의료상담

골반 틀어짐/전방경사, 척추 측만증 여부, 일자목 심한 정도 알고 싶습니다

성별

남성

나이대

30대

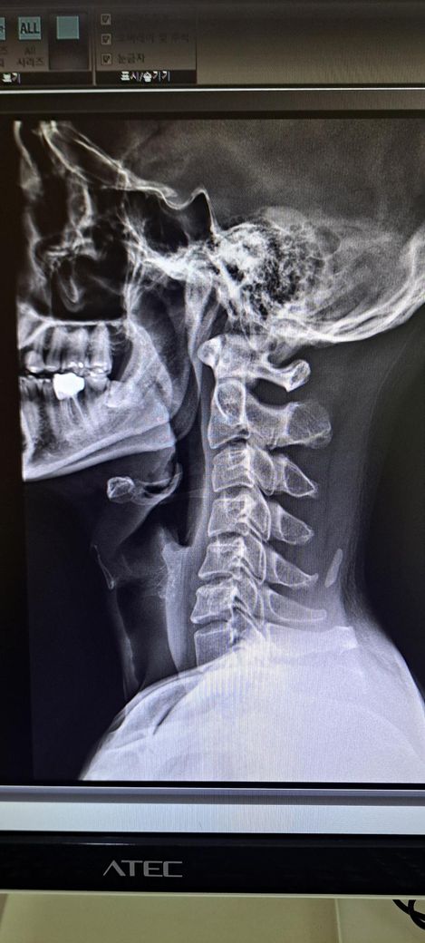
x ray 촬영한 영상인데 골반 틀어짐 및 전방경사 심각한가요? 골반 틀어짐은 어느 쪽을 교정해야 하며 골반 틀어짐 및 전방경사 교정 방법을 알려주시면 감사하겠습니다 .

또한 일자목도 있다는데 심각한 정도인가요?

척추 측만증 있나요?

답변에 감사합니다.

  • 1번 째 사진
  • 2번 째 사진
  • 3번 째 사진
  • 4번 째 사진
  • 5번 째 사진
  • 6번 째 사진
  • 7번 째 사진
  • 8번 째 사진
  • 9번 째 사진
  • 10번 째 사진

6개의 답변이 있어요!

  • 안녕하세요. 송진희 물리치료사입니다.

    사진상으로 골반 좌우 비대칭은 약간 의심되지만, 단순 X-ray만으로 "심각한 틀어짐"이라 단정하긴 어렵습니다.

    전방경사 약간 있어 보이나 흔한 범위일 가능성이 크며, 스트레칭.근력운동으로 충분히 교정 가능한 수준으로 보입니다.

    목은 일자목 경향은 있으나 심한 변형보다는 자세성 문제로 보이며 교정운동이 중요합니다.

    뚜렷한 척추측만증(심한 휘어짐)은 크게 보이지 않지만, 정확한 평가는 전문의 진료로 확인하는 것이 좋습니다.

    답변이 도움 되셨길 바라며, 빠른 쾌유을 바랍니다!!

    채택 보상으로 241베리 받았어요.

    채택된 답변
  • 안녕하세요. 김의균 물리치료사입니다.

    일단 공유해주신 사진을 보았을 때 심각할 정도의 구조적인 변형은 없는 것으로 보이나 그렇지만 구조적인 변형이 전혀 없는 편은 아닙니다.

    일단 골반 같은 경우 좌우 대칭이 다르며 약간의 전방 경사 및 틀어짐이 있는 것으로 보입니다.

    허리가 과하게 꺽여 있고 엉덩이는 뒤로 빠져 있는 상태라고 추측되며 측만은 아니라고 생각됩니다.

    또한 목은 일자목이 있으며 역C자 수준 까지는 아니라고 생각됩니다.

    적절한 근육에 대한 스트레칭 및 강화운동등을 통해 교정이 가능할 것으로 생각되며 꾸준히 운동 해보시면 좋아지실 수 있다고 생각됩니다.

    빠른 쾌유를 기원합니다.

    감사합니다 수고하세요~

  • 안녕하세요. 신미소 물리치료사입니다.

    정면 사진상 골반의 좌우높이 차이가 관찰되며, 이는 대퇴골의 위치변화와 연관되어 보입니다. 측면 사진에서 요추의 곡선이 다소 꺾여 있는 양상이 보여 골반 전방경사 가능성이 큽니다. 정면 영상에서 척추가 일직선이 아니라 완만한 S자 형태로 휘어있는 측만 소견이 보입니다. 심각한 수준은 아니나 지속적인 관리가 필요한 상태입니다. 측면 사진상 경추의 커브를 보면 일자목 상태입니다. 골반이 높은쪽의 근육은 이완시키고, 낮은쪽과 약해진 둔근, 복근을 강화하는 운동이 필요합니다. 전방경사 완화를 위해 장요근 스트레칭과 프랭크 같은 코어 운동이 효과적입니다. 흉쇄유돌근 스트레칭과 더불어 등 근육을 강화하여 어깨를 펴는것이 급선무입니다.

  • 안녕하세요. 남희성 의사입니다.

    보여주신 X-ray를 보면 우선 첫번째 사진에서 경추전만이 무너져서 일자목을 넘어 역 C자가 만들어진걸 볼 수 있습니다. 평소 고개를 앞으로 굽히지 않는 경추전만 자세 교정이 필요하겠으며 아래 영상 보시면서 자세를 교정해보시기 바랍니다. 아래 영상은 디스크에 대한 영상이지만 결국 교정해야할 자세는 같습니다.

    골반 틀어짐을 보면 오른쪽 골바 날개가 왼쪽보다 높이 위치한걸 볼 수 있습니다. 하지만 이 사진만으로 판단하기보다는 발끝까지 찍은 사진을 보고 왜 오른쪽 골반이 더 위로 높아져있는지를 판단해야 원인과 해결법을 판단할 수 있겠습니다.

    척추측만은 의미있는 정도가 아닙니다. 저희가 20도 이상을 증상을 유발할 수 있는 측만으로 보는데 그만큼 측만이 확인되지 않습니다.

    전방경사의 경우 현재 요추는 요추전만이 잘 만들어져있기 때문에 골반의 경사가 문제가 되는 상태가 아닌걸로 판단됩니다.

  • 안녕하세요. 이동진 물리치료사입니다.

    척추 변형으로 인하여 불편이 있으시군요.

    x-ray 결과로 보아서는 경추C자 곡선이 반대로 되어 있어 일자목이 심해 보이며 골반 틀어짐과 척추측만증이 있는 것으로 보입니다.

    신체 전반적으로 불균형과 척추 변형이 있기 때문에 경추부터 요추, 골반까지 전체적인 교정이 필요해 보입니다.

    병원에서 자세교정을 위한 재활치료를 받으시는 것을 권해드립니다.

    답변이 도움이 되었으면 좋겠습니다.

  • 안녕하세요. 김현태 물리치료사입니다.

    1. 단적인 사진만으로 틀어짐 정도를 단정하기는 어려울 수 있으며, 구조적인 정렬 이외에 평소 신체기능이나 통증여부도 종합적으로 고려할 필요가 있기 때문에 주치의분의 소견을 들어보심이 좋습니다.

    2. 측만 정도는 콥스각을 보아야 하고, 개개인의 통증 및 정렬 따라 교정 및 운동방법에 차이가 있으므로 가급적 대면을 통한 상담이나 치료를 받아보시는 것이 좋습니다.