아핫뉴스실시간 인기검색어
아핫뉴스 화산 이미지
화산 아이콘 11
김건희 1심 선고 내일 생중계
아하

의료상담

정형외과

약간단단한닭볶음탕
약간단단한닭볶음탕

발목 내측복사뼈골절 걸어도 될까요?

성별
여성
나이대
33

4월 16일 운동하다 다쳤고 밤이라 4월 17일 병원 가서 내측 복사뼈 골절 진단받았습니다.

붓기가 너무 심해서 1주일동안 고정시키고 상태보자고 했고 4월 24일 비수술 하기로 하면서 통깁스 시작했습니다. 6월 5일 6주간의 통깁스 마치고 2주 동안 반깁스 붕대로 했는데 6월 19일부터 붕대대신 벨크로로 변경하자 하셔서 변경했어요.

  1. 벨크로로 고정하는 반깁스를 하루에 몇시간 정도 해야하나요?

  2. 그동안 다친 다리에 힘안줬는데 슬슬 목발 안짚고 걷는 연습해도 될까요?

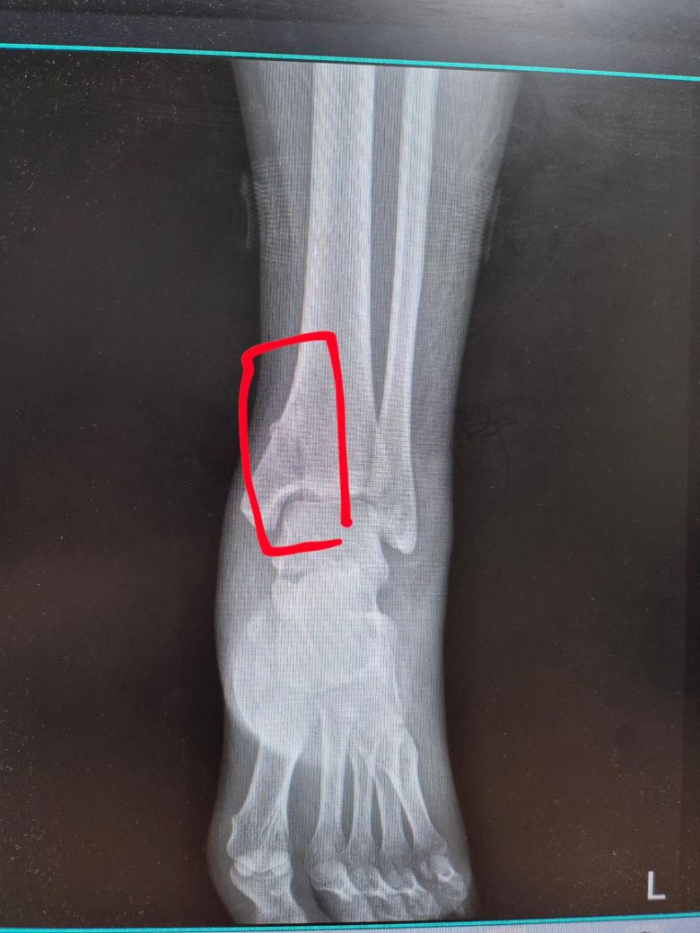
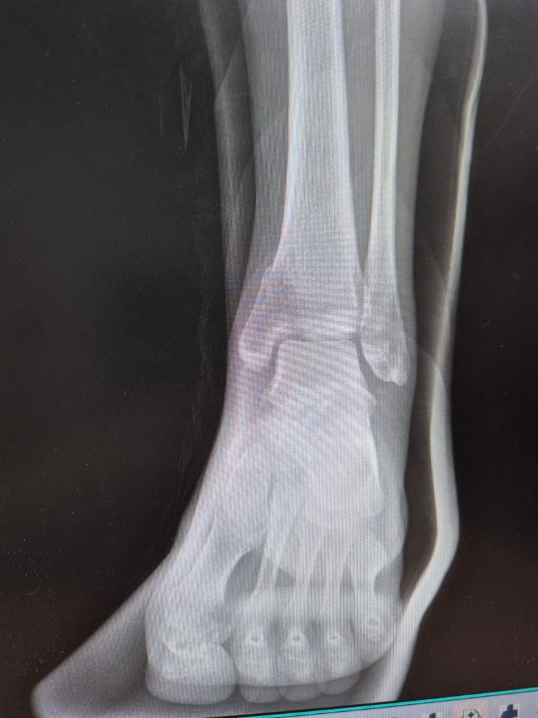
아래 사진은 6월 19일 찍은 사진입니다

  • 1번 째 사진
  • 2번 째 사진
5개의 답변이 있어요!
  • 안녕하세요. 김강록 물리치료사입니다.

