아핫뉴스실시간 인기검색어
아핫뉴스 화산 이미지
화산 아이콘 11
건보공단 담배소송 패소
많이 본
아하

의료상담

정형외과

제일생동감있는비숑
제일생동감있는비숑

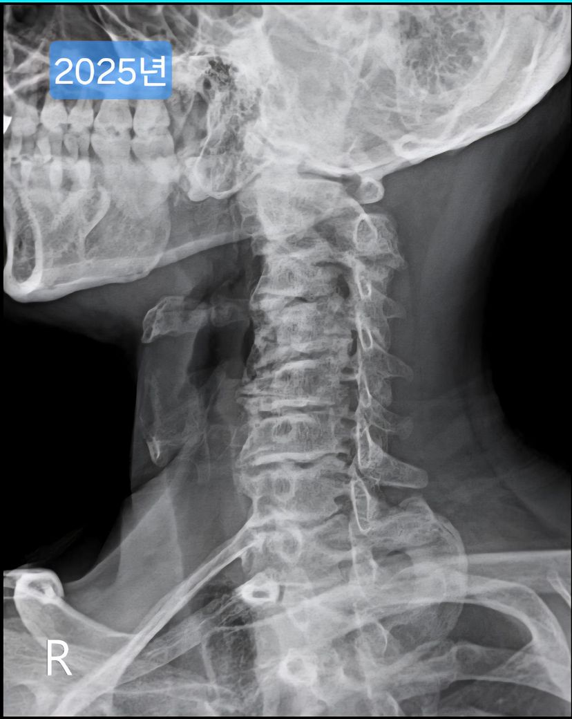
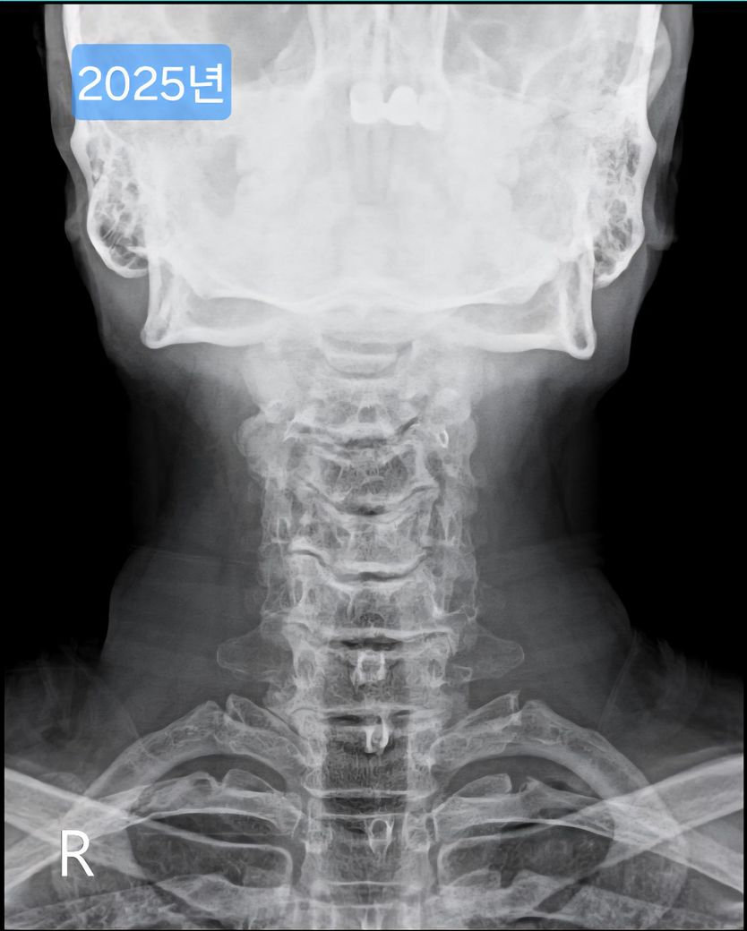
목 엑스레이 사진입니다. 많이 심각한걸까요?

성별
남성
나이대
50대

며칠전 운동하다가 어깨에서 뚝 소리가 나고 그 이후에 큰 통증은 없는데 어깨 움직일때 뚝 하는 소리가 계속 나서

정형외과에 갔습니다.

