아핫뉴스실시간 인기검색어
아핫뉴스 화산 이미지
화산 아이콘 11
서울버스 파업
아하

의료상담

정형외과

갑자기격려하는군만두
갑자기격려하는군만두

엄지발가락 골절 회복기간 얼마나 걸릴까요?

성별
여성
나이대
20대
기저질환
없음
복용중인 약
없움

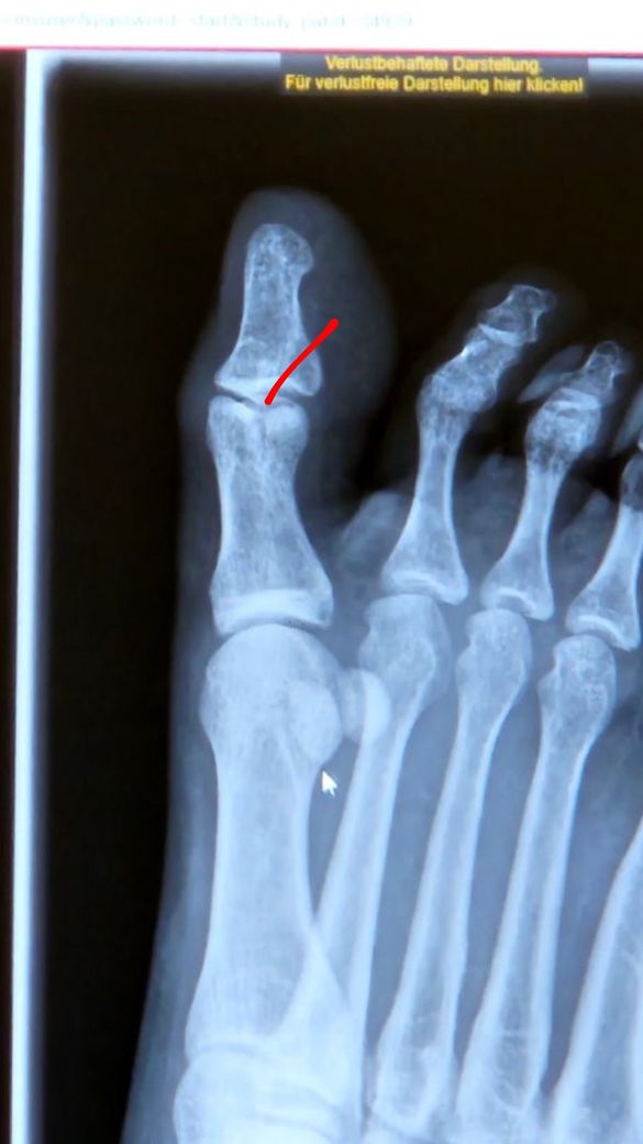
12월 23일에 다치고 12월 26일에 병원에 가서 골절 진단받고 반깁스를 시작했습니다. 1월 10일 병원을 다시 가보니 골절부위가 벌어졌다고 하셨는데 2주정도 더 지켜보겠다고 하셨습니다.

당장 2월 1일에 해외여행을 가야하는데 갈 수 있을까요?? ㅠㅠ

어떻게 하면 빨리 나을 수 있나요오…

  • 1번 째 사진
6개의 답변이 있어요!
  • 안녕하세요. 이동진 물리치료사입니다.

    엄지발가락 골절로 불편이 있으시군요.

    손상정도에 따라 회복기간을 달라질 수 있겠지만 보통 4주-8주 정도 회복기간이 필요하며 골절 부위가 벌어진다면 엄지발가락에 부하를 주거나 충격을 가하지 않도록 조심하셔야 할 것입니다.

    빠른 쾌유하시길 바라며 답변이 도움이 되었으면 좋겠습니다.

  • 안녕하세요. 송진희 물리치료사입니다.

    골절선이 벌어졌다면 “아직 유합이 불안정”해 여행은 “조건부”로만 가능합니다.

    장거리 이동.많이 걷는 일정이면 악화 위험이 있어 “보조기/단단한 신발 착용 + 체중부하 최소화“가 필수입니다.

    빨리 낮게 하려면 ”완전 고정, 발 사용 제한, 금연, 단백질.비타민D.칼슘 충분 섭취“가 가장 중요해요.

    출발 전 ”담당의에게 비행.보행 가능 여부와 보호장비“를 꼭 확인하세요.

    감사합니다 수고하세요~^^**

  • 안녕하세요. 김강록 물리치료사입니다.

    보통 뼈가 붙는 기간은 위치, 골절 정도에 따라 다르겠지만 1개월 ~ 2개월 정도 회복 기간이 필요합니다.

    골절시 수술을 하지않는 이상 비수술 치료로 가장 좋은건 최대한 해당 부위에 자극을 주거나 무리하게 움직이는것이 아닌 최대한 휴식을 취하면서 뼈가 붙을 수 있게 환경을 만들어 주는것이 가장 좋습니다.

    현재 반깁스 처리를 하셨기에 최대한 해당 부위를 움직이지 마시고 경과를 지켜보시고 정기적으로 엑스레이 검사를 해보시길 바랍니다^^

  • 안녕하세요. 조현배 물리치료사입니다.

    골절부위에 따라 차이를 보이지만 일반적으로 한 달에서 두 달 정도에 충분한 회복 기간을 필요로 하기도 합니다. 발가락 비교적 작은 뼈의경우 상대적으로 빠른 회복을 보일 수 있으나 일상 생활을 하는 동안에 자극을 피할 수 없기에 회복 기간이 길어지는 경우도 있습니다. 가급적 움직임이 발생하지 않도록 관리해 주시고 충분한 영양 섭취 및 휴식을 취해 주는 것이 좋겠습니다.

  • 안녕하세요. 김현태 물리치료사입니다.

    현재시점에서는 2주 이후에 상태를 지켜뵈야 하기 때문에, 회복에 소요되는 기간은 일반적으로 약 6-8주정도 소요가 될 수 있지만, 회복상태를 관찰한 이후에 추정할 것으로 생각됩니다.

    회복에 도움이 될 수 있도록 고정을 잘 유지하시고 무리한 움직임은 피하시는 것이 좋겠고, 흡연이나 음주를 피하시는 것이 좋겠습니다.

  • 안녕하세요. 채홍석 가정의학과 전문의입니다.

    업로드해주신 증상의 설명과 자료는 잘 보았습니다.

    여행은 갈 수 있습니다.

    단지 환자분이 말씀하시는 것이 기브스를 완전히 풀어서 정상화되는 것을 말씀하시는 것이라면

    2월 1일까지는 쉽지 않을 것입니다.