아하
  • 토픽

  • 스파링

  • 잉크

  • 미션


의료상담

색다른긴꼬리30

색다른긴꼬리30

25.06.27

질문 내용과 같이 골절 추정시기 궁금합니다

성별

남성

나이대

00

무더운 날 노고가 많으십니다.

다름이 아니라, 첨부드린 엑스레이(X-ray) 사진처럼 골절 사실을 알게 되고 골절 발생 시점 대략적으로나마 추정시기를 파악하려고 문의 드리게 되었습니다

진료받았던 병원이나 타 병원이 '내가 신도 아닌데 어떻게 아냐'며 협조가 안되고 추정시기도 주장도 달라 너무 답답한 심정에 이 경로로 문의드립니다

1) 3월 30일 촬영한 X-ray만으로 정확한 골절 시기를 100% 특정하는 데에는 한계가 있다는 점 충분히 인지하고 있기에 촬영날짜 기준으로 대략적으로 어느정도 시점에서 발생되었을 것으로 추측(ex 당일, 7~10일전, 7~14일 전, 10일 ~ 20일전, 14일 ~ 30일전 등등등)되는지 이해하고 싶습니다.

100% 정확한 날짜를 지정하기를 요청드리는 것이 아니오라, 대략적인 정보를 원합니다 감사합니다~~

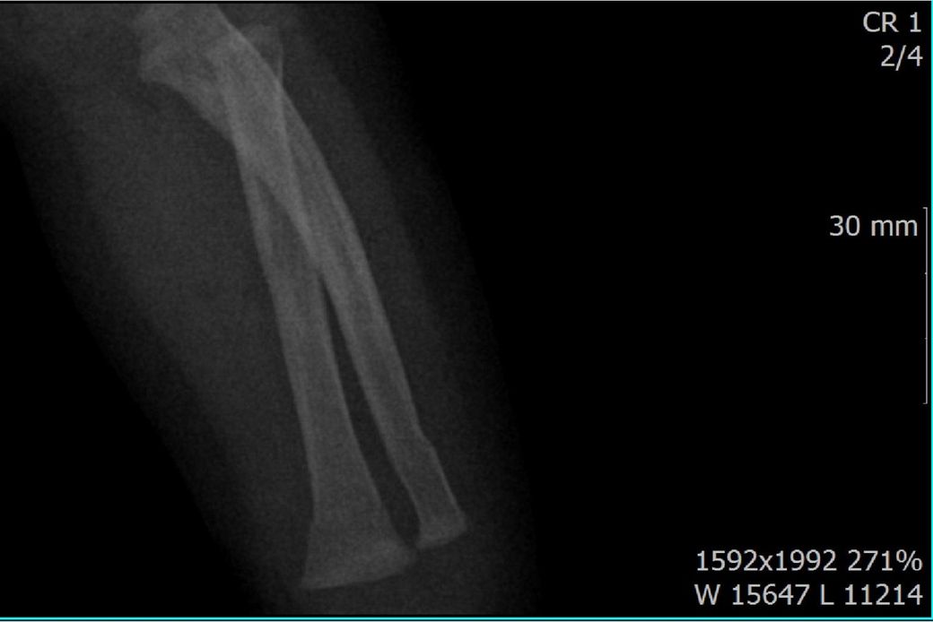
  • 1번 째 사진
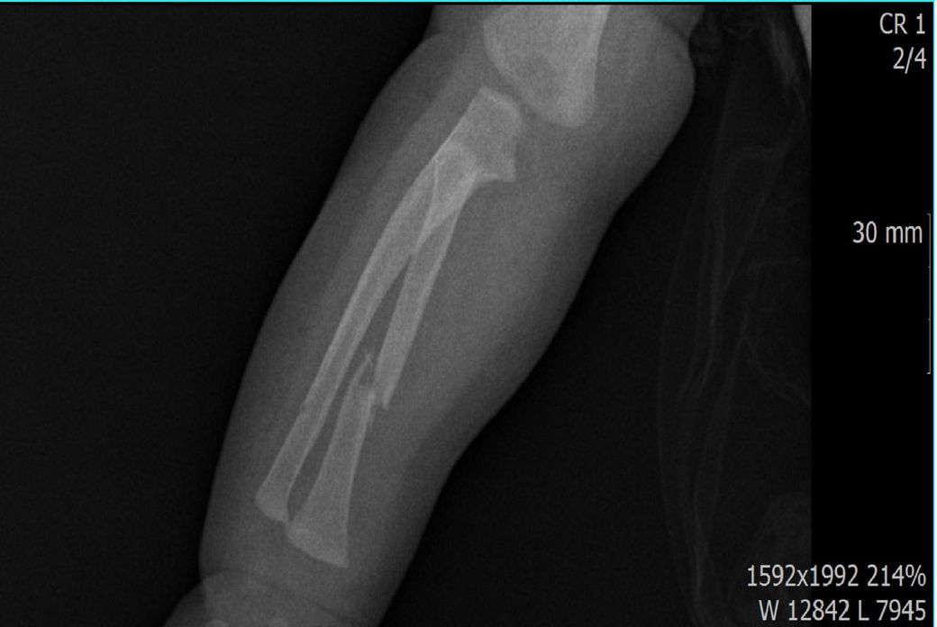
  • 2번 째 사진
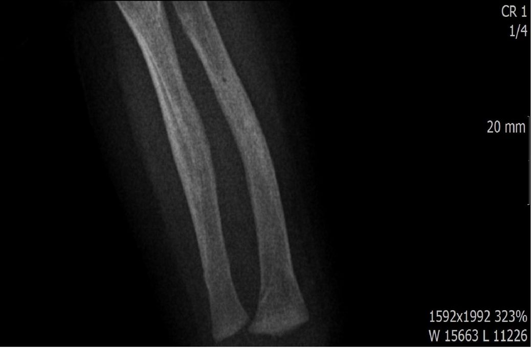
  • 3번 째 사진
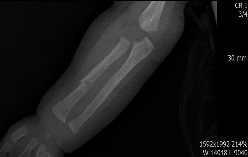
  • 4번 째 사진

