 바랍니다 감사합니다~

  • 안녕하세요. 송진영 물리치료사입니다.

    엄지손가락과 손바닥 사이에 생긴 혹은 결절종일 가능성이 있습니다 결절종은 일반적으로 양성이지만 통증이 동반된다면 치료가 필요할 수 있습니다. 1차 병원에서 상급병원으로의 전환은 적절한 조치이며 초음파 검사를 통해 정확한 진단을 받는 것이 중요합니다 2차 병원에서 주사 치료를 고려하는 것도 좋은 방법이니 전문의와 상담하여 최선의 치료 방법을 결정하는 것이 좋습니다!

  • 안녕하세요. 최우영 물리치료사입니다.

    손목과 손가락에 결절종(물혹)이 많은 사람으로서 보았을 땐, 결절종일 확률이 높아 주사로 뽑으면 젤리같은게 나올겁니다.

    손목과 엄지손가락부터 손바닥까지 결절종(물혹)이 많이 생기기 때문에, 주사로 뽑고 난 후 지켜보시면 될것같습니다.

    너무 걱정안하셔도 될것같습니다^^.