아핫뉴스실시간 인기검색어
아핫뉴스 화산 이미지
화산 아이콘 11
광주지검 비트코인 분실
아하

의료상담

정형외과

HR백종원
HR백종원

발목에 뼛조각이 2개가 떨어져 나왔는데, 그냥 걸을때는 큰 통증이 없는데 이거 꼭 수술을 해야 되는것인지 궁금합니다!!!

성별
남성
나이대
38

안녕하세요~

발목에 뼛조각이 2개가 떨어져 나왔는데, 그냥 걸을때는 큰 통증이 없는데 이거 꼭 수술을 해야 되는것인지 궁금합니다!!!

운동을 하거나 오래 걸으면 발목이 좀 붓거나 살짝 통증이 있을때도 간혹 있지만 엄청 아픈건 아니에요

7개의 답변이 있어요!
  • 안녕하세요. 김덕현 물리치료사입니다.

    발목에 뼛조각이 2개떨어져나온상태라도 통증이나 불편감이없다면 수술이 필요하지않을수있습니다 일단 수술보다는 비수술적치료를통해서 치료를받아보시고 경과를 지켜보는것이 좋습니다~ 운동이나 오래걷고난 후에 발이 붓는다면 병원에서 검사와 치료를받는것이 좋은데요 좀더 자세한건 전문의와 상담을받아보시길 바랍니다

    빨리 몸이 호전되시기를 바라겠습니다 감사합니다~!

  • 안녕하세요. 남희성 의사입니다.

    떨어져나왔다는게 이번에 골절이 생기셨다는 이야기이신가요 아니면 X-ray를 찍어봤더니 뼛조각이 발견된 상황이신가요?

    뼈조각의 위치에 따라서 이야기가 달라지며 증상에 따라서도 결정이 달라질 수 있겠습니다.

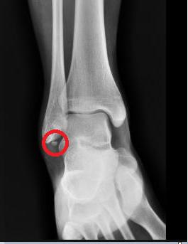
    아래 X-ray는 비골 아래에 위치한 뼈조각이며 Os subfibulare라고 부르는데 증상을 유발하지 않는다면 전혀 제거할 필요가 없는 부위입니다. X-ray를 찍다가 우연히 발견되는 경우가 많습니다.

    수술 여부는 나의 불편감이 얼마나 심하냐가 중요하겠습니다. 불편감이 가볍다면 굳이 수술하실 필요 없습니다.

  • 안녕하세요. 이동진 물리치료사입니다.

    발목 뼈조각으로 불편이 있으시군요.

    뼈조각의 크기나 위치 등 상황에 따라 수술 여부가 달라질 수도 있을 것입니다.

    발목에 부하를 주거나 통증을 유발하는 동작이나 움직임은 하시지 마시고 쉬어 주시는 것이 좋으며

    정형외과에서 정확한 진단을 받아보시는 것을 권해드립니다.

    답변이 도움이 되었으면 좋겠습니다.

  • 안녕하세요. 송진영 물리치료사입니다.

    통증이 심하지 않고 일상생활에 지장이 없다면 꼭 수술하지 않아도 되는 경우도 만항요 다만 뼛조각이 관절을 자극해 염증이나 연골손상을 유발할 수 있으니 정혀외과에서 mri 등 정밀검사 후 판단이 필요합니다!

  • 안녕하세요. 김현태 물리치료사입니다.

    뼛조각이 있어도 일상생활에 큰 지장을 주거나 감염이나 염증등을 일으키지 않는 경우에는 별도로 제거를 하지 않는 경우가 있습니다.

    그러나 뼛조각이 주변 조직에 손상을 가하거나 감염을 일으키는 등 문제를 지속적으로 발생시키는 경우에는 수술을 통해 제거하기도 합니다.

  • 안녕하세요. 김의균 물리치료사입니다.

    발목에 뼛조각이 2개가 떨어져 나왔고 그냥 걸을때는 크게 통증이 없다니 다행입니다.

    뼛조각이 떨어진 경우 크고 날카롭거나 주변 조직의 손상을 유발 할 수 있거나 관절 안에 떠다니면서 연골이나 인대의 손상을 줄 수 있거나 발목의 움직임 제한 및 통증 및 부종 기능의 저하를 발생시킬 경우 수술을 고려해볼 수 있으며,

    뼛조각이 작고 움직이지 않고 일상생활에 지장이 없다면 보존적 치료로도 치료가 가능합니다.

    빠른 쾌유를 기원합니다.

    감사합니다 수고하세요~

  • 안녕하세요. 김수비 의사입니다.

    발목에 뼛조각(골절편)이 두 개 떨어져 나왔다고 하셨는데, 무조건적ㅇ로 반드시 수술이 필요한 건 아닙니다. 뼛조각이 어디에서 어떻게 떨어져 나왔는지, 주변 연부조직(인대, 힘줄, 연골 등)에 손상이 있는지, 그리고 뼛조각이 관절 내부에 위치해 관절 움직임에 영향을 주는지에 따라 치료 방향이 달라집니다. 단순히 고정된 위치에 있고, 움직이지 않으며 통증도 없다면 보존적 치료(휴식, 물리치료, 약물 등)로 관리할 수도 있어요

    하지만 운동하거나 오래 걸을 때 붓거나 통증이 있다면, 뼛조각이 관절에 자극을 주고 있을 가능성이 있습니다. 이런 경우 시간이 지날수록 연골이 닳거나 관절염으로 이어질 수 있어서, 정형외과 전문의의 진료를 받고 정밀검사(MRI나 CT)를 통해 정확한 상태를 파악하는 것이 중요합니다. 뼛조각이 크거나 위치가 애매할 경우 관절내시경을 통한 제거 수술이 필요할 수도 있어요.

    결론적으로, 반드시 수술이 필요한 건 아니지만 지속적인 통증이나 붓기가 있다면 방치하지 말고 정형외과에서 상담 받아보시는 게 좋습니다.