엑스레이 사진상 어깨탈구 소견이 있나요?
며칠전 운동하다가 어깨에서 뚝 소리가 나고 그 이후에 큰 통증은 없는데 어깨 움직일때 뚝 하는 소리가 계속 나서
정형외과에 갔습니다.
어깨 엑스레이를 찍었는데 의사선생님은 문제가 없다고 하셨고,
목쪽에 문제가 좀 있어서 도수치료를 받았습니다.
도수치료를 받는중 도수치료사님이 어깨를 움직일때 뚝 소리가 난다고 하니,
어깨 탈골도 생각해봐야 한다고 말씀하셨습니다.
잊고 있다가.. 갑자기 조금 걱정되어 질문 올립니다.
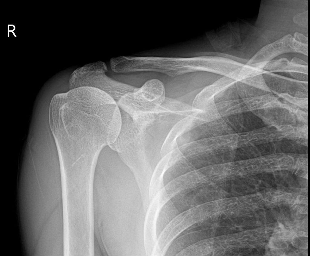
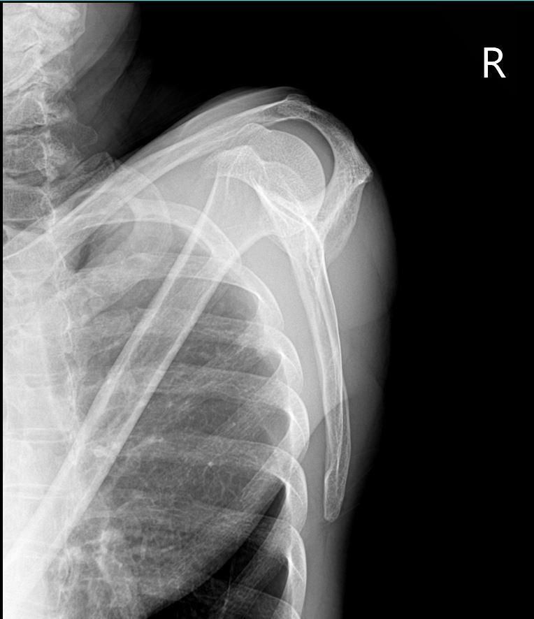
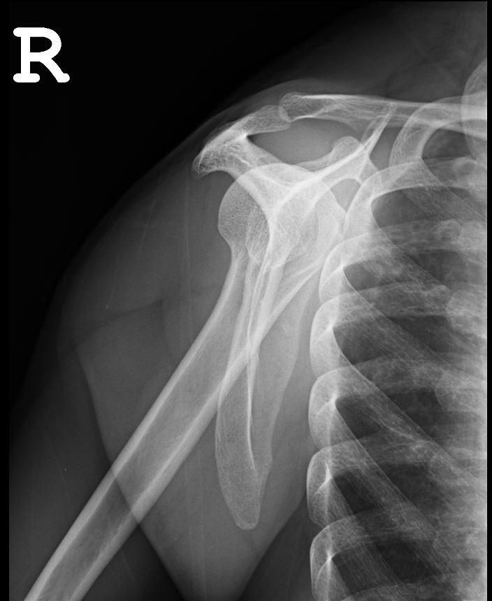
하기 사진은 그날 찍은 어깨 엑스레이입니다.
혹시 엑스레이상 어깨 탈골 소견이 있는지 궁금합니다.
안녕하세요. 김덕현 물리치료사입니다.
사진상으로많은걸확인할수는없지만 엑스레이상에 큰 문제는보이지않는데요 소리가나는건 인대나 힘줄의마찰로인해서 생기는 소리일수있으니 좀더 정확한 진단을위해 MRI검사를 받아보시길 바랍니다
빨리 몸이 호전되시기를 바라겠습니다 감사합니다~!
업로드 하신 어깨 엑스레이 사진에는 딱히 보이는 이상소견이 따로 있지 않습니다. 어깨 부위 탈구 소견이 관찰되지 않으며 정상 어깨 엑스레이 사진으로 보입니다. 어깨의 탈구가 있으면 심한 통증과 함께 움직임에 제한이 생기므로 단순히 소리가 나는 소견만으로는 탈구에 대해서 크게 걱정을 할 필요는 없습니다.
안녕하세요. 김강록 물리치료사입니다.
우선 엑스레이 판독 결과 전문의에 소견은 탈구가 없다하셨고 사진상으론 제한이 있지만 탈구로 의심이 가진않습니다.
다만 불안감이 있다면 다른 병원에 가셔서 재검사를 다시 해보시길 권유드립니다.
어깨를 움직일때 나는 소리는 관절 내에서 기포가 터지면서 소리가 나거나, 힘줄 또는 인대가 관절낭 위를 지나가면서 마찰이 생겨 소리가 날 수 있습니다.
정확한 감별 진단 후 적절한 치료를 받아보시길 바랍니다^^
안녕하세요. 송진영 물리치료사입니다.
올려주신 어깨 엑스레이를 보면 뼈구조가 정상적으로 위치하고 있으며 명백한 탈구나 골절 소견은 보이지 않습니다. 어깨 관절은 비교적 안정적인 상태로 보입니다. 다만 어깨에서 뚝소리가 나는 것은 관절이나 힘줄, 인대가 움직이면서 나는 소리일 수 있으며 반드시 탈골을 의미하지는 않습니다! 통증이 없고 움직임도 정상적이라면 큰 문제 가능성은 낮습니다!안녕하세요. 김현태 물리치료사입니다.
엑스레이촬영 및 진료시에 특별한 소견이 없었다면 탈골 가능성은 적을 수 있습니다.
어깨에서 발생하는 소리는 탈골 이외에 주변 근육이나 힘줄의 긴장이나 관절의 마찰로 인해서도 나타날 수 있으며,
특별히 어깨 탈구시 나타나는 증상인 힘빠짐이나 통증 및 움직임 제한이 없다면 가능성은 낮을 수 있습니다.