    1. 벨크로로 고정하는 반깁스를 하루에 몇시간 정도 해야하나요?

    보통 벨크로 반깁스를 착용하는 시기는 뼈가 어느정도 유합이 되었고 안정 단계로 들어갔기때문에 벨크로 반깁스로 변경이 가능하신것 같습니다.

    지금으로썬 시간을 정하기보단 장시간 착용을 추천드리며 수면시엔 빼시고 착용 시간은 점차 줄이시길 바랍니다.

    또한 정기적으로 병원에 내원하셔서 검사를 통해 전문의에 진찰을 받고 전문의에 소견에 따르시는게 가장 좋습니다.

    1. 그동안 다친 다리에 힘안줬는데 슬슬 목발 안짚고 걷는 연습해도 될까요?

    아직은 목발 없이 처음부터 걷는 연습을 하면 낙상 또는 제 2차 손상이 일어날수있기에 지금은 점진적으로 체중 딛기를 연습해보시고 목발 제거는 담당 전문의, 담당 물리치료사에게 현재 상태에 따른 적절한 지도를 받아보시길 바랍니다.

    현재 정확한 상태를 파악하긴 어렵지만 현재 갑자기 목발없이 걷게되면 발을 딛을때 통증과 후유증이 강하게 남을 수 있기에 아직은 추천드리지않습니다.

    골절 같은 경우는 보통 2개월 ~ 3개월정도 회복기간이 걸리고 골절 상태, 골절면에 따라 기간은 더 걸릴 수 있습니다.

    정기적으로 골절의 유합 상태를 확인해보시고 상태에 따른 적절한 치료와 관리를 꾸준히 해보시길 바랍니다.

    아무래도 운동을 좋아하시고 운동을 해보셨기에 금방 회복 할 수 있으니 조금 답답하더라도 조금만 참고 하나하나씩 점진적으로 늘려보신다면 건강한 삶으로 다시 돌아 갈 수 있습니다^^

    1명 평가
  • 안녕하세요. 김의균 물리치료사입니다.

    발목 내측 복사뼈의 골절이 있을 경우 걷기 여부는 골절의 정도와 치료 방법에 따라서 달라질 수 있으며 비전위성 골절인 경우 보통 보조기나 깁스를 하고 체중부하를 조절하면서 걷는 경우가 많으며 전위성 골절 어긋난 골절 같은 경우에는 수술적 정복 후에 체중 부하 가능 여부를 결정할 것으로 생각됩니다.

    일반적으로 걷는 시기는 골절 부위가 안정될 때까지 보통 목발 등 보조기구를 이용한 부분적인 체중 부하 상태로 진행하며 골유합 진행 상황에 따라서 체중 부하 허용시기를 결정할 것으로 생각됩니다.

    빠른 쾌유를 기원합니다.

    감사합니다 수고하세요~

  • 안녕하세요. 김덕현 물리치료사입니다.

    골절로인해서 치료를받고나서 고정치료를제거한상태라면 재활치료를통해서 관절의 가동범위와 기능을 회복하는것이 중요합니다 갑자기 무리한동작의 움직임은 통증이나 붓기, 불편감을 유발할수있기때문에 점진적으로 강도를 높이는것이 좋은데요 목발을 사용해 부분적인 체중부하는주는것을 추천하고 되도록이면 병원에서 재활치료를받아보시길 바랍니다 감사하빈다~!

  • 안녕하세요. 송진영 물리치료사입니다.

    현재 엑스레이 상으로 내측 복사뼈의 골절부는 어느정도 유합된 사태로 보이고 정형외과에서도 반깁스에서 벨크로로 전환을 권한 것을 보면 점진적 체중 부하를 시작해도 괜찮은 회복 단계로 판단됩니다!

  • 안녕하세요. 김현태 물리치료사입니다.

    1. 일반적으로 활동을 하는 낮에는 착용을 하시도 잠을 주무시는 저녁에는 벗어두시면 되겠습니다.

    2. 부분적으로 체중을 싣는 연습을 시작해주시는 것이 좋겠습니다. 발목에 어느정도 안정이 느껴지기 전 까지는 목발을 사용하시는 것이 좋겠습니다.