아하
  • 토픽

  • 스파링

  • 잉크

  • 미션


의료상담

검붉은고라니134

검붉은고라니134

새끼발가락 핀 제거수술 꼭 받아야하나요?

성별

남성

나이대

40대

기저질환

공황장애

복용중인 약

고혈압, 고지혈증, 공황장애 약

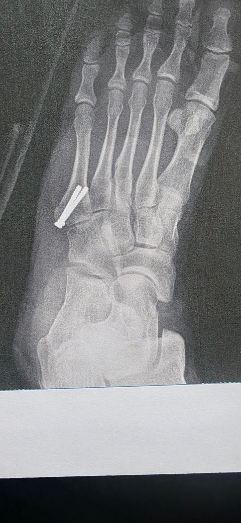
작년 01월에 사진과 같이 새끼발가락 발등쪽에 뼈가 살짝 떨어졌다고 해서 핀을 박았습니다.

사진은 수술직후 사진입니다.

지금 핀이 있는지도 모를정도로 전혀 불편함이 없는데 핀제거를 꼭 해야하는지 너무 혼란스럽습니다.

자영업자라 매장 문닫는것도 부담스럽네요.

수술비 나오는 생명보험 만기가 3월 말이라 꼭 필요하다면 그전에 해야될것 같고요

수술안할껀데 진료받으러 가서 이것 저것 사진찍고하면 비용만 나올것 같고

진퇴양난이네요.

부디 지나치지 마시고 많은 고견 부탁드립니다.

친절하고 소중한 답변 미리 감사드립니다!!!

  • 1번 째 사진

6개의 답변이 있어요!

  • 송진희 물리치료사

    송진희 물리치료사

    보건복지부

    안녕하세요. 송진희 물리치료사입니다.

    결론부터 말씀드리면 통증·염증 없고, 피부 밖으로 돌출되지 않은 핀은 꼭 제거하지 않아도 되는 경우가 많습니다.

    다만 장기적으로 핀 주위 염증·피로골절·이물감 가능성은 있어, 제거 여부는 엑스레이 1장으로 비교적 간단히 판단 가능합니다.

    보험 만기 전이라면 “상담+엑스레이만” 목적 방문도 충분히 의미 있고, 수술 여부는 그 후 결정하셔도 됩니다.

    지금처럼 불편함이 전혀 없다면 급하게 수술할 상황은 아니니, 최소 진료로 정보만 얻고 판단하셔도 괜찮습니다.

    답변이 도움 되셨길 바랍니다!! 감사합니다~

  • 현재 통증이나 이물감이 전혀 없다면 핀(나사) 제거는 필수가 아닙니다. 중족골 고정 나사는 무증상인 경우 그대로 두는 경우가 많습니다.

    제거 적응증은 통증, 피부 자극, 감염, 파손, 운동 제한 등이 있을 때입니다. 제거 후 일시적 통증이나 재골절 위험도 완전히 배제할 수 없습니다.

    최소한 단순 X-ray로 골유합과 나사 상태만 확인 후 결정하는 것이 안전합니다. 무증상이라면 서둘러 수술할 의학적 필요성은 낮습니다.

  • 안녕하세요. 김현태 물리치료사입니다.

    불편감이 없고, 감염이나 염증의 위험이 없는 경우에는 빈드시 수술로 제거를 해야하는 대상은 아닙니다.

    다만 수술 이후 경과확인을 위해서 진료를 받아보시는 것은 예후를 위해 고려를 해보시는 것이 좋겠습니다.

  • 안녕하세요. 신미소 물리치료사입니다.

    새끼발가락에 고정용 판을 넣은 경우, 반드시 제거해야 하는것은 아닙니다. 통증이없고, 염증/피부자극/보행불편이 전혀 없다면 그대로 두는 경우도 많습니다. 특히 작은 금속 고정물은 몸이 큰 문제없이 오래 유지되는 경우도 흔합니다. 보험 만기전 고민중이라면 현재 뼈 유합상태와 핀 위치만 확인받는것이 가장 합리적니다. 지금처럼 불편이 전혀 없다면 급한 상황은 아닐 가능성이 큽니다. 답변이 도움되셨길 바랍니다!

  • 안녕하세요. 이동진 물리치료사입니다.

    새끼발가락 골절로 불편이 있으시군요.

    핀 제거 수술이 꼭 필요하다고 말을 할 수는 없으며 불편이 없으시고 활동이 적으시다면 제거를 하지 않으셔도 괜찮으시겠지만 활동량이 많고 고정 핀 부위에 통증이나 불편이 있으시거나 추후 강한 충격으로 인하여 손상이 걱정이 되신다면 제거 수술을 하셔야 합니다.

    개인적으로는 핀 제거 수술을 받으시는 것을 권해드립니다.

    담당의사선생님께 상담을 받아보시면 정확한 정보를 얻는데 도움이 되실 것입니다.

    빠른 쾌유하시길 바라며 답변이 도움이 되었으면 좋겠습니다.

  • 안녕하세요. 김의균 물리치료사입니다.

    새끼 발가락의 핀 제거 수술 같은 경우 골절 고정용 핀 같은 경우 뼈를 붙이기 위해서 임시적으로 넣은 것이기에 대부분 제거를 하며 특히 피부 밖으로 나와있는 K-wire 라면 제거가 원칙입니다.

    안에 완전히 묻혀있는 금속핀 같은 경우에는 통증이 없다면 평생 안 뺴는 경우도 있기는 하지만 염증이나 붓기 핀 주변 부위 피부의 자극 등이 있다면 제거를 하시는게 좋습니다.

    빠른 쾌유를 기원합니다.

    감사합니다 수고하세요~