아핫뉴스실시간 인기검색어
아핫뉴스 화산 이미지
화산 아이콘 11
비트코인 상승 신호 부족
아하

의료상담

정형외과

제일생동감있는비숑
제일생동감있는비숑

목이 경추사이가 좁고, 일자목인데 헬스를 해도 될까요?

성별
남성
나이대
50대

며칠전 운동하다가 어깨에서 뚝 소리가 나고 그 이후에 큰 통증은 없는데 어깨 움직일때 뚝 하는 소리가 계속 나서

정형외과에 갔습니다.

어깨 엑스레이를 찍었는데 의사선생님은 문제가 없다고 하셨고,

선생님이 같이 찍힌 목사진을 보시더니 심각하다며..경추사이 간격도 좁고, 일자목이고..

그 말씀 듣고 충격을 받아서 집에와서 예전에 찍었던 목 엑스레이 자료 있나 찾아보니

한 9년전에 이때도 운동하다가 어깨가 아파서 목과 어깨 엑스레이를 찍은 자료가 있더라구요.

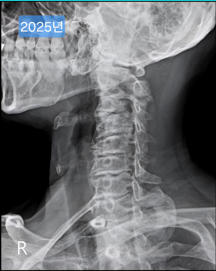
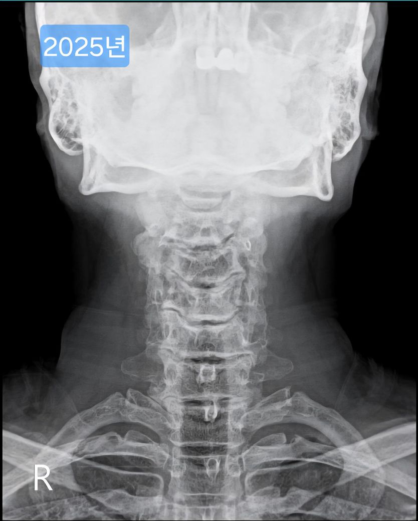
며칠전 찍은 2025년도 엑스레이와 9년전 사진을 업로드 해 드리겠습니다.

(이미지에 좌측상단에 해당연도 표시했습니다.)

제가 궁금한게,

헬스를 좋아해서 약 10년 넘게 하고 있는데요.

혹시 목이 저렇게 된게 헬스의 영향이 있나 해서요.

2016년도 쯤에 벌크업에 좀 관심있어서 지금보다는 무게를 좀 치던 시기였고,

현재는 무게를 많이 줄여서 12kg, 8kg 덤벨로 삼분할 가볍게 해주고 있는데요.

목이 저상태인데 헬스를 계속 해도 좋을지 궁금합니다.

즉,

질문1. 목이 저상태가 된게 헬스 때문일수도 있을까요?

질문2. 현재 목상태가 이런데 12kg, 8kg 덤벨로 비교적 가볍게 헬스를 해도 괜찮을까요?

참고로, 목통증이나 어깨저림이나 이런 증상은 없습니다.

  • 1번 째 사진
  • 2번 째 사진
  • 3번 째 사진
  • 4번 째 사진
  • 5번 째 사진
  • 6번 째 사진
6개의 답변이 있어요!
  • 안녕하세요. 김덕현 물리치료사입니다.

    목의 커브손실같은경우 보통은 자세적인문제로인해서 생기는 경우가많은데요 일자목이라고해서 헬스를하면안되는건 아니지만 자세적인 문제가있다면 헬스를 할때에도 불편감이생길수있으니 주의해야합니다
    운동하는 자세가 제대로되어있는지 전문가의도움을받아 확인하고 교정하는것이 필요합니다 감사합니다~!

  • 안녕하세요. 송진영 물리치료사입니다.

    경추 간격이 좁고 일자목이 된 원인은 헬스보다는 장시간 잘못된 자세, 스마트폰 pc 사용, 선천적 구조 등이 더 큰 영향을 줍니다. 통증이 없고 가벼운 무게로 한다면 헬스를 완전히 중단할 필요는 없지만 목에 부담을 주는 고중량, 머리 위로 드는 동작은 피하는 것이 좋습니다.

    운동 시 어깨를 내리고 턱을 살짝 당기는 중립 자세를 유지하며 목 안정화 운동을 병행하면 도움이 됩니다.

  • 안녕하세요. 김의균 물리치료사입니다.

    경추의 간격이 좋고 일자목이 있어도 헬스를 할 수 있습니다.

    그렇지만 운동시에 주의가 필요하며 적절한 자세 관리가 중요할 것으로 생각됩니다.

    일자목은 머리 무게가 그대로 경추에 실려 근육의 피로 및 통증이 쉽게 발생할 수 있는 상태로 잘못된 웨이트 자세 목의 과신전 및 과굴곡이 된 상태로 운동을 할 경우 증상을 악화 시킬 수 있기에 운동시에 자세를 주의하면서 운동하시면 좋을 것으로 생각됩니다.

    빠른 쾌유를 기원합니다.

    감사합니다 수고하세요~

  • 안녕하세요. 이동진 물리치료사입니다.

    일자목으로 불편이 있으시군요.

    무거운 저항 운동을 하게 되면 경추에 무리한 부하를 주게 되어 목주변 근육을 과긴장 시키거나 경추 곡선 유지를 방해 할 수 있으며 운동 시 좋지 않은 자세로 목을 앞으로 숙이거나 경추의 균형이 무너지게 되며 일자목이나 목디스크를 유발할 수도 있습니다.

    헬스 운동 자체가 일자목에 안좋다기 보다는 바른 자세에서 턱을 당겨 주어 경추 곡선을 유지하는 올바른 자세와 적절한 저항으로 통증이 없는 범위에서 운동을 해주시거나 가벼운 스트레칭 운동은 도움이 될 수도 있을 것입니다.

    답변이 도움이 되었으면 좋겠습니다.

  • 안녕하세요. 김현태 물리치료사입니다.

    1. 고중량으로 과도한 운동을 하신 것이 아니라면, 꼭 그렇다고 보기는 어렵습니다.

    2. 네, 통증이 없는 범위에서는 크게 문제가 되지는 않겠습니다.

    운동을 하시더라도 통증이 없고 불편감이 발생하지 않는 정도에서 꾸준하게 해주시는 것이 좋겠고, 일상생활이나 자세습관을 개선하셔도 좋겠습니다.

  • 안녕하세요. 김강록 물리치료사입니다.

    우선 지금으로썬 헬스를 할 때 자세적인 문제, 근육의 잘못된 사용으로 인한 체형 변화가 있을 수 있지만 보통 현대 사회에선 컴퓨터, 휴대폰 사용 등 자세적인 문제가 큽니다.

    또한 통증이 없고 저린감이 없다면 헬스를 하셔도 큰 문제는 없지만 무리하게 운동을 하거나 잘못된 자세의 운동은 이차적인 손상을 유발하니 주의하시길 바랍니다.

    답변이 도움이 되셨다면 좋겠습니다^^