아하
  • 토픽

  • 스파링

  • 잉크

  • 미션


의료상담

내일도두근대는연어회

내일도두근대는연어회

견봉쇄골관절 치료 가능한가요? 뜯긴 모양이 되어버렸어요

성별

남성

나이대

30대

기저질환

없음

복용중인 약

없음

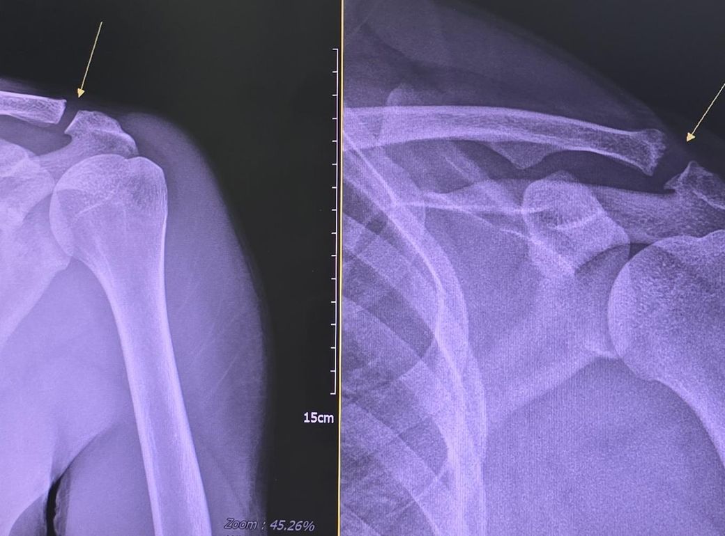
왼쪽 사진이 18년도에 찍은 사진입니다

정상일 때 사진이고요.

다행히도 자료가 있었네요.

오른쪽 사진이 최근 사진입니다

통증이 있어서 병원을 가서 촬영을 했는데

모양이 달라졌습니다.

수술하지 않고 예전 사진처럼 회복이 가능한가요?

아니면 지금이라도 빨리 수술하는게 좋은 선택일까요?

운동할 때 통증을 느낍니다

가벼운 무게로 하면 괜찮아요.

일상 생활에 큰 불편함은 없습니다.

  • 1번 째 사진

4개의 답변이 있어요!

  • 송진희 물리치료사

    송진희 물리치료사

    보건복지부

    안녕하세요. 송진희 물리치료사입니다.

    사진상 "쇄골 말단(견봉쇄골 관절) 변형/부분 분리"가 진행된 모습으로 보이며, 예전처럼 "뼈 모양이 완전히 돌아오긴 어렵습니다."

    다만 통증이 경미하고 일상생활이 가능하면 "수술 없이 재활.근력운동으로 충분히 관리"하는 경우가 많습니다.

    수술은 "통증 지속, 힘 저하, 무게 운동 불가, 미용.기능 문제"가 뚜렷할 때 고려합니다.

    지금 단계에선 "무리한 상체 운동 중단 + 어깨 안정화 재활" 후 경과를 보는 게 합리적입니다.

    답변이 도움 되시기를 바랍니다. 감사합니다 수고하세요~~

  • 안녕하세요. 이동진 물리치료사입니다.

    견봉쇄골관절 손상으로 불편이 있으시군요.

    주변 인대나 근육 파열, 탈구 등 손상 정도에 따라 비수술적 치료와 수술적 치료 등 치료방법은 달라 질 수가 있을 것입니다.

    어깨에 부하를 주거나 통증을 유발하는 동작이나 움직임은 하시지 마시고 쉬어 주시는 것이 좋으며 정형외과에서 필요에 따라 CT나 MRI 등 정확한 진단과 치료를 받으시는 것을 권해드립니다.

    빠른 쾌유하시길 바라며 답변이 도움이 되었으면 좋겠습니다.

  • 안녕하세요. 김현태 물리치료사입니다.

    구조적인 이상이 발생한 경우라면 수술적인 조치가 필요한 경우도 있는데요, 무조건적으로 수술을 피할 수 있는 상황이라고 보기는 이릅니다.

    통증이 지속되거나 점차 심해져 일상생활에서도 지장이 발생한다면 수술이 필요할 수 있으므로, 우선은 병원에 방문하셔서 진료를 받아보시는 것을 추천드립니다.

  • 안녕하세요. 김강록 물리치료사입니다.

    우선 지금으로썬 전문의에 소견이 필요합니다.

    지금과 같이 골절면이 날카롭다면 주변 조직(근육, 인대, 힘줄, 신경 등)의 손상이 나타날 수 있기에 전문의에 소견에 따라 수술을 고려해보시길 바랍니다.

    당분간은 무리하게 움직이거나 자극을 주는건 피하시고 혹시나 통증이 지속된다면 빠른 시일내에 병원에 가보시길 바랍니다^^