어깨 엑스레이를 찍었는데 어깨는 엑스레이상 큰 문제는 발견되지 않았고..

선생님이 같이 찍힌 목사진을 보시더니 심각하다며..

경추사이 간격도 좁고, 일자목이고.. 목으로만 보면 추정 나이가 80세정도 된다고 하셨습니다..(전 50초반입니다.)

목이 정상이다가 갑자기 이렇게 진행된 경우면 위험하고..

원래 이런 형태로 오랫동안 유지된 사람이라면 뭐 그렇게 심각한건 아니니 이렇게 살아야한다고 말씀하시더라구요.

그 말씀 듣고 충격을 받아서 집에와서 예전에 찍었던 목 엑스레이 자료 있나 찾아보니

한 9년전에 이때도 운동하다가 어깨가 아파서 목과 어깨 엑스레이를 찍은 자료가 있더라구요

오늘 찍은 2025년도 엑스레이와 9년전 사진을 업로드 해 드리겠습니다.

(이미지에 좌측상단에 해당연도 표시했습니다.)

제가 궁금한건,

1. 2016년과 2025년도 목이 상태가 많이 변했나요?

제가 보기엔 9년전에도 경추사이 간격이나 일자목이나 비슷한듯 보여서요.

2. 만일 10년동안 비슷하게 유지됐다면 오늘 의사선생님 말씀대로 원래 이런 형태로 살아가는 사람일까요?

아니면 치료가 필요할까요?

(가끔 대변보면서 힘줄때 목주위가 땡기는것 말고는 딱히 큰 정상은 아직 없는듯 합니다.)

3. 일자목을 벗어나려면 평소 필요한 생활습관은 어떤것이 있을까요? (낮은 베개 사용 등)

4. 제 방에 TV가 일자로 누웠을때 발끝쪽 탁자위에 위치해 있습니다.

평소 TV시청할때 누워서 보는편인데요..

TV가 더 잘 보이게 조금 높은 베개를 사용해서 보고 있는데요.. 목건강에 많이 안 좋을까요?

  • 1번 째 사진
  • 2번 째 사진
  • 3번 째 사진
  • 4번 째 사진
  • 5번 째 사진
  • 6번 째 사진
6개의 답변이 있어요!
  • 안녕하세요. 이동진 물리치료사입니다.

    일자목으로 불편이 있으시군요.

    누워서 TV를 보시는 것은 일자목에 좋지 않으며 장시간 앉아서 컴퓨터를 보시거나 목을 숙이고 핸드폰을 보는 것도 좋지 않은 자세입니다. 베개를 사용하신다면 너무 높은 베개는 경추 곡선을 완만하게 만들어 좋지 않기 때문에 낮은 베개를 사용하시는 것이 좋으며 평소 바른 자세를 유지해주고 턱을 뒤로 당겨 주는 스트레칭을 자주해주시는 것이 도움이 되실 것입니다.

    답변이 도움이 되었으면 좋겠습니다.

    1명 평가
  • 안녕하세요. 김강록 물리치료사입니다.

    1. 2016년과 2025년도 목이 상태가 많이 변했나요?

    제가 보기엔 9년전에도 경추사이 간격이나 일자목이나 비슷한듯 보여서요.

    ->우선 사진상으로 봤을 땐 과거에도 충분히 경추 사이의 간격이 좁고, 목의 커브는 C자의 만곡 보단 일자목과 비슷해보이며 시간이 지나면서 누구나 겪는 퇴행성의 과정으로 보여집니다.

    다만 가장 정확한것은 해당 병원에 다시 내원하셔서 과거 사진을 첨부하여 한번 더 판독 소견을 들어보시길 바랍니다.

    2. 만일 10년동안 비슷하게 유지됐다면 오늘 의사선생님 말씀대로 원래 이런 형태로 살아가는 사람일까요?

    아니면 치료가 필요할까요?

    (가끔 대변보면서 힘줄때 목주위가 땡기는것 말고는 딱히 큰 정상은 아직 없는듯 합니다.)