3개의 답변이 있어요!

  • 송진영 물리치료사

    송진영 물리치료사

    보건복지부

    25.06.28

    안녕하세요. 송진영 물리치료사입니다.

    엑스레이 만으로 골절 발생 시기를 정확히 특정하긴 어렵지만 뼈의 염증 반응, 골막 반응, 골흡수 신생 정도를 통해 대략 추정은 가능합니다. 보통 급성 골절은 1~7일 이내, 골절선이 희미해지고 골막 반응이 보이면 10~20일 전후 뼈 융합이 일부 보이면 3~4주 이상 경과로 추정할 수 있습니다. 3월 30일 촬영 기준, 골절선의 형태와 신생골 유무에 따라 7~21일 내외의 외상으로 판단되는 경우가 많아요!

  • 안녕하세요. 김현태 물리치료사입니다.

    골절의 정확한 시기를 예측하기는 어려움이 있으나, 뼈의 골절선이 뚜렷하게 관찰된다면 0~7일 이내의 가능성이 있고 흐린 가골이 관찰되거나 골막의 일부 반응이 관찰된다면 7~14일 이내, 가골이 형성중인것이 관찰된다면 2-3주 이상의 골절시기를 대략적으로 유추해볼 수 있습니다.

    그러나 정확한 시점은 환자의 증상이나 검사시기 및 영상의 세부소견을 참고해야 하기 때문에, 전문의의 판독이 필요할 수 있습니다.

  • 안녕하세요. 김강록 물리치료사입니다.

    많이 답답하시겠지만 아무래도 엑스레이를 본다고해도 골절의 상태, 개인의 회복능력에 따라 결과가 달라지기에 대략적인 부분도 판단하긴 어려울 수 있습니다.

    골절의 상태를 보고 골절선이 선명하고 부위에 가골이 형성되지않았다면 보통 일주일 이내, 골절선이 보이지만 주변 부위에 가골이 조금씩 있다면 2주 이내, 골절선이 잘안보이고 가골이 보인다면 한달 이내로 판단 할 수 있습니다.

    지금과 같이 엑스레이상 골절이 잘 보이는것으로 보아 2주 이내에 특별한 이슈가 있을만한지 생각해보시길 바랍니다^^