목에 좋은 생활자세와 스트레칭은 어떤게 있을까요?
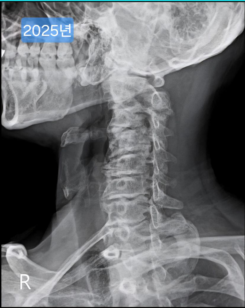
일자목, 경추사이 공간이 좁은 안좋은 형태의 목상태 입니다
병원에서 생활자세와 스트레칭을 강조하셨는데요
1.
목에 좋은 생활자세와 스트레칭은 구체적으로 어떤게 있을까요?
기본적으로 견갑골 모은뒤 고개 뒤로 젖혀주는 신전운동, 턱당기기등은 알고있습니다.
혹시 더 참고할만한 동작들 나와있는 동영상주소나 자료가 있으시다면 제공 부탁드립니다.
2.
이런 스트레칭이나 생활자세를 꾸준히 해주면
지금 상태가 안좋은 경추사이 공간이 넓어지거나,
일자목이 C자형으로 완화 되기도 하나요?
아니면 스트레칭, 생활자세교정만으로는 이런 형태의 변화는 기대하기 어려울까요?
안녕하세요. 김현태 물리치료사입니다.
일상생활에서는 목이나 어깨에 부담이 갈 수 있는 동작이나 반복적인 행동을 피하고, 장시간 한가지 자세를 유지하는 것을 피하는 것이 좋습니다. 근무환경을 예로 들면 모니터 높낮이나 위치, 책상과 의자의 거리를 조정하시는 것이 좋습니다.
꾸준히 한다면 어느정도 변화를 기대해볼 수 있겠지만, 별도로 시간을 내어 운동을 지속하는 것이 도움이 될 수 있겠습니다.
1명 평가안녕하세요. 김덕현 물리치료사입니다.
일자목의경우 자세적인문제가있을수있는데요 일단 굽은등을 펴줄수있는 스트레칭과 운동을하는것이 좋은데요 턱당기기의경우 오히려 불편감을 증가시킬수있으니 굽은등을 펴는것을 추천합니다~
유튜브를참고해 폼롤러를이용한 흉추의 신전스트레칭을 따라해보시길 바랍니다 감사합니다~!
안녕하세요. 이동진 물리치료사입니다.
일자목으로 불편이 있으시군요.
목을 앞으로 숙이는 동작의 활동이나 장시간 앉아서 컴퓨터를 보거나 장거리 운전, 목을 앞으로 숙이고 핸드폰을 보는 등의 좋지 않은 자세나 습관은 고쳐 주시는 것이 좋으며 목에 좋은 자세는 경추의 곡선을 유지시켜주는 정렬 된 자세를 만들어 주는 것이 좋으며 턱을 뒤로 당겨 주거나 목을 뒤로 젖혀 주는 스트레칭, 통증이 없는 범위에서 빠른 걷기 운동 등이 도움이 되실 것입니다.
답변이 도움이 되었으면 좋겠습니다.
안녕하세요. 김강록 물리치료사입니다.
지금과 같은 상황에선 흉쇄유돌근, 사각근, 후두하근, 상부승모근, 견갑거근, 대흉근 등 스트레칭을 추천드리며 평소 중하부 승모근, 능형근과 같은 등 근육은 근력 강화를 시켜주는게 좋습니다.
다만 목의 경추 사이가 좁은것은 퇴행성에 가깝기에 바른 자세와 운동으론 제한이 될 수 있지만 일자목과 같은 목의 커브 감소는 약간은 회복이 가능하니 현재 상태를 정확히 확인 후 상태에 따른 적합한 운동법을 배우시길 추천드립니다^^
안녕하세요. 송진영 물리치료사입니다.
견갑골 모으고 턱 당기기 외에도 가슴 열기 스트레칭, 목 측굴 회전 스트레칭, 가슴 승모근 스트레칭이 도움이 됩니다
유튜브에서 경추 안정화 운동, 일자목 스트레칭 등 검색 시 병원 물리치료사 채널 자료가 많습니다. 생활자세 스트레칭은 근육 불균형 완화 통증 감소 기능 회복에는 효과적이지만 뼈 간격이나 C커브 구조 자체 변화는 제한적입니다!
안녕하세요. 채홍석 가정의학과 전문의입니다.
업로드해주신 증상의 설명과 자료는 잘 보았습니다.
생활자세 교정은 장기간에 걸쳐서 이루어집니다.
기본적으로는 고개를 숙이지 말고 앞으로 내밀지 않는 것입니다.
할려고 해도 잘 되지 않으실 것입니다.
일단 핸드폰을 볼려고 하지 마세요 핸드폰은 전화용도로만 사용하세요
용건이 있는 사람한테는 카카오톡이나 문자를 하지말고 전화를 하라고 하세요
tablet PC 역시 마찬가지 입니다.
모니터를 보기 위하여 고개를 앞으로 내미는 것을 교정하기 위해서
턱을 몸 쪽으로 살짝 당기고, 목과 어깨의 긴장도 줄인 상태로 인터넷 주소창이 눈높이 수평선에서 15~30도
정도가 되도록 조절해주시면 됩니다.
중간중간 스트레칭을 통하여 긴장을 풀구요(동작은 국민체조동작으로도 충분합니다.)