    -> 개인적인 사견으론 과거에도 충분히 목의 형태를 유지하셨기에 통증을 유발하거나 불편감이 있다면 치료를 받아보시길 권유드립니다.

    3. 일자목을 벗어나려면 평소 필요한 생활습관은 어떤것이 있을까요? (낮은 베개 사용 등)

    -> 평소 틈틈이 스트레칭과 가볍게 마사지를 해주면서 근육과 관절의 컨디션 관리를 해주시고 바른 자세를 유지 할 수 있게 충분한 관리가 필요합니다.

    또한 낮은 베개보단 중간 높이의 베개가 좋지만 이 부분은 개인의 체형 상태에 따라 높이의 기준이 다르기에 베개 전문점에 방문하셔서 직접 체험을 해보시고 베개 전문점 직원분께 도움을 받아보시길 바랍니다.

    4. 제 방에 TV가 일자로 누웠을때 발끝쪽 탁자위에 위치해 있습니다.

    평소 TV시청할때 누워서 보는편인데요..

    TV가 더 잘 보이게 조금 높은 베개를 사용해서 보고 있는데요.. 목건강에 많이 안 좋을까요?

    -> 아무래도 높은 베개의 사용은 목을 굽히게 하기에 좋지않다고 판단이 됩니다.

    너무 걱정마시고 현재 상태에 대한 적절한 검사를 통해 현재 상태를 확인 후 필요에 따른 치료를 꾸준히 받으면서 관리해보시길 추천드립니다.

    건강한 삶이 되셨으면 좋겠습니다^^

    1명 평가
  • 안녕하세요. 김현태 물리치료사입니다.

    1. 눈에띄게 큰 변화는 아니지만 어느정도 변화는 있습니다.

    2. 생활습관이나 자세습관을 개선하고 적절한 운동을 병행하신다면, 도움이 될 수 있습니다.

    3. 말씀해주신 것 뿐만 아니라 평소 목에 부담이가는 동작이나 한가지 자세를 오래 유지하는 습관을 개선하고, 스트레칭이나 운동을 습관화 해주시는 것이 좋습니다.

    4. 높은 베개 사용은 목에 지속적으로 압박이 가해져 불편감을 증가시킬 수 있으므로 변경하시는 것도 좋겠습니다.

    1명 평가
  • 안녕하세요. 송진영 물리치료사입니다.

    9년 전과 비교했을 때 경추 간격과 일자목 형태가 크게 달라진 것 같지 않아 상태가 오래 유지 된 것으로 보입니다. 오랫동안 비슷한 형태라면 큰 통증이나 신경 증상이 없다면 생활에 지장을 주지 않는 범위일 수 있습니다.

    일자목 완화를 위해서는 낮은 베개 사용, 목 스트레칭, 장시간 고개 숙임 피하기 같은 생활습관이 도움이 됩니다. 누워서 티비 볼때 목이 과도하게 젖혀지지 않도록 조절하고 베개 높이를 너무 높이지 않는 것이 목 건강에 안전합니다!

  • 안녕하세요. 김덕현 물리치료사입니다.

    목뼈의 변형도심하고 커브손실도있는걸로봐서는 통증과 불편감이있다면 병원에서검사와치료를받아보는걸 추천합니다

    가까운 정형외과를 방문해보시고 전문의와 상담후에 적절한치료를받아보시길 바랍니다

    보통 목통증의경우 도수치료와 물리치료, 주사치료등으로 치료할수있습니다 감사합니다~!

  • 안녕하세요. 송재민 재활의학과 전문의입니다.

    올려주신 내용 잘 확인 하였습니다.

    걱정이 많이 되시겠습니다. 먼저, 이곳은 공식적으로 진료를 보는 곳은 아니기 때문에 답변은 제한될 수 있습니다.

    진료보신 선생님이 말씀하신 것 처럼 엑스레이 사진은 많이 안좋습니다. 단순 엑스레이만으로는 알 수 있는 부분들이 적기 때문에 통증이 지속된다면 MRI 촬영 등 추가 검사 필요하겠으며, 말씀하신 것 처럼 낮은 베개 사용하는게 좋습니다.