아하
  • 토픽

  • 스파링

  • 잉크

  • 미션


의료상담

빠른숲제비214

빠른숲제비214

임플란트 as기간내 불편하면 보철 재제작 요청할 수 있나요?

일년전쯤 맨끝 우측 어금니 뼈이식임플란트 시행 했어요

치료기간중 대합치 정출됐어요

타치과 진료보니 윗니 살짝 갈고 임플란트보철 올리면 된다고 했어요

담당의사한테 얘기 윗니 갈고 임플란트

보철 올렸으면 어떻냐고 말했어요

담당의사말로 윗니를 갈면 시린데 어떻게 씀?

그냥 보철시행 했어요

옆으로 누워서 치기공사인지 여자가 보다가 남자가 보다가 보철측정

세팅 후 그냥 사용 했어요

얼마전 반대쪽 어금니 통증 및 윗니 통증이 왔어요

교합이 안맞아서 그런다 하고 교합 맞춰보니 임플란트한 치아가 먼저닿고 미끄러져 붙으면서 반대어금니 밀어요

치료전 형상은 모르겠으나 대합치 또한 앞으로 변형왔어요

치과의사한테 물어보니 이제와서 윗니 크라운 씌워야된다고하네요

재제작은 의미없다고 이제 와서 말하는데 어쩌나요?

어금니교합 1포인트 찍힘

치과에 보철 재제작 요청할수 있을까요?

치아하나 했다가 다른치아 두개 뽑게 생겼네요 ㅠ

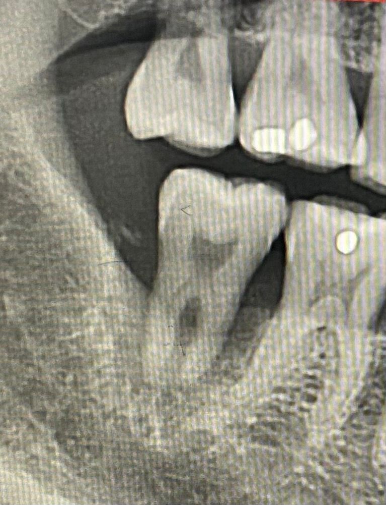
사진 치료 전후사진 첨부 드려요

  • 1번 째 사진
  • 2번 째 사진

4개의 답변이 있어요!

  • 김지훈 치과의사

    김지훈 치과의사

    메가

    안녕하세요. 김지훈 치과의사입니다.

    위쪽치아가 많이 내려와보입니다. 정확한 상태를 알수는 없으나 위쪽. 치아를 건드려야 할 것 같습니다.

  • 안녕하세요. 안상우 치과의사입니다.

    임플란트를 하고 교합 간섭 등으로 인해서 반대쪽 제 불편감이 있다면 교합을 조정할 수 있습니다. 교합 간섭으로 인해서 생기는 불편감이라면 교합조정을 하고 나면 괜찮아지는 경우가 많습니다.

  • 안녕하세요. 최석민 치과의사입니다.

    1. 통상적으로 임플란트 보철에 대해서는 6개월내라면 무상 as를 해주기도 합니다. 해당 치과의 as기간에 따라 다릅니다

    2. 지금 상태에서 교합조정을 좀 더 시도해보는 것도 방법입니다.

  • 안녕하세요. 김철진 치과의사입니다.

    엑스레이 상으로는 크게 문제가 되는건 없는거 같습니다. 사진상으로 보면 임플란트 하는동안에 대합되는 치아가 약간 정출된거 같으니 교합조정을 다시 받아보시는게 좋을것같습니다.