아핫뉴스실시간 인기검색어
아핫뉴스 화산 이미지
화산 아이콘 11
이재명, 이해찬 추모
아하

의료상담

정형외과

내일도부드러운마멋
내일도부드러운마멋

선생님 경추 엑스레이 판독 부탁드립니다.

성별
남성
나이대
45
기저질환
N/A
복용중인 약
N/A

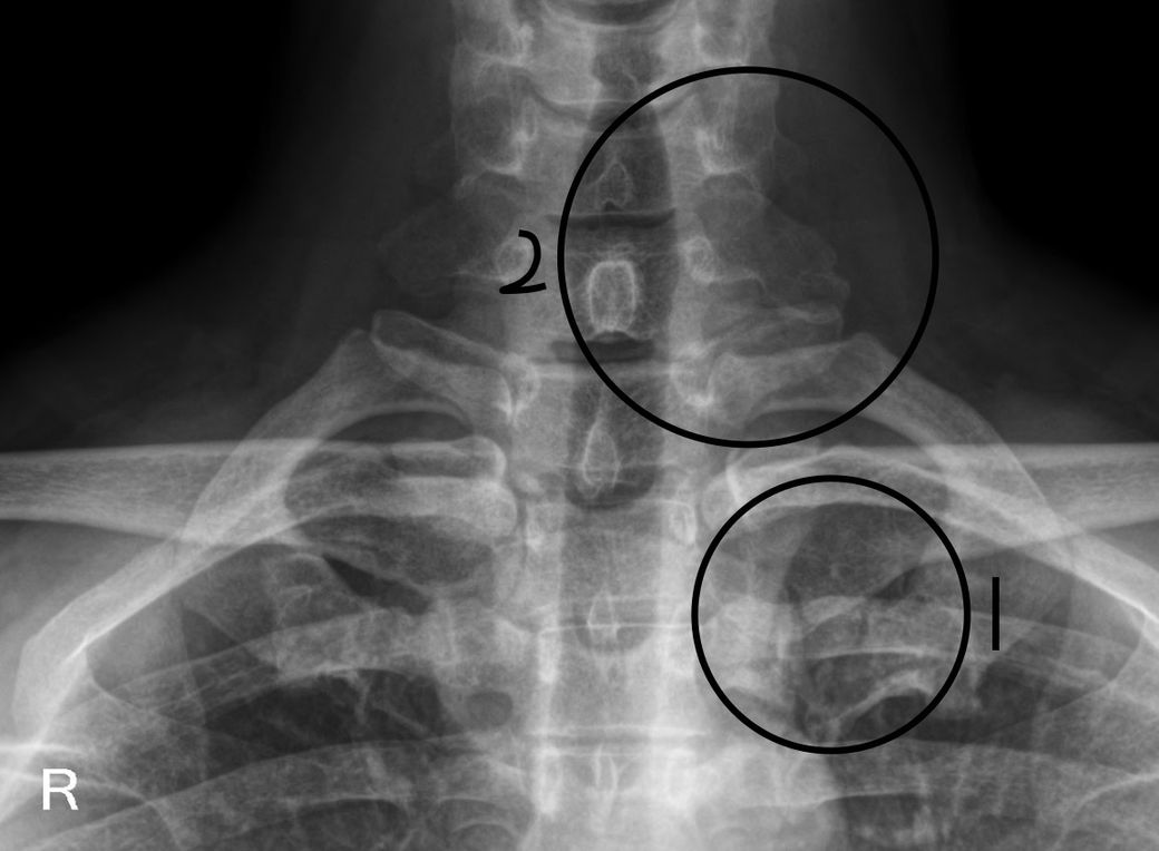
6개월 전, 차에 치이는 교통사고를 당해서 경추 7번 횡돌기 골절이 발견되었는데, 최근까지 통증이 계속되어서 얼마 전 대학병원에서 엑스레이 촬영했습니다... 만, 대학병원에선 통증 부위를 진료로 봐주지도 않고, 당일 촬영한 엑스레이조차 보지 않고 별거 아니라고 진통제 처방만 받았는데요.

6개월째 통증이 가시지 않고 흔히들 쉽게 낫는다는 횡돌기 골절임에도 통증이 심하네요..

(당시에 목과 등이 아파서 혼자 누웠다 일어났다 하지 못해서 옆으로 굴러서 짚고 일어났는데, 현재도 옆으로 굴러서 일어납니다.)

궁금해서 엑스레이 파일을 받아서 제가 직접 보니 동그라미 친 1번에 다른 골절도 보이는 것 같고 통증이 지속적으로 느껴지는 2번 파열되서 부은 부분도 더 커진 느낌입니다.

1번 부분이 사고났던 7번 횡돌기인가요? 아니면 그냥 아무것도 아닌가요? 아니면 골절인가요?

궁금합니다.

  • 1번 째 사진
4개의 답변이 있어요!
  • 안녕하세요. 김의균 물리치료사입니다.

    표시해주신 1번 동그라미 부분 같은 경우 7번째 목뼈의 횡돌기일 가능성이 높으며 엑스레이상 골절의 흔전은 정확히 확인하기 어려울 것으로 생각되며 6개월 째 통증이 지속되고 있고 부종이 이 있다면 기타 연부조직의 손상 또는 신경 자극의 가능성도 존재하기 때문에 가까운 병원에 방문하시어 추가적인 검사를 통해 정확한 상태 검사 받아보시고 상태에 맞는 치료 및 처치등을 받아보시는게 좋을 것으로 생각됩니다.

    빠른 쾌유를 기원합니다.

    감사합니다 수고하세요~

  • 안녕하세요. 송진영 물리치료사입니다.


    1번 부부닝 7번 경추 횡돌기일 가능성이 높으며 엑스레이 상 골절 흔적이나 치유 상태는 전문가가 직접 판단해야 정확합니다. 6개월째 지속되는 통증과 부종 확대는 골절 치유 지연이나 연부조직 손상, 신경 자극 가능성을 시사하니 주의가 필요합니다!

    대학병원에서 충분한 평가와 진단이 이뤄지지 않았다면 다른 정형외과나 신경외과 전문의에게 재진료를 권장합니다!

  • 안녕하세요. 김강록 물리치료사입니다.

    1번으로 표시된 부위는 흉추뼈로 보여지며 갈비뼈 및 다른 뼈들과 겹치는 부분이기에 골절로는 정확한 확인이 어렵습니다.

    또한 대학병원에서 해당부위에 대한 확답이 없으시기에 지금은 기존에 다니셨던 병원 혹은 새로운 병원에 가셔서 현재 상황에 대한 내용 전달을 하시고 새로 촬영을 하셔서 현 상태에 대한 판독을 받아보시길 바랍니다.

    지금 6개월이 지났지만 통증이 있다는것은 아직 골절이 회복 되지않거나 다른 부위의 손상도 의심해볼수있기에 지금으로썬 병원에 내원하셔서 검사를 해보시고 전문의에 진단하에 적절한 조치를 취하시길 바랍니다.

    당분간은 통증부위에 자극을 주거나 무리하게 움직이는것은 피하시길 바랍니다.

    새로운 촬영을 통해 현재 상태를 확인 후 적절한 치료를 받으셔서 건강히 회복되셨으면 좋겠습니다^^

  • 안녕하세요. 김현태 물리치료사입니다.

    사진에서 표시해주신 1번 부위는 연부조직이 겹쳐 보이는 부분이나 과거의 외상을 당했던 부위로 의심해볼 수 있지만, 엑스레이만으로는 정확한 판단이 어려울 수 있습니다.

    현재상황에서 정밀검진을 원하시는 경우에는 진료를 받으시는 병원에서 문의해보시거나 다른 병원에 방문하셔서 현재 증상에 대한 정밀검사를 요청해보시는 것도 좋겠습니다.