아핫뉴스실시간 인기검색어
아핫뉴스 화산 이미지
화산 아이콘 11
이승우母 고급 세단 선물
아하

의료상담

정형외과

한결같이기분좋은은행나무
한결같이기분좋은은행나무

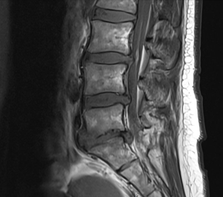
mri 상태가 그렇게 안좋은가요??ㅜㅜ

성별
여성
나이대
43

통증은 크게 없는데 상태가 심하게 안좋다고 하는데

이상태로 운동을 해도 될까요??

물론 심한 운동은 안하고 만보걷기부터 하려고 합니다.

  • 1번 째 사진
  • 2번 째 사진
7개의 답변이 있어요!
  • 안녕하세요. 김의균 물리치료사입니다.

    엑스레이나 MRI 검사 상태가 좋지 않아도 몸에는 큰 통증이 안 나타날 수 있으며 이럴때는 무리해서 치료를 하는 것보다는 지금 상태를 잘 유지할 수 있도록 운동과 스트레칭을 꾸준히 해주시는게 중요할 것으로 생각되며 하루에 만보 걷기는 현재 상태에서 너무 많은 양으로 하루에 5~7천보 정도로 먼저 걸어보시고 점진적으로 운동량을 늘려 보시는 것을 추천 드립니다.

    빠른 쾌유를 기원합니다.

    감사합니다 수고하세요~

  • 안녕하세요. 송진영 물리치료사입니다.

    Mri결과가 좋지 않더라도 통증이 없다면 가벼운 운동은 가능할 수 있지만 만보 걷기와 같은 저강도 운동은 회복에 도움이 될 수도 있어요 하지만 무리하지 않는 것이 중요합니다 상태가 심각하다고 판단되면 전문가와 상담해 운동 계획을 세웅는 것이 좋습니다!

  • 안녕하세요. 김덕현 물리치료사입니다.

    MRI나 엑스레이상으로 상태가좋지않아도 몸에는 통증이안나타날수있습ㄴ디ㅏ 이럴때에는 무리해서 치료를하는것보다 지금의 상태를 운동과 스트레칭을통해서 유지하는게 중요한데요 만보걷기는 너무 양이많으니 하루에 6~7천보정도만 걸어도 충분합니다

    약간 땀날정도의 속도로 걷는걸 추천합니다 감사합니다~

  • 안녕하세요. 김민선 물리치료사입니다.

    MRI 상에는 디스크가 일정 부분 돌출되어있어 심해보이긴 합니다. 하지만 저희 몸이라는게 꼭 디스크가 돌출되었다가 모든 사람이 아픈것은 아닙니다. 정말 통증이라는 부분은 뇌에서 느끼고 반응하는 것이기 때문에 사람마다 다를 수 있습니다. 저렇게 되어도 통증이 없으면 일상생활 하셔도 됩니다. 하지만, MRI까지 찍으신거 보면 허리가 뭔가 문제가 있으니까 찍으신거같은데, 현재 영상자료로도 심해보이긴하여서 걷기 정도 하시는게 좋을거 같습니다. 그리고 걷기도 만보 보다는 처음에는 2~3천보에서 시작해서 점점 늘리시는게 좋을것으로 보입니다. 부디 잘 회복되시길 바라겠습니다. 감사합니다.

  • 안녕하세요. 김현태 물리치료사입니다.

    허리 디스크가 돌출 혹은 파열이 발생하여 주변의 신경을 압박하거나 염증이 발생하는 상태로 보여지는데요, 가벼운 산책과 같은 운동은 크게 건강에 악영향을 주지는 않습니다. 그러나, 갑작스럽게 만보정도 걷게 되는 경우에는 운동량 증가에 의해서 불편감이나 통증이 발생할 수 있기 때문에, 적절한 운동량부터 시작해보시는 것이 좋겠습니다. 또한, 코어근력을 증가시켜 척추의 안정화를 위해 데드버그나 버드독과 같은 기초적인 코어운동을 해보시는 방법도 고려해보시는 것을 추천드리겠습니다.

  • 안녕하세요. 채홍석 가정의학과 전문의입니다.

    업로드해주신 증상의 설명과 자료는 잘 보았습니다

    디스크가 심한 편이기는 하네요

    하지만 중요한 것은 증상입니다

    현재 증상이 없다면 가벼운 운동은 하셔도 됩니다.

  • 안녕하세요. 최성훈 내과 전문의입니다.

    요추 디스크가 밀려나와 신경을 자극하는 양상으로 저림증이나 통증이 생길 수 있겠습니다.

    허리를 회전 시키거나 무거운 물체를 드는 운동이나 행동은 피하고 운동으로 가벼운 산책이나 수영을 권합니다